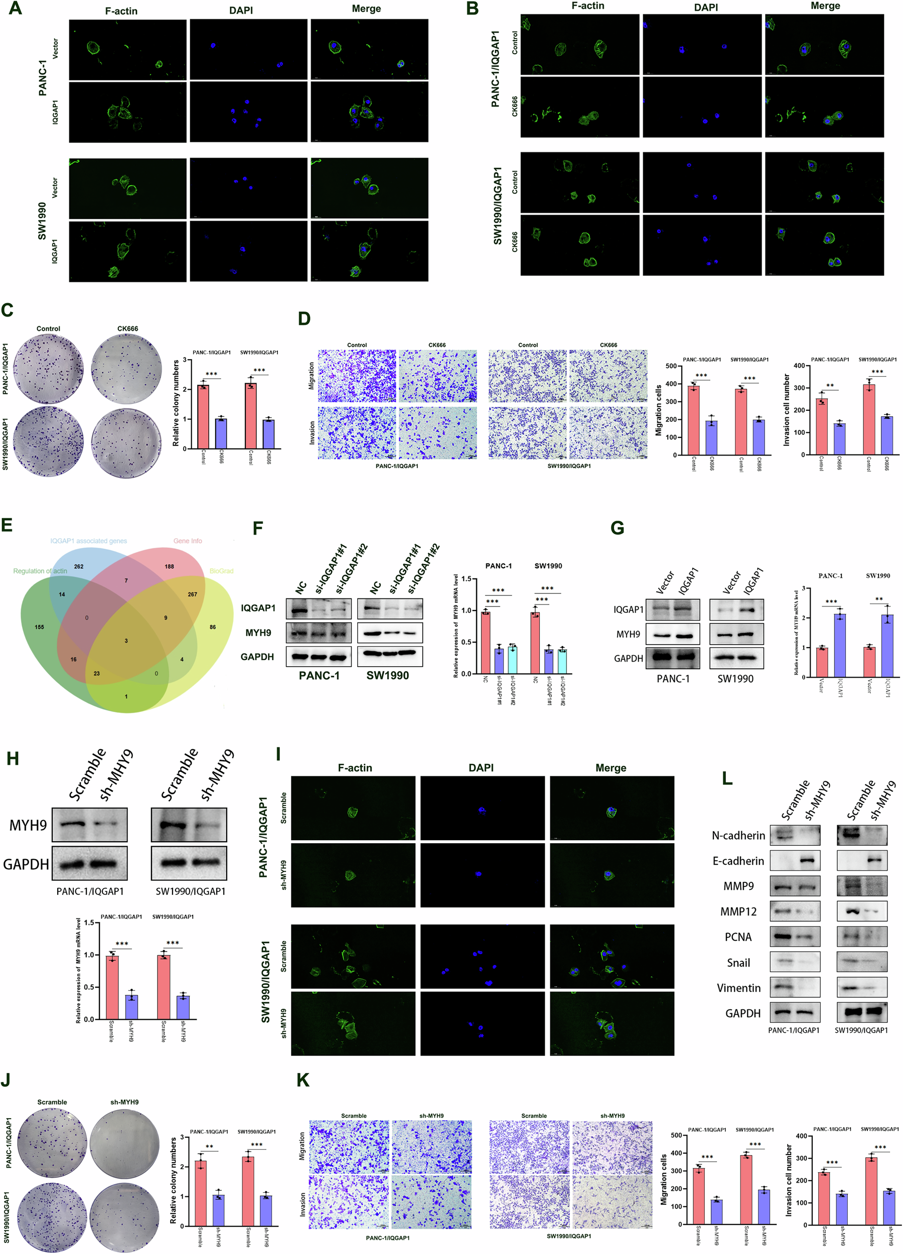
Fig. 8: IQGAP1 regulates the cytoskeleton by regulating MYH9 expression and contributes to the malignant phenotype of PC.

A, B Visualization of F-actin using Rhodamine phalloidin staining in PC cells. C Colony formation assay to assess cell proliferation. D Transwell assay to evaluate cell migration and invasion. E Venn diagram illustrating the overlap between genes regulating the cytoskeleton, IQGAP1-related genes identified through mRNA sequencing, and IQGAP1-related genes from the Biograd and GeneInfo databases. F, G Western blot and PCR analysis demonstrating MYH9 protein levels with or without IQGAP1 overexpression. H Western blot and PCR analysis showing MYH9 protein levels with or without MYH9 knockdown. I F-actin staining using Rhodamine phalloidin in cells with or without MYH9 knockdown. J Colony formation assay following MYH9 knockdown. K Transwell assay to assess migration and invasion after MYH9 knockdown. L Western blot analysis of key proteins associated with PC malignancy in transfected PC cells. All data are expressed as the mean ± SD (three independent experiments). *p < 0.05; **p < 0.01; ***p < 0.001.