Sir, incidental findings (IFs) from cone-beam computed tomography (CBCT) are reported frequently. This case brings attention to a unique IF which may have a significant life-impairing, long-term effect.
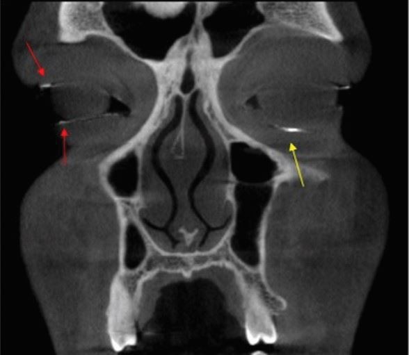
A 22-year-old male patient, Muslim by religion, underwent a CBCT scan for a suspected zygomatico-maxillary complex (ZMC) fracture. While evaluating the scan, the radiologist noted a well-defined linear radiopacity along the lower soft tissue margin of the left orbit and multiple radiopaque flecks along the upper and lower soft tissue margin of the right orbit (Fig. 1). Perplexed by the appearance of the radiopaque flecks, the radiologist examined the patient clinically. A foreign body was found in the lower left palpebral conjunctiva. When the patient was questioned about it, he revealed that he was applying surma to his eyes. He was asked to bring it to the next appointment. On examination, it was found to be a powdered particle (Fig. 2). The particle size was large enough to cause physical irritation to the conjunctiva.
Surma is an ore that is ground to form a powder which is then applied to the eyes. It is of religious significance to the Muslim community where both men and women apply it. It is also applied to children and infants (to ward off 'evil eye'). The problem is that the ore manufacturing is unregulated with the lead content varying from 16-70%.1This alarmingly high concentration of lead can cause toxicity.
As a highly poisonous metal, lead has the propensity to affect almost all body parts, most commonly the nervous system. In children, the effects are more pronounced as their internal and external body structures are softer than adults'.2 In children, even low doses of lead can cause neurological symptoms like delayed cognitive development, behavioural problems, and lowered intelligence quotient. A study conducted in Pakistan found an association between high lead levels in the umbilical cord and the maternal use of surma.1 As per the authors, since most of the surma is not commercially procured, regulating its lead content is not possible. It is therefore advisable to educate the patient about the harmful effects of surma (lead usage) in the long term. In the present case, the radiologist educated the patient about the detrimental effects of lead. However, the patient's religious beliefs were too strong to be shaken.
References
Janjua N Z, Delzell E, Larson R R et al. Maternal nutritional status during pregnancy and surma use determine cord lead levels in Karachi, Pakistan. Environ Res 2008; 108: 69-79.
Wani A L, Ara A, Usmani J A. Lead toxicity: a review. Interdiscip Toxicol 2015; 8: 55-64.
Author information
Authors and Affiliations
Corresponding authors
Rights and permissions
About this article
Cite this article
Sharma, A., Kasat, V. & Upmanyu, A. The effects of surma application. Br Dent J 235, 295 (2023). https://doi.org/10.1038/s41415-023-6283-x
Received:
Accepted:
Published:
Version of record:
Issue date:
DOI: https://doi.org/10.1038/s41415-023-6283-x
This article is cited by
-
Performance of large language artificial intelligence models on solving restorative dentistry and endodontics student assessments
Clinical Oral Investigations (2024)

