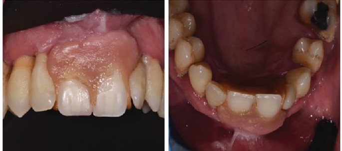
Sir, a 43-year-old man was referred to the University Dental Hospital of Manchester for management of missing 11 and 21 which were lost following trauma. The patient had struggled to find a general dentist and so took it upon himself to procure the requisite components and build his own denture (Fig. 1).
Fear not Finlay Sutton your job is safe. While commendable for its innovation, the homemade partial acrylic denture revealed some failings in support, stability, and retention (Fig. 2) and its design was inherently unhygienic, contributing to inflammation of the soft tissues surrounding the denture-bearing area. Further clinical examination revealed inflamed gingivae and the presence of multiple carious lesions, underscoring the patient's unmet primary dental care needs.
This case exemplifies the importance of access to dental services for basic but essential needs to be met. Many patients are, however, unable to access NHS service or afford private care.1,2 Furthermore, the COVID pandemic and lockdown created a multitude of additional challenges for dental practices across England and the repercussions for access to NHS dentistry have been highlighted in a comprehensive survey conducted by the BBC, supported by the British Dental Association (BDA).
The survey outcomes were unequivocally concerning, revealing that 90% of the NHS dental practices included in the study (6,193 out of 6,880) were not able to accommodate new adult patients.1 Of these practices, 25% maintained an open waiting list, and a notable 17% exhibited a waiting period of one year or longer or were unable to provide accurate information on waiting list times.1
This is just one human story of desperation to seek dental help in the current climate. It does, however, reveal the ingenuity humans are capable of. If only some of this could be channelled into solving the problems of access to dental health care.
References
BBC. 90 percent of NHS dental practices in the UK are not accepting new patients, BBC survey finds. 2022. Available at: https://www.bbc.co.uk/mediacentre/ninety-percent-of-nhs-dental-practices-not-accepting-new-patients (accessed November 2023).
British Dental Association. NHS dentistry at a tipping point, as BBC reveal true extent of access crisis.2022. Available at: https://www.bda.org/media-centre/nhs-dentistry-at-a-tipping-point-as-bbc-reveal-true-extent-of-access-crisis/ (accessed November 2023).
Author information
Authors and Affiliations
Corresponding authors
Rights and permissions
About this article
Cite this article
Tattar, R., Darcey, J. Desperate times call for desperate dentistry. Br Dent J 236, 80 (2024). https://doi.org/10.1038/s41415-024-6769-1
Received:
Accepted:
Published:
Version of record:
Issue date:
DOI: https://doi.org/10.1038/s41415-024-6769-1

