By Hassan Abed and Yazan Hassona

©Darwin Brandis/iStock/Getty Images Plus
Abstract
Heroin addiction is associated with poor oral health. Oral and dental care in heroin addiction might be complicated by altered mental status, negative attitude towards oral health, dental anxiety and fear, drug interaction, and associated medical co-morbidity. We present the oral findings and discuss the dental, behavioural, and anaesthetic management considerations in a 46-year-old man who had dental anxiety and had been an intravenous heroin user for the past 23 years.
Introduction
The global burden of diseases related to drug abuse is estimated to be 5.6% worldwide, and is believed to be responsible, both directly and indirectly, for the death of nearly half a million individuals in 2015.1 Recent estimates indicate that 21.5 million American adults suffer from substance abuse, and nearly one in 12 adults in England and Wales use illicit drugs.2,3 Opioids, including heroin, are among the most commonly used recreational drugs, with an estimated 34 million users worldwide.1
Heroin is an opioid most frequently used for its euphoric effects. It is also known as dimorphine, and in the street it is called 'big H', 'smack', 'junk', 'horse', 'dope', and 'brown' among other names.4 It can be sniffed, smoked or injected, and acts through activation of the brain's opiate receptors to stimulate the pleasure feelings by releasing a high level of dopamine.5 Heroin causes a high degree of physical and psychological dependence, and chronic use of heroin results in a wide variety of debilitating effects on individual, economic, and social levels.5 Heroin addiction is associated with adverse effects on various body systems including the cardiovascular, respiratory, central nervous, gastrointestinal and genitourinary systems.6 In addition, nearly 40% and 17% of intravenous (IV) heroin abusers have been exposed to some form of hepatitis and human immunodeficiency virus respectively.7 Heroin abusers usually suffer from personal neglect, psychosis, malnutrition, and uncontrolled overdose, which can result in respiratory arrest and death.8
Heroin withdrawal is combined with several unpleasant effects such as nausea, vomiting, abdominal pain, tremor, body shaking, myalgia, and tachycardia. Treatment of heroin addiction is often challenging and requires a multidisciplinary approach that involves behavioural, social, and pharmacological interventions.8 Methadone, which acts as a full μ receptor agonist, is widely used as a treatment for heroin addiction.9 Maintenance therapy with oral methadone appears to be an effective and accepted intervention for heroin dependence not only because it reduces heroin use, injecting practices and crimes, but also because it improves social functioning, physical symptoms and quality of life among users.10 Methadone, however, can potentially be subjected to abuse, and there is a potential for methadone overdose as it acts as a full agonist. Furthermore, drug interactions are often a cause of mortality and morbidity, and patients on methadone commonly have medical and psychological co-morbidity or may abuse other illicit substances leading to adverse reactions.11
The effect of heroin addiction and its treatment on oral health is not well studied, but previous studies have demonstrated a higher prevalence of caries and periodontal diseases among heroin users due to poor diet, hyposalivation, personal neglect, inadequate oral hygiene practice, and altered microbiome.12,13,14,15,16 Furthermore, the provision of proper oral health care for heroin users might be complicated by the negative attitude towards dental care, the altered mental status, anxiety and fear, drug interaction and associated medical co-morbidities.
In this report, we present the oral findings and discuss the dental, behavioural, and anaesthetic management considerations in a 46-year-old man who had been an IV heroin user for the past 23 years. In addition, we discuss limitations and difficulties in the provision of oral and dental health care for drug abusers.
Case report
A 46-year-old unemployed man presented to restore dental aesthetics and function. His medical history was significant for epilepsy, chronic anxiety, malnutrition and heroin addiction. His medications included carbamazepine (200 mg/day), diazepam (25 mg/day), thiamin (100 mg/day), vitamin supplements, and methadone (105 mg/day). He had extreme dental anxiety and negative attitude towards dental care and oral hygiene; he scored 21 out of 25 on the Modified Dental Anxiety Scale (MDAS). He smoked electronic cigarettes and didn't drink alcohol.
