
© Mykyta Dolmatov/iStock/Getty Images Plus
Relevance
This article follows on from Part 1,1 which discussed the importance of traumatic dental injury (TDI) follow-up and potential sequelae. Tips for clear, concise documentation and patient information in relation to TDIs were given. Part 2 builds on Part 1, discussing stabilisation, knowing when to refer, and considerations for future treatment planning.
-
1.
Stabilising delayed presentation TDIs
Immediate TDI management has previously been discussed.2 Follow-up of TDIs allows the opportunity to ensure that injuries have been appropriately stabilised at, or close to, the time of injury and that the tissues affected are not deteriorating. However, patients may present sometime after initial injury, without stabilisation having been achieved. Although it is not clear from current evidence how best to manage such situations, it seems appropriate to continue to apply the International Association of Dental Traumatology (IADT) guidelines as best as possible.3 There are limitations however to accomplishing this when, for example, a tooth has moved in position because of a TDI and no attempt has been made to reposition it.
Delayed presentation of extruded or laterally luxated teeth
Clinical decision making and treatment provided will be impacted by the time lapse since injury. After 48 hours post-injury, repositioning is more challenging because of inflammation and blood clot formation around displaced teeth, and treatment outcomes for delayed repositioning is unclear. Repositioning should still be attempted using careful ‘watch-winding' type movements of the tooth, gripped using fingers or forceps positioned on the tooth crown only. This avoids damage to the periodontal ligament and cementum because damage may result in progressive resorption.
When a tooth has been repositioned, a periapical radiograph helps ascertain the accuracy of repositioning. Healing is better (outcomes enhanced) when teeth are returned to original positions. Articulating paper use is helpful to confirm that there is an intercuspal position contact (for functional teeth), but no excursive contacts, unless the tooth is involved in guidance. IADT guidelines should be consulted for splinting type and duration.3 Typically a flexible splint using composite and wire is recommended and the traumatised tooth plus a tooth either side included in the splint using 0.016” (0.4 mm) stainless steel wire.3 Oral hygiene instruction in relation to the splint and injury is recommended and may include short-term use of antimicrobial mouthwashes and softer toothbrushes whilst acute inflammation and pain subsides. Excellent personal care and regular follow ups improves TDI healing.3
Patients who sustain trauma with a heavily restored dentition including indirect restorations can pose challenges for splinting. If teeth involved in the splint have ceramic restorations in situ, ceramic is likely to need etched using appropriate methods, such as hydrofluoric acid, to facilitate bonding.4 Today, splints used should be passive, flexible (ensuring biological mobility), cleansable and stabilise the tooth into the appropriate position.5,6
Prior to splint removal, it is sensible to check that the splint has remained intact; if not, further splinting may be needed. Removal of composite affixed splints can be challenging as there is potential to damage the tooth surface when removing residual composite. Using an atraumatic technique, such as orthodontic bracket removers, ultrasonic scalers, or orthodontic tungsten carbide debonding burs and Soflex discs can reduce potential enamel damage.7,8
Delayed presentation of intruded teeth
Intrusions are the only displacement injury in which immediate repositioning is not always advocated. Intruded teeth with open apices should be monitored only, regardless of the degree of intrusion for four weeks before considering intervention.3 The four-week clock starts from the date of injury. If, after four weeks, there is no improvement, input from orthodontic colleagues should be sought regarding extruding affected teeth.
Similarly, for teeth with a closed apex intruded less than 3 mm, monitoring for eight weeks to allow for potential re-eruption is recommended.3 A putty index, model or photograph of the injury with a scale (eg using a periodontal probe) can aid review of whether there has been re-eruption. If the tooth is intruded beyond 3 mm, orthodontic extrusion or surgical repositioning is likely to be required. Alternatively, although not particularly reported in the literature, an aesthetic ‘disguise' using composite build ups can be carried out in adults rather than repositioning; however, closed apex teeth are likely to require root canal treatment, and a composite tip will lengthen the endodontic working length, potentially complicating endodontic preparation and obturation (unless carried out prior to composite work). It is also crucial to consider any impact this may have on the gingival margin aesthetics. Careful, often multi-disciplinary treatment planning is warranted.
