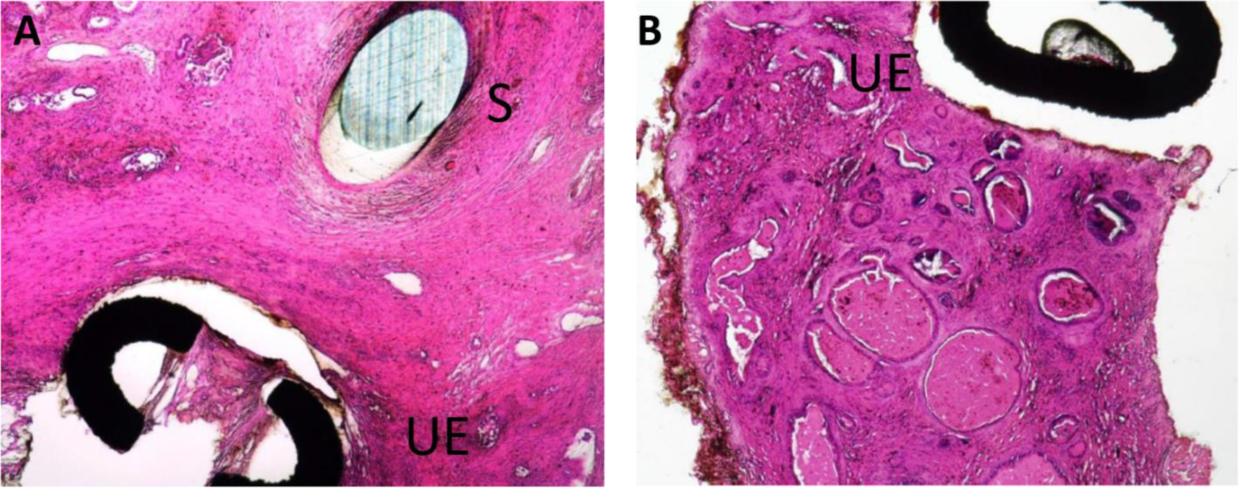
Fig. 5: Atrophic response following UroLift implant placement.
From: The UroLift implant: mechanism behind rapid and durable relief from prostatic obstruction

A Mild fibrosis or encapsulation at the tissue interface of the Urethral End-Piece (UE) and Suture (S) component of UroLift implant removed from a patient who underwent transurethral resection at 43 months post-implantation of the device. B No abnormalities at the tissue interface of the Urethral End-Piece and mild multifocal glandular dilation in the surrounding parenchyma.