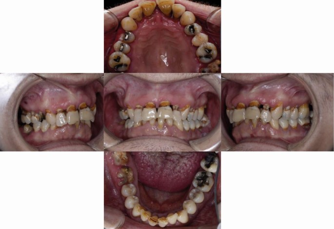
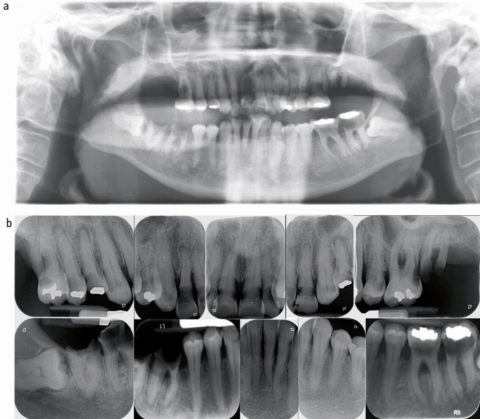
Extraoral examination revealed cutaneous pallor, multiple tattoos, finger clubbing, and weight loss (BMI = 16.1). Intraoral examination revealed mucosal pallor, moderate mouth dryness according to the Challacombe scale,17 chronic plaque-induced gingivitis, extensive cervical caries involving most teeth, and badly broken unrestorable lower right first and second molars, upper second molar, and upper first premolar (Fig. 1). Radiographic examination, including orthopantomogram (OPG) and full mouth periapical radiographs, revealed extensive cervical caries, impacted lower third molars on both sides, generalised horizontal alveolar bone loss consistent with chronic periodontitis, and furcational involvement of upper and lower molars (Fig. 2). The upper left and right lateral incisors were judged to be non-vital and unrestorable.
A treatment plan was discussed with the patient and the complexity of treatment and the need for multiple dental visits were explained. The disease control phase of our treatment plan involved dietary advice, oral hygiene instructions, a smoking cessation programme, prescription of Colgate Duraphat toothpaste 5,000 PPM, extraction of unrestorable teeth, scaling and root surface debridement, and restoration of decayed teeth. The patient was also advised to drink plenty of water and use sugar-free chewing gum to improve oral hydration. The rehabilitation phase involved replacement of missing teeth with a modified acrylic partial denture, and the patient was planned for a six-monthly dental maintenance programme (Fig. 3).
Given the complexity of planned treatment and the extreme dental anxiety of our patient, a decision to provide dental care under conscious sedation was made. Pre-operative evaluation involved assessment of the patient's cardiac and respiratory status, and his overall fitness to sedation was evaluated according to the American Society of Anaesthesiologists (ASA) scale. The patient's complete blood count (CBC), prothrombin time (PT) and partial thromboplastin time (PTT) were within normal. In the first dental treatment session, intravenous sedation with midazolam was titrated up to 5 mg and the patient was adequately sedated. However, a paradoxical reaction characterised by irritability was evident ten minutes after the onset of sedation necessitating treatment cessation. In the second treatment session, a decision to use inhalation sedation (nitrous oxide and oxygen) was made because of the paradoxical effect and the difficult cannulation, due to poor vein access, encountered in the first dental treatment session. The patient was adequately sedated and accepted treatment with local anaesthesia. A total of nine dental treatment sessions with inhalation sedation were needed to extract unrestorable teeth, provide periodontal treatment, and restore decayed teeth. It is worth mentioning that, although dental care was provided under sedation, behavioural management techniques, explanation, empathy, and reassurance were adopted throughout treatment to improve the patient's compliance, minimise dental anxiety, and ensure the patient's adherence with the follow-up schedule.
During follow-up visits, the patient showed better cooperation with the dental team and accepted scaling, root surface debridement, and fluoride varnish application without the need of any adjunctive sedation. Given the risk of fracture and aspiration of the small acrylic denture fabricated during the early phase of treatment, we decided to add some of the gutta percha cones to the acrylic teeth and to the base of denture with some metal wire (Fig. 4). A cobalt-chromium denture will be constructed in the future to provide a safe and more resistant oral prosthesis in case of an epileptic fit. Patient consent was obtained before all procedures and photographs.