Delayed presentation of avulsed teeth
Damage and drying of the periodontal ligament cells after a tooth has been avulsed for 30 minutes greatly reduces the outlook for the tooth. The best outcomes are seen when a tooth is replanted within 15 minutes.7 For patients presenting within 48 hours of injury, it may still be possible to replant the tooth. Step-by-step instructions and photographs for how to do this have recently been reported.9
If the time-lag since injury does not preclude replanting, ie there is an open socket to reposition the tooth into, replanting is recommended because although the outlook for the tooth will be very poor, it may preserve hard and soft tissue whilst plans can be made for how to best replace the tooth aesthetically and functionally. Furthermore, replanting the tooth may prevent space closure and drifting of teeth prior to definitive treatment planning, and this may keep more options available as well as contributing to a more favourable outcome. Depending on the specific case, referral for specialist input may be useful, particularly in a growing patient who may benefit from multi-disciplinary treatment planning.
If replanting the tooth is not possible, alternative strategies to temporise and maintain space can be considered and are discussed later.
To conclude, the initial TDI follow-up appointment may have additional elements to consider such as further radiographs, the removal of sutures, splints and the adjustment of occlusion and restoration placement or adjustment. Providing timely intervention to stabilise injuries potentially reduces the number of appointments needed later, reducing the burden of care goals set by local government10 and may greatly enhance prognosis and improve patient outcomes.
-
2.
Consider safeguarding
Be aware of late presenting injuries that may be non-accidental. Up to 60% of child abuse cases have associated head and neck injuries, and 30% of these are intra-oral injuries.11,12 As previously discussed, clinicians have a responsibility to raise concerns if such injuries (particularly when repeated TDIs present) are potentially identified, particularly for vulnerable adults and children.2,13 Minors, repeatedly not being brought to follow-up TDI appointments, may be indicative of neglect and warrant investigation,14,15,16,17 although there may be valid reasons for non-attendance.18 Sporadic attendance of minors, when symptoms have developed, may indicate neglect and in such cases other untreated disease, such as caries, erosion or periodontal disease may be present. The British Dental Association has published recommended actions for the dental team.19
-
3.
Know where and when to refer, if needed
Serious TDIs, or those recognised as more challenging to manage, are summarised in Figure 1. Studies show an increased likelihood of complications for luxation injuries and fractures with concomitant injuries have poor outlooks.20 The injuries listed in Figure 1 may be prudent to refer for specialist input.
Deleterious sequelae of TDIs seen at review may require onward referral or specialist advice. This is particularly for cases which appear to show evidence of certain resorption processes, such as replacement, internal and some cases of external inflammatory root resorption (depending on extent).
Both external inflammatory and internal root resorptions are halted by pulpal extirpation. Therefore, if the diagnosis is clear, extirpating and dressing the root canal system prior to referral is likely to halt the resorptive process. However, as Figure 2 illustrates, the diagnosis may not be clear.
A dentally anxious 16-year-old patient presented to their general dental practitioner some years following TDI. A) Tooth 11 shows pulpal obliteration in the coronal portion of the root and an apical third root fracture. Clinically, 11 has no signs or symptoms. The radiographic appearance of 11 suggests stability because there are no alveolar changes or areas of resorption affecting the root end or horizontal root fracture area. Clinically, tooth 21 has a discharging sinus. Radiographically, there is a radiolucent lesion on the mid-third region of the root (B & C). From these images, it is difficult to ascertain whether the resorption is internal (and contained within the confines of the root canal system), internal and has perforated out with the root, or is external. Further imaging is needed for planning the appropriate treatment in this case. In this situation, because the diagnosis of 21 is unclear, it is prudent to consider onward referral prior to extirpating the pulp
Unfortunately, replacement root resorption cannot be halted by pulpal extirpation, but may progress slowly, especially in adult patients. In growing patients, replacement root resorption is particularly challenging because it impacts soft tissues and alveolar bone growth. Clinically, this manifests as alteration to gingival architecture and tooth infrapositioning, as shown in Figure 3.
If tooth repositioning or space maintenance for TDI lost teeth has not been provided soon after injury, follow up appointments can reveal occlusal interferences or space loss problems, as discussed later. Fig. 4 illustrates a case where poor compliance wearing a removable partial denture following TDI injury has resulted in space loss.
