Fig. 7
From: Getting it right at every stage: Top tips for traumatic dental injury review: Part 2

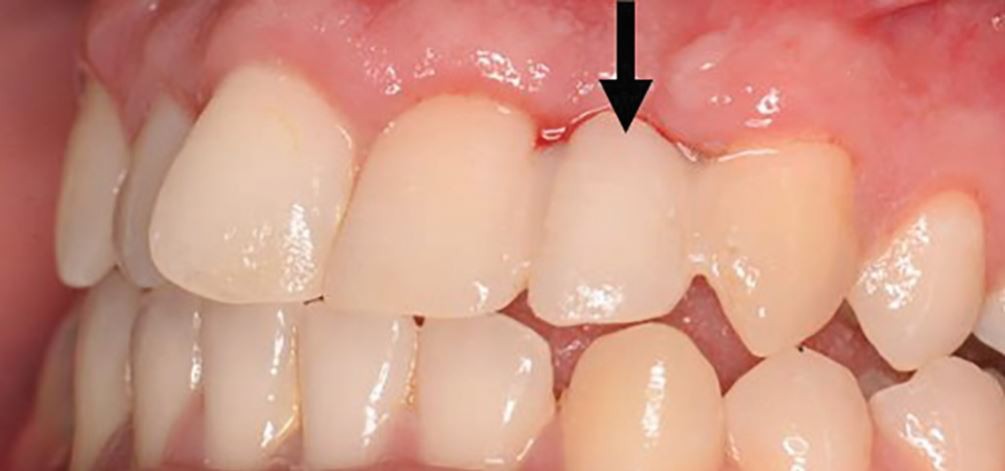
Tooth 22 was avulsed and the patient attended medical A&E with the tooth, however it was not replanted. The patient was assessed dentally several weeks after injury, when the patient handed the avulsed tooth to the dentist. The edentulous 22 space was provisionally restored using the avulsed tooth crown. To do this, the root was removed, and the pulp contents drilled out using a high-speed hand piece. The endodontic access cavity and resected root end was restored with composite resin and the tooth cemented to the adjacent teeth (after etching) using a composite resin. This provisional measure allowed ongoing monitoring of the adjacent traumatised teeth to better assess their prognosis prior to definitively replacing tooth 22