A modified upper partial denture with some gutta percha cones added to the acrylic teethto the base of denture to facilitate identification of denture's parts in case of aspiration during an epileptic fit. Upper lateral incisors were veneered with gold crowns of the extracted teeth per patient's request
Discussion
Poor oral health in heroin users can be attributed to several reasons (Box 1). Personal neglect associated with the emotional and physical dependence to heroin leads to negative attitudes towards dental care, poor oral hygiene habits, and low overall awareness about oral health.18 In addition, heroin addiction and methadone treatment are associated with reduced salivary flow; this, in combination with the poor diet and high sugar intake frequently observed in heroin addicts, creates a favourable environment for the formation of plaque and development of caries and periodontal diseases.19,20 Furthermore, it has been demonstrated that heroin addiction and methadone treatment cause impairment in immune function due to reduced levels of immunoglobulin G (IgG), IgM, and IgA, which may predispose to dental caries and periodontitis.21
In addition to caries and periodontal disease, heroin addicts may suffer from various other oral diseases (Box 2). Our patient demonstrated the typical oral adverse effects of heroin and methadone use, including caries particularly prevalent on smooth and cervical surfaces, chronic periodontitis, and hyposalivation. Many heroin and other drug users may not be willing to disclose their drug addiction; oral healthcare professionals, therefore, should be aware of the more common features suggestive of drug abuse such as personal neglect, poor general hygiene, malnutrition, constricted pupils, ambiguous behaviours and different types of cutaneous tattoos.22
Heroin addicts often present with advanced dental disease because of personal neglect, dental anxiety, and masking of dental pain due to the analgesic and mental detachment effects of heroin. The dental management of heroin and methadone users is often challenging, not only because of the high prevalence and late presentation of dental diseases, but also because of various medical, social, lifestyle, and psychological issues that influence oral health care in this group of patients.
Heroin users often suffer from psychological problems that are frequently associated with general anxiety and heightened dental fear.18 Interestingly, patients using methadone were reported to exhibit a phobia of needles, especially in the hands of others, which may further accentuate dental anxiety and explain the negative attitude towards dental treatment.23 Management of dental anxiety can be extremely challenging in heroin users because of altered mood, mental detachment, reduced responsiveness to local anaesthesia, and the tendency of drug addicts to present a fictitious history of pain and pretend inadequate analgesia to obtain a specific class of sedatives and analgesics. In such circumstances, special care dentists need to be mindful and pay extra effort to explore the fear of their patients, provide reassurance, establish trust and rapport, and apply behavioural management techniques. Although this might prove unsuccessful, it will definitely provide some benefits of improving the patient's attitude and acceptance of dental treatment in the long run, as was evident in this report (Table 1).
Pain and anxiety control using sedation techniques might, therefore, be necessary to allow proper dental treatment in some circumstances. This, however, might be complicated by the use of heroin and methadone. Intravenous sedation in IV drug abusers might be difficult because of difficulty in finding a proper vein for IV access. Furthermore, adequate sedation might not be achievable at normal therapeutic doses due to tolerance and disinhibition induced by opioid abuse,2 however, it is not absolutely contraindicated. Potentially serious drug interactions, including hypotension and respiratory depression and arrest, might happen between IV sedative drugs and opiate agonists and other central nervous system depressant drugs commonly used by drug addicts.24 Therefore, if intravenous sedation is required, it should be delivered in a secondary care centre with experts in conscious sedation techniques.
Importantly, our patient developed a paradoxical reaction with midazolam sedation; this is a relatively common event during sedation of patients who are addicted to drugs. In such an event, patients become more anxious and treatment may be difficult. Administration of more midazolam will increase the patient's irritability and the use of a reversal agent (that is, flumazenil) might be unpredictable. Once the patient develops a paradoxical effect, dental treatment should be discontinued, and alternative anxiety management strategies should be tried.25 The use of general anaesthesia for dental procedures in heroin/methadone users may not be desirable on the basis that it is potentially capable of inducing relapse in a recovering drug abuser.26 Furthermore, toxicology screening might be necessary before general anaesthesia to examine drug levels, particularly if there is any doubt regarding the patient's pre-operative sobriety. The use of inhalation sedation (nitrous oxide and oxygen) might, therefore, be a safer and more practical alternative for management of dental anxiety in heroin users. Inhalation sedation has limited drug interactions with opiate agonists and CNS depressants and doesn't routinely require placement of an IV cannula. Our patient showed good response to inhalation sedation and dental treatment was adequately and safely performed.