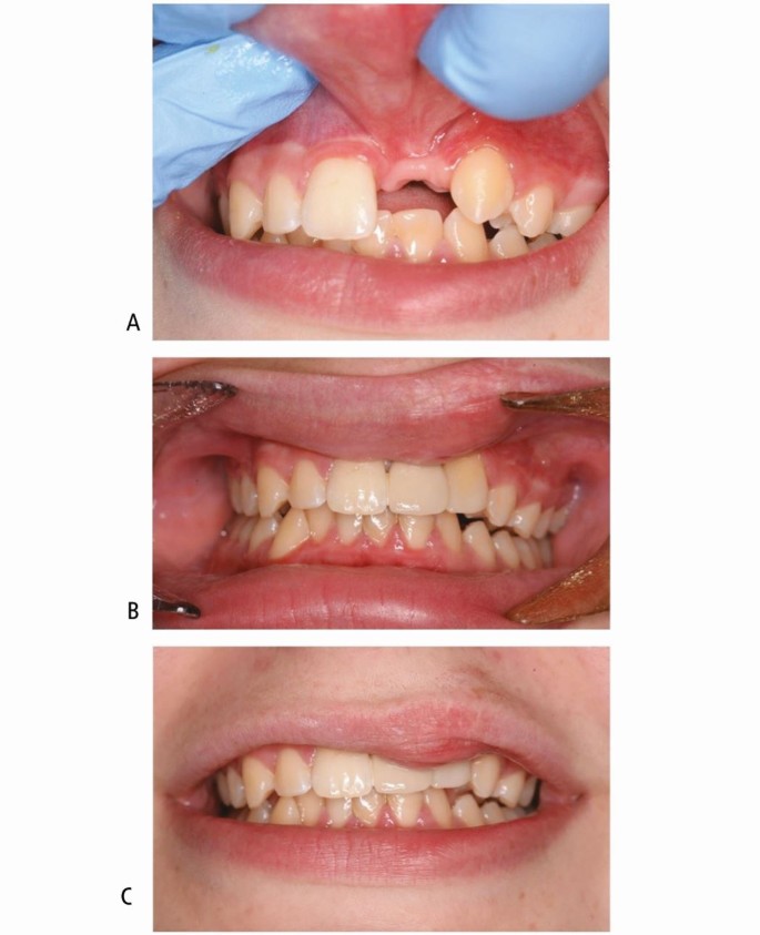
This adolescent patient previously avulsed and lost 21 and 22. A partial denture was provided, but not worn. Consequently, tooth 23 has erupted into the space of 22 and drifted mesially. The space available for restoration is significantly narrower mesio-distally than the width of the contralateral 12 and 11. This case requires multi-disciplinary input for an aesthetically and functionally satisfactory long-term outcome
Onward referrals to dental colleagues may include details of patient co-operation levels if this is likely to impact treatment planning and provision. This can be communicated by including a Modified Dental Anxiety Scale for adults21 or Modified Child Dental Anxiety Scale for children.22
However, onward referral to general medical practitioners may also be required for the patient and parent/guardians in relation to the psychological impact of TDIs, depending on the aetiology of the injury.23,24,25 Children receiving sub-optimal TDI management may have reduced self-esteem.26 Figure 5 illustrates a case where a patient raised concerns to a dentist about a TDI-related facial scar.
-
4.
Maintaining space in growing patients and young adults
When a TDI occurs, teeth may remain in the mouth, displaced, undisplaced, or be avulsed. The most severe TDI injuries are generally accepted as intrusive luxations, lateral luxations with a concomitant root fracture, and avulsions. Although not as severe an injury, cervical third root fractures are particularly challenging to stabilise because of the limited alveolar bone supporting the area and potential ingress of microbes from the oral cavity to the fracture site. Likewise, some crown-root fractures result in significantly subgingival fractures, complicating tooth restoration. Teeth sustaining these injuries are vulnerable to being consigned for extraction by a clinician assessing the TDI; however, it is preferable to make every effort to retain teeth affected by all TDIs, even if this is short term retention only. This is because retaining the TDI-affected tooth or teeth will help preserve hard (bone) and soft tissues and maintain space.
Following avulsions, there are two scenarios:
-
a.
The tooth may have been avulsed and lost at the time of injury
-
b.
The tooth has been avulsed, found, but not replanted.
-
a.
The tooth has been avulsed and lost at the time of injury
Deciding on whether to maintain the resulting space or facilitate closure often involves multi-disciplinary treatment planning and warrants referral, particularly in patients under the age of 18 years.27 Local referral pathways will differ, but referral to a joint paediatric, orthodontic and restorative clinic is prudent where possible.
