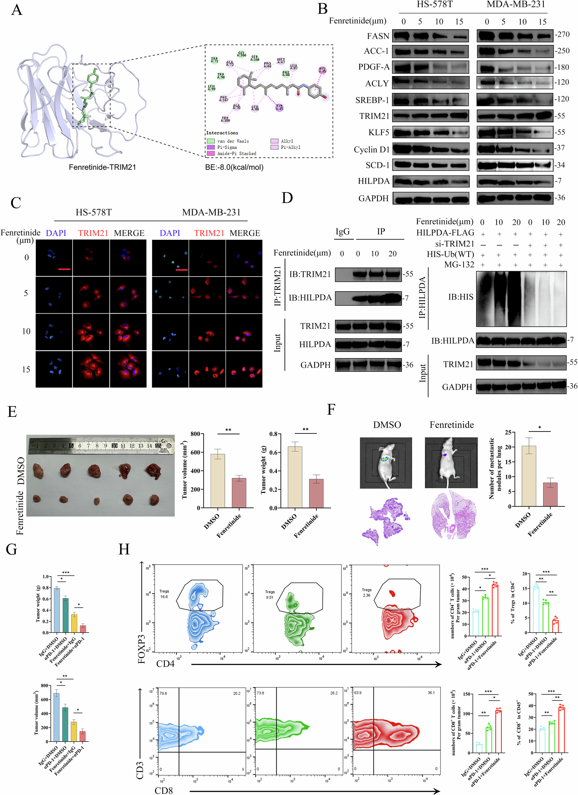
Fig. 7: Fenretinide suppresses tumor progression and immunotherapy resistance in triple-negative breast cancer by activating TRIM21 and inhibiting HILPDA.

A Molecular docking analysis showing the favorable binding conformation of fenretinide with TRIM21. B Western blot analysis in HS-578T and MDA-MB-231 cells treated with fenretinide (0, 5, 10, or 15 μM), showing dose-dependent regulation/downregulation of lipid metabolism enzymes (FASN, ACC-1, ACLY, SREBP-1, and SCD-1), KLF5, Cyclin D1, and HILPDA. GAPDH was used as a loading control, and the densitometric values were normalized to those of GAPDH. C Immunofluorescence images showing changes in TRIM21 (red) localization in fenretinide-treated cells; nuclei were counterstained with DAPI (blue). Scale bar, 20 μm. D Left: Coimmunoprecipitation assays showing enhanced interaction between TRIM21 and HILPDA upon fenretinide treatment. Right: Ubiquitination assays (IP: FLAG-HILPDA; IB: His-Ub), demonstrating that fenretinide increased HILPDA polyubiquitination ( ± MG132). Input blots show FLAG-HILPDA, TRIM21, and GAPDH. E Subcutaneous xenograft assays comparing the DMSO and fenretinide groups; representative tumors and quantitative analyses of tumor volume and weight are shown. n = 5; data are presented as the mean ± SD; statistical significance was determined by an unpaired two-tailed Student’s t test. F Experimental lung metastasis model under DMSO or fenretinide treatment; representative lung images, H&E staining, and metastatic burden quantification (including bioluminescence imaging) are shown. n = 5; data are presented as the mean ± SD; significance was determined by an unpaired two-tailed Student’s t test. G Results from the tumor growth inhibition assay demonstrating that, compared with either monotherapy, the combination of fenretinide and anti–PD-1 resulted in significantly lower final tumor volume and tumor weight. Final tumor volume and tumor weight were compared using one-way ANOVA (n = 5 per group). H Flow cytometry analysis of tumor-infiltrating immune cells in different treatment groups (DMSO, fenretinide, and fenretinide + anti-PD-1). Fenretinide treatment reduced the number of FOXP3⁺ Tregs (top) and increased the number of CD8⁺ T cells (bottom). n = 5; data are presented as the mean ± SD; statistical analysis was performed using the Kruskal–Wallis test followed by Dunn’s post hoc test. *p < 0.05, **p < 0.01, ***p < 0.001; ns, not significant.