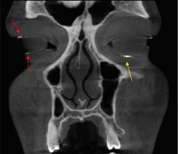
Fig. 1 | British Dental Journal