Whilst awaiting assessment on such a clinic, it is important to consider how to manage the edentulous space so that adjacent teeth do not drift and/or over erupt, further complicating the clinical challenges. In both adults and children, management of the space will depend on several factors, including cooperation, patient motivation, the condition of the remaining dentition and oral hygiene.
Removable appliances such as a single tooth removable partial denture, or a vacuum formed Essix retainer (Fig. 6) with a composite fabricated tooth are relatively quick and easy options.28 These require limited cooperation, provided an intra oral scan or an impression can be recorded. Removable options are particularly useful for growing patients, where changes in gingival margins and skeletal growth require dynamic, adaptive aesthetic and functional treatment strategies.
-
b.
The tooth has been avulsed, found, but not replanted
There are occasions when a patient may attend over 48 hours after avulsion having had no replantation. There may be situations where replantation can still be attempted, however, several days after injury this is often not possible. An immediate bridge can be fabricated using reinforced composite and the crown of the avulsed tooth as a natural pontic.29 Figure 7 shows a case managed in this way. This can be a useful short to medium term solution, providing an aesthetic result whilst definitive treatment planning is carried out. Alternatively, a removable partial prosthesis can be quickly made. Whatever option chosen, the primary objectives remain the same: retain space, soft and hard tissues; restore aesthetics and function.
Tooth 22 was avulsed and the patient attended medical A&E with the tooth, however it was not replanted. The patient was assessed dentally several weeks after injury, when the patient handed the avulsed tooth to the dentist. The edentulous 22 space was provisionally restored using the avulsed tooth crown. To do this, the root was removed, and the pulp contents drilled out using a high-speed hand piece. The endodontic access cavity and resected root end was restored with composite resin and the tooth cemented to the adjacent teeth (after etching) using a composite resin. This provisional measure allowed ongoing monitoring of the adjacent traumatised teeth to better assess their prognosis prior to definitively replacing tooth 22
-
5.
Planning for the future
Patients sustaining TDIs are more likely to sustain TDIs again in the future, which should be considered when treatment planning. Preventive regimes include screening patients for participation in hobbies likely to result in collision or contact sports injury, and recommendation of a mouthguard, accordingly. Custom fit mouth guards are more effective than both ‘stock' and ‘boil and bite' mouth guards, when made appropriately.30 A uniform thickness of between 3-4 mm covering all teeth along with extension into the gingival sulcus is recommended.
In general, cases where several teeth have been involved in a TDI are more challenging and may need multidisciplinary specialist input. Medically, there are few conditions which complicate TDI management in children, adolescents and adults. Medications may impact on treatment outcomes. Bisphosphonates for example may reduce the success of dental implants.31 Social factors of relevance to tooth restoration and/or replacement following TDI include tobacco use. In the case of dental implants and more invasive dental care, smoking affects healing32 and is a risk factor for periodontal disease, which may affect treatment outcomes and prognosis of restorative rehabilitation.33,34 Alcohol, although not directly impacting on the management of TDI (unless the patient is intoxicated at time of presentation and cannot give consent), is associated with higher rates of TDIs.35 Conversations with patients about alcohol intake can be challenging, particularly if consumption appears higher than recommended maximum intake guidelines. Professional advice and signposting may be appropriate if alcohol was involved at the time of the TDI. Advice delivered as a ‘brief intervention' appears effective.36
Dental trauma primarily affects maxillary incisors, which are in the aesthetic zone. Over time, tooth discolouration following TDIs may present and require investigation and management. Teeth which have been displaced and replanted or repositioned can present with aesthetic problems in patients with thin phenotypes and higher smile lines. These cases may need specialist input.
TDIs in children and adolescents (growing patients)
TDI management may be complicated by levels of cooperation, and treatment need staged with regards to growth and development. Following a TDI in a younger patient, the healing potential of the dental pulp is much higher in teeth with immature, open apices. This allows a variety of techniques to preserve teeth to be used, such as pulpotomy (full or partial), apexogenesis and revalcularisation can be attempted if functioning pulp or pulp-like tissue can be retained. If vitality is lost, apical barrier formation using MTA is possible (Fig. 8).37
TDI tooth loss, or the development of an ankylosed tooth in a growing patient can be very challenging from an aesthetic and functional perspective. A comprehensive approach is needed for assessment, potentially on a multidisciplinary clinic. Clinicians will assess caries risk,38 periodontal risk and malocclusion, along with screening for anomalies, such as molar incisor hypomineralisation, ectopic teeth and hypodontia.