Heroin abuse might cause thrombocytopenia and serious post-operative bleeding might occur, particularly if liver function was impaired due to previous or concomitant alcohol use or infection with hepatitis viruses.27 Bleeding profile assessment, including platelet count, prothrombin time (PT), partial thromboplastin time (PTT), and international normalized ratio (INR), might be necessary before dentoalveolar surgery; particularly when the history suggests a bleeding tendency or when clinical signs of bleeding tendency are evident. Our pre-operative assessment showed that our patient had normal platelet count and his clotting function was adequate, as demonstrated by the normal INR level.
Intravenous drug abuse remains the most common method of transmission of blood-borne infections in industrialised countries. Nearly 40% and 17% of IV heroin abusers have been exposed to some form of hepatitis and human immunodeficiency virus respectively.7 Heroin abusers may attend the dental clinic asymptomatic, unaware, or unwilling to disclose their disease. Therefore, direct questioning about blood-borne infection and liaison with the patient's medical practitioner are required to reveal the presence of infectious disease. Standard cross-infection precautions should be followed when treating heroin addicts, such as the disposal of infected materials and disinfection of laboratory work, but without making patients feel stigmatised because of their potential cross-infection risk.
Intravenous drug abusers might be at increased risk of infective endocarditis due to physical damage of heart valves produced by bulking agents in the injected material.28,29 Consultation with the patient's physician is necessary to determine the presence of valvular damage, and if antibiotic prophylaxis is recommended, dentists are encouraged to follow their local guidelines and recommendations of antibiotic prophylaxis for prevention of infective endocarditis.30
Conclusion
Heroine abuse and methadone therapy can negatively affect oral and dental health. Oral and dental management of heroin users is often challenging because of associated medical, social, and psychological comorbidities (Table 2). Behavioural management, reassurance, explanation, and empathy are key elements for the successful management of dental anxiety in heroin users. Special care dentists have an important role in the overall management of heroin addicts by encouraging a healthy lifestyle and improving the patient's attitude towards health care services.
References
United Nations Office on Drugs and Crime. World Drug Report. 2018. Available at https://www.unodc.org/wdr2018/prelaunch/WDR18_Booklet_1_EXSUM.pdf (accessed March 2019).
NHS. Statistics on drug misuse: England. 2018. Available at https://digital.nhs.uk/data-and-information/publications/statistical/statistics-on-drug-misuse/2018 (accessed March 2019).
National Institute on Drug Abuse. Trends and Statistics. 2017. Available at https://www.drugabuse.gov/related-topics/trends-statistics (accessed March 2019).
The Canyon Treatment Center. Nick names and street names for heroin. Available at https://thecanyonmalibu.com/heroin-rehab/street-names/ (accessed March 2019).
Drugs and Lactation Database. Heroin. 2018. Available at https://www.ncbi.nlm.nih.gov/books/NBK500783/ (accessed March 2019).
BMA Board of Science. Drugs of dependence: the role of medical professionals. 2013. Available at https://www.bma.org.uk/collective-voice/policy-and-research/public-and-population-health/illicit-drug-use/full-report (acc essed March 2019).
Centers for Disease Control and Prevention. People who Inject Drugs and Viral Hepatitis. 2019. Available at https://www.cdc.gov/hepatitis/populations/idu.htm (accessed March 2019).
Akerele E, Olupona T. Drugs of Abuse. Psychiatr Clin North Am 2017; 40: 501-517.
