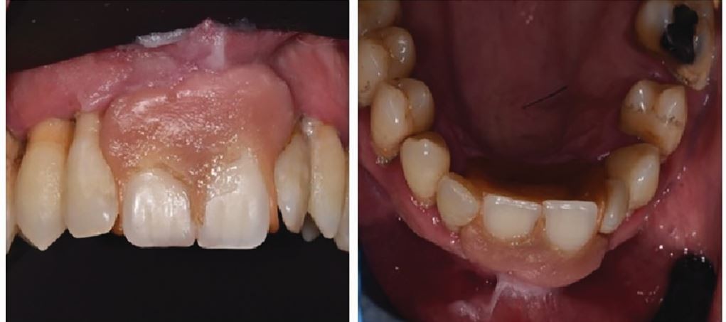
Fig. 2 | British Dental Journal