If one or more dental implants are being considered after growth has ceased, early assessment by a restorative dentistry specialist is recommended in relation to treatment options, potential implant site preparation (for example by decoronating teeth with replacement resorption), and management of expectations of what may or may not be achievable.
TDIs in adults
In patients with closed apex teeth, the pulp may not survive the dental trauma because of rupture, severing or stretching of the neurovascular bundle. Certain injuries make the need for endodontic treatment in closed apex teeth more likely. These include root fractures with coronal segment displacement, intrusion, extrusion, and lateral luxation.3 It is important that as part of overall treatment planning, caries, periodontal risk and occlusion are assessed. The overall restorative status of adjacent teeth must be considered if a TDI affected tooth is lost or likely to be lost. For example, adjacent teeth may be appropriate bridge abutments, or be of reduced prognosis themselves, requiring consideration within the overall treatment planning.
The majority of teeth affected by TDIs are anteriorly placed, within the aesthetic zone and therefore are required to be preserved or replaced. Rarely, posterior teeth are affected, and in this situation the shortened dental arch approach may be appropriate and is case dependent.
-
6.
Are dental implants the answer?
Implants are a valuable tool for definitively replacing a tooth, but not a panacea. There are situations where implants are not suitable. Trauma to the permanent dentition can occur at any age, with a reported higher incidence in the 10-12-year age group,39,40 this age is below the minimum recommended age of 18 years for considering dental implant placement.41 Guidelines, although recognising a high success rate of 92-98% (implants present for ten years or more), acknowledges factors that adversely affect implant prognosis. These include suboptimal oral hygiene, unstable periodontal disease, smoking/tobacco usage, parafunction, unstable occlusion, and uncontrolled diabetes.32,33,34
A minimum age of 18 years is recommended for dental implant placement because if placed in a growing patient, an occlusal discrepancy results as the patient continues to grow while the implant remains fixed in position, as an ankylosed tooth would. This results in issues such as a disparity in the incisal level and gingival margin levels.42 Modification may be needed at a later stage to address aesthetic and functional implications, but will have cost implications.43 It appears that preserving traumatised teeth for as long as possible, to delay implant placement may offer benefits in terms of aesthetics and cost.
Some TDI injuries are accompanied by loss of soft tissue and bone. This can complicate and/or preclude implant use. Treatment duration, multiple surgical procedures and frequency of appointments may not appeal to all patients. Figure 9 illustrates such a case.
This 16-year-old patient lost teeth 21 and 22 in a TDI and a significant amount of horizontal bone loss has occurred and a TDI-related scar affects the movement and appearance of the upper lip. The patient did not want to undergo surgical or orthodontic treatment and an alternative strategy was developed. The images show restoration of the dentition using a combination of resin retained bridgework and composite resin restoration. The patient did not want to undergo bone augmentation, scar revision or implant placement. Following joint paediatric orthodontic, and paediatric restorative clinics, a diagnostic wax up was undertaken. Tooth 23 was reshaped with composite to resemble tooth 22. Tooth 11 was used for an abutment for a resin retained bridge (tooth 22 being the pontic). No tooth structure was removed to achieve this treatment, and the procedures are reversible should the patient wish to consider implants in the future. Unlike implant placement, this treatment was achievable before skeletal maturity, and the patient was able to dispose of the removable partial prosthesis they found uncomfortable
Conclusion
Dental trauma management can be challenging. Using a methodical evidence-based approach to the diagnosis, management and follow-up, may enhance patient outcomes. Ongoing research is continually strengthening the evidence base for treatment strategies. Resources such as the IADT guidelines3 which are reviewed and evolve, are recommended tools to which to refer.
Going forwards, developments in bioactive materials may provide alternative, more conservative, regenerative treatment modalities. Stem cell research may impact the management and outcomes of TDIs in the future. Until then, the key issues for the diagnosis, management and sequelae of TDIs for clinicians have been summarised here and in the preceding articles.1,2
Follow-up, for early recognition of problematic TDI sequelae is important, and for more serious problems, such as replacement resorption, onward referral is advisable. Many TDIs, particularly in growing patients, benefit from multidisciplinary involvement at an early stage, whilst teeth, even if of a guarded or hopeless outlook, are still in situ.