Ali S, Tahir B, Jabeen S, Malik M. Methadone Treatment of Opiate Addiction: A Systematic Review of Comparative Studies. Innov Clin Neurosci 2017; 14: 8-19.
Teoh Bing Fei J, Yee A, Habil M H, Danaee M. Effectiveness of Methadone Maintenance Therapy and Improvement in Quality of Life Following a Decade of Implementation. J Subst Abuse Treat 2016; 69: 50-56.
George P, Vicknasingam B, Thurairajasingam S et al. Methadone complications among opioid-dependent patients in Malaysia: A case series. Drug Alcohol Rev 2018; 37: 147-151.
Aukštakalnis R, JurgeleviČius T. The oral health status and behaviour of methadone users in Lithuania. Stomatologija 2018; 20: 27-31.
Ma H, Shi X C, Hu D Y, Li X. The poor oral health status of former heroin users treated with methadone in a Chinese city. Med Sci Monit 2012; 18: PH51-PH55.
Shen E C, Fu E. Carious lesions in the heroin addicted patient. A case report. J Periodontol 1998; 69: 938-940.
Raymond G, Maloney W. Methadone Maintenance Therapy and the Dental Patient. N Y State Dent J 2015; 81: 48-51.
Brondani M, Park P E. Methadone and oral health - a brief review. J Dent Hyg 2011; 85: 92-98.
Anonymous. Dry mouth scale launched. Br Dent J 2011; 211: 351.
Titsas A, Ferguson M M. Impact of opioid use on dentistry. Aust Dent J 2002; 47: 94-98.
Zador D, Lyons Wall P M, Webster I. High sugar intake in a group of women on methadone maintenance in south western Sydney, Australia. Addiction 1996; 91: 1053-1061.
Di Cugno F, Perec C J, Tocci A A. Salivary secretion and dental caries experience in drug addicts. Arch Oral Biol 1981; 26: 363-367.
Alonzo N C, Bayer B M. Opioids, immunology, and host defences of intravenous drug abusers. Infect Dis Clin North Am 2002; 16: 553-569.
Braithwaite R, Robillard A, Woodring T, Stephens T, Arriola K J. Tattooing and body piercing among adolescent detainees: relationship to alcohol and other drug use. J Subst Abuse 2001; 13: 5-16.
el-Bassel N, Schilling R F, Turnbull J E, Su K H. Correlates of alcohol use among methadone patients. Alcohol Clin Exp Res 1993; 17: 681-686.
Graham C H, Meechan J G. Dental management of patients taking methadone. Dent Update 2005; 32: 477-478, 481-482, 485.
Craig D, Boyle C. Practical Conscious Sedation. 2nd ed. New Malden: Quintessence Publishing, 2017.
Cook H, Peoples J, Paden M. Management of the oral surgery patient addicted to heroin. J Oral Maxillofac Surg 1989; 47: 281-285.
Heer M, Von Felten A. Immune thrombocytopenia in narcotics addicts. Ann Intern Med 1985; 103: 645.
Wakeman S E, Ghoshhajra B B, Dudzinski D M, Wilens T, Slavin P L. Case records of the Massachusetts General Hospital. Case 35-2014: a 31-year-old woman with fevers, chest pain, and a history of HCV infection and substance-use disorder. N Engl J Med 2014; 371: 1918-1926.
Fleischauer A T, Ruhl L, Rhea S, Barnes E. Hospitalizations for Endocarditisand Associated Health Care Costs Among Persons with Diagnosed Drug Dependence-North Carolina, 2010-2015. MMWR Morb Mortal Wkly Rep 2017; 66: 569-573.
Scully C, Robinson A N, Cameron J A. Clinical guidance: Guidance on guidance. Br Dent J 2015; 219: 194.
Author information
Authors and Affiliations
Rights and permissions
About this article
Cite this article
Abed, H., Hassona, Y. Oral healthcare management in heroin and methadone users. BDJ Team 7, 26–30 (2020). https://doi.org/10.1038/s41407-020-0383-0
Published:
Version of record:
Issue date:
DOI: https://doi.org/10.1038/s41407-020-0383-0



