Fig. 3
From: Getting it right at every stage: Top tips for traumatic dental injury review: Part 2

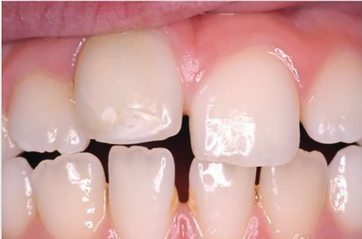
Note the infra-occlusion and change in gingival margin level of tooth 11 which has become ankylosed following trauma in a paediatric patient
From: Getting it right at every stage: Top tips for traumatic dental injury review: Part 2

Note the infra-occlusion and change in gingival margin level of tooth 11 which has become ankylosed following trauma in a paediatric patient