Top tips are intended as a series of experiential tips, rather than a compendium of the evidence.
References
Seeballuck C, Dolan S K, Kilgariff J. Getting it right at every stage: Top tips for traumatic dental injury review: Part 1. Br Dent J 2024; 236: 82-86.
Seeballuck C, Dolan S, Kilgariff J. Top tips for the immediate management of dental trauma. Br Dent J 2022; 233: 8-12.
International Association of Dental Traumatology. 2020 IADT Guidelines for the Evaluation and Management of Traumatic Dental Injuries. Available at: https://www.iadt-dentaltrauma.org/for-professionals.html (accessed June 2023).
Kilgariff J K, Fairless M. Displacement injuries: assessment and management. Prim Dent J 2023; 12: 47-56.
Sobczak-Zagalska H, Emerich K. Best splinting methods in case of dental injury-a literature review. J Clin Pediatr Dent 2020; 44: 71-78.
Todd S. How flexible is your trauma splint? BDJ Student 2020; 27: 50.
Rao A, Rao A, Shenoy R. Splinting - when and how? Dent Update 2011; 38: 341-346.
Cehreli Z C, Lakshmipathy M, Yazici R. Effect of different splint removal techniques on the surface roughness of human enamel: A three-dimensional optical profilometry analysis. Dent Traumatol 2008; 24: 177-182.
Djemal S, Shah M. Avulsion injuries: assessment and management. Prim Dent J 2023; 12: 57-63.
Scottish Government. Oral Health Improvement Plan. 24 January 2018. Available at: https://www.gov.scot/publications/oral-health-improvement-plan/ (accessed November 2023).
Park C. Oral and Dental Aspects of Child Abuse and Neglect. Centre for Excellence for Children's Care and Protection, 2014. Available at: https://www.celcis.org/application/files/1515/3745/9870/oral-and-dental-aspects-of-child-abuse-and-neglect.pdf (accessed November 2023).
Royal College of Paediatrics and Child Health. Child Protection Evidence. Systematic review on Oral Injuries. 2014. Available at: https://childprotection.rcpch.ac.uk/wp-content/uploads/sites/6/2020/05/child_protection_evidence_-_oral_injuries.pdf (accessed November 2023).
General Dental Council. Focus on Standards. Standard 8.5. Available at: https://standards.gdc-uk.org/pages/principle8/principle8.aspx (accessed November 2023).
Dunbar L. Did Not Attend v Was Not Brought. Dental Nursing 2 December 2019. Available at: https://www.dental-nursing.co.uk/features/did-not-attend-v-was-not-brought (accessed November 2023).
Royal College of Paediatrics and Child Health. Child Protection Evidence - Dental Neglect. 2014. Available at: https://childprotection.rcpch.ac.uk/child-protection-evidence/dental-neglect-systematic-review/ (accessed November 2023).
Scottish Dental Clinical Effectiveness Programme. Practice Support Manual. Child Protection. Available at: https://www.psm.sdcep.org.uk/content/ethical-practice/child-protection/#:~:text=All%20dental%20team%20members%2C%20as%20providers%20of%20care,safeguarding%20children%20and%20young%20people%2C%20and%20vulnerable%20adults (accessed November 2023).
Harris J. Safeguarding children: noticing dental neglect. BDJ Team 2018; doi: 10.1038/bdjteam2018202.
Simons D, Pearson N, Dittu A. Why are vulnerable children not brought to their dental appointments? BDJ Team 2016; doi: 10.1038/bdjteam2016156.
Kirby J, Harris J. Development and evaluation of a ‘was not brought' pathway: a team approach to managing children's missed dental appointments. Br Dent J 2019; 227: 291-297.
Bücher K, Neumann C, Thiering E, Hickel R, Kühnisch J. Complications and survival rates of teeth after dental trauma over a 5-year period. Clin Oral Investig 2013; 17: 1311-1318.
Humphris G, Crawford J R, Hill K et al. UK population norms for the modified dental anxiety scale with percentile calculator: adult dental health survey 2009 results. BMC Oral Health 2013; doi: 10.1186/1472-6831-13-29.
Wong H M, Humphris G M, Lee G T. Preliminary validation and reliability of the Modified Child Dental Anxiety Scale. Psychol Rep 1998; 83: 1179-1186.
Lee J Y, Divaris K. Hidden consequences of dental trauma: the social and psychological effects. Pediatr Dent 2009; 31: 96-101.
Porritt J M, Rodd H D, Baker S R. Childhood dental injuries: a resiliency model of adaptation. Int J Paediatr Dent 2015; 25: 267-281.
Porritt J M, Rodd H D, Baker S R. Parental quality-of-life impacts following children's dento-alveolar trauma. Dent Traumatol 2013; 29: 92-98.
Rodd H, Noble F. Psychosocial impacts relating to dental injuries in childhood: the bigger picture. Dent J (Basel) 2019; doi: 10.3390/dj7010023.
Alani A, Austin R, Djemal S. Contemporary management of tooth replacement in the traumatized dentition. Dent Traumatol 2012; 28: 183-192.
Chopra S, Bansal P, Bansal P. Essix Appliance: An innovation modification for use as temporary bridge - A case report. J Adv Med Dent Sci Res 2020; 8: 184-186.
Raj R et al. Natural tooth pontic: an instant esthetic option for periodontally compromised teeth - A case series. Case Rep Dent 2016; doi: 10.1155/2016/8502927.
Sliwkanich L, Ouanounou A. Mouthguards in dentistry: Current recommendations for dentists. Dent Traumatol 2021; 37: 661-671.
Sulaiman N, Fadhul F, Chrcanovic B R. Bisphosphonates and dental implants: a systematic review and meta-analysis. Materials (Basel) 2023; doi: 10.3390/ma16186078.
Silverstein P. Smoking and wound healing. Am J Med 1992; doi: 10.1016/0002-9343(92)90623-j.
Apatzidou D A. The role of cigarette smoking in periodontal disease and treatment outcomes of dental implant therapy. Periodontol 2000 2022; 90: 45-61.
Devlin A, Fee P. How do different levels of smoking affect dental implants? Evid Based Dent 2021; 22: 28-29.
Magno M B, et al. Associations and risk factors for dental trauma: A systematic review of systematic reviews. Community Dent Oral Epidemiol 2020; 48: 447-463.
Kaner E F, Beyer F R, Muirhead C et al. Effectiveness of brief alcohol interventions in primary care populations. Cochrane Database Syst Rev 2018; doi: 10.1002/14651858.CD004148.pub4.
Van Gorp G, Declerck D. Long-term outcome of endodontically treated traumatized immature upper incisors. J Endod 2023; 49: 1106-1119.
Office for Health Improvement and Disparities, Department of Health and Social Care, NHS England, and NHS Improvement. Delivering better oral health: an evidence-based toolkit for prevention. Updated 2021. Available at. https://www.gov.uk/government/publications/delivering-better-oral-health-an-evidence-based-toolkit-for-prevention (accessed October 2023).
Goswami M, Aggarwal T. Prevalence of traumatic dental injuries among 1- to 14-year-old children: A retrospective study. Int J Clin Pediatr Dent 2021; 14: 467-470.
Kovacs M, Pacurar M, Petcu B, Bukhari C. Prevalence of traumatic dental injuries in children who attended two dental clinics in Targu Mures between 2003 and 2011. Oral Health Dent Manag 2012; 11: 116-124.
Dabar U, et al. Guidance on the standards of care for NHS-funded dental implant treatment. RCS (Eng), FDS, 2019. Available at: https://www.rcseng.ac.uk/dental-faculties/fds/publications-guidelines/clinical-guidelines/ (accessed March 2024).
Thilander B, Ödman J, Lekholm U. Orthodontic aspects of the use of oral implants in adolescents: a 10-year follow-up study. Eur J Orthod 2001; 23: 715-731.
Bohner L, Hanisch M, Kleinheinz J, Jung S. Dental implants in growing patients: a systematic review. Br J Oral Maxillofac Surg 2019; 57: 397-406.
Author information
Authors and Affiliations
Corresponding authors
Rights and permissions
About this article
Cite this article
Seeballuck, C., Dolan, S. & Kilgariff, J. Getting it right at every stage: Top tips for traumatic dental injury review: Part 2. Br Dent J 236, 428–433 (2024). https://doi.org/10.1038/s41415-024-7245-7
Published:
Version of record:
Issue date:
DOI: https://doi.org/10.1038/s41415-024-7245-7








