Introduction
Stabilisation of primary disease is a key pillar of successful treatment in the provision of dental care. As well as managing periodontal disease, managing caries is a crucial component of a successful treatment plan. Treatment plans are often divided into the following phases.
Phased treatment
-
1.
Emergency treatment
-
2.
Elimination of active disease to achieve oral stability
-
3.
Rehabilitation/Reconstruction phase
-
4.
Maintenance/Monitoring phase.
Whilst the focus is often on phases 1 and 3, achieving oral stability is the foundation of future success. Often in the rush to progress to phase 3, not enough time is spent on phase 2 given the time pressures in busy practices. However, if we do not relay the appropriate preventative messages to our patients, treatment carried out in phase 3 will inevitably fail. In this short article we discuss some of our experiential tips for preventative care in primary care.
-
1.
Optimising fluoride dose depending on caries risk
Our recommendations regarding fluoride doses will differ depending on the patient's caries risk.1 Establishing your patient's current fluoride exposure is important to tailor recommendations. Asking questions such as ‘what toothpaste do you use?' can be helpful, as well as the number of times they brush a day, and whether they rinse their mouth or spit after toothbrushing. However, there has been a rise in ‘social media dentistry' and unlicensed toothpastes which can lead patients to making uninformed decisions.2 Therefore it is essential to investigate the content of toothpastes if a patient reports using a brand you are not familiar with, to ensure that the patient is exposed to the appropriate fluoride content.
It is also important to remember that your patient might be exposed to other sources of fluoride. Therefore, one should consider this when assigning an appropriate caries risk and if any of these apply to your area of practice:
-
a.
Fluoridated water and milk - Fluoridation of water is rare in the UK; there are very few areas with naturally fluoridated water (some areas in County Durham, Staffordshire, Hampshire and Berkshire), it is only added to 10% of areas in England (Cumbria, Cheshire, Tyneside, Northumbria, Durham, Humberside, Lincolnshire, Nottinghamshire, Derbyshire, West Midlands and Bedfordshire)3 and completely absent in Scotland, Wales, and Northern Ireland.1 Fluoridation of milk is also rare, but when used it is given to early years and school children in areas of high caries incidence with no fluoridated water.1 There is a limited number of studies done on its efficacy, and a Cochrane review concluded that it can lower caries risk, however there was no mention of any adverse side effects, such as fluorosis.4
-
b.
High fluoride toothpaste - If a patient is deemed to be at an increased caries risk, one should consider increasing their fluoride availability until caries risk is able to be reduced by the patient.1 This could be in the form of a prescription of high fluoride toothpaste, fluoride varnish application or fluoridated mouthwashes. Regarding high fluoride toothpastes, they should be considered for children with a high caries risk between the ages of 10 and 16 (2,800 ppm) and over 16 as well as adults (5,000 ppm).1 The evidence regarding its efficacy and benefits is limited, focusing mainly on radicular caries.1 Their chronic use should also be avoided, and children as well as adults with additional needs may require supervision when using them.1
-
c.
Fluoride varnish - Fluoride varnish at 22,600 ppm (2.26% NaF) is a medium that is mostly safe and well received by patients, and should be regularly applied when a child attends a recall appointment.5 Adverse reactions to colophony in patients with an allergy to plaster adhesives and severe asthma can occur, therefore colophony free varnishes should be used when possible.6 It has been agreed that its use is accepted by Muslims, as its alcohol content is very low, and is being used for medical purposes rather than for recreational purposes with an intoxication intent.1
-
d.
Fluoridated mouthwashes - Mouthwashes can be used daily (230 ppm) or weekly (~900 ppm), with no current evidence on the efficacy of one versus the other.1 It is important to stress to patients that mouthwashes should be used at a different time from toothbrushing to increase the effects of fluoride, as there is a large group of patients that believe mouthwash should be used after brushing.7,8
-
2.
Tailoring interdental cleaning to individual patients
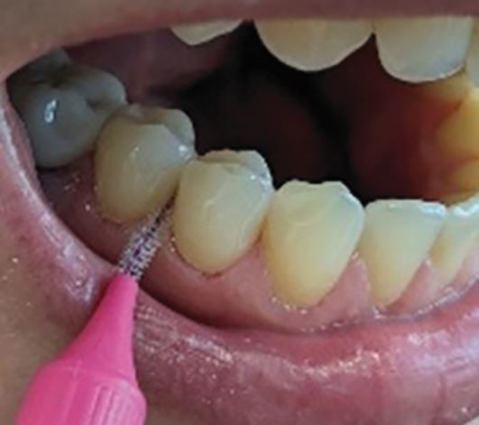
There are several different products in the market aimed at interdental cleaning, including dental floss, dental tape, interdental brushes, oral irrigators, etc. It can be difficult to decide which product to recommend. Evidence suggests that interdental brushes could be more effective than floss, however there are several factors that need to be taken into account when making a bespoke interdental cleaning plan.9
Assessing patients' embrasure types can help with the selection of interdental cleaning aids.
According to Liang et al.,10 there are three different types of embrasures (Table 1), and each type will benefit from different interdental cleaning aids. This should also be considered in combination with patient engagement, manual dexterity, and patterns of plaque deposition. Table 2 illustrates a summary of the recommendations proposed by Liang et al.10
It is also worth reminding patients that they should start interdental cleaning by the age of 18, however this can be started earlier if there is gingival inflammation present since attachment loss can be observed in early teenage years.9 Interdental brush sizing is shown in Figures 1 and 2.
-
3.
Toothbrushing advice based on evidence
Giving toothbrushing advice is one of the main preventative measures that the majority of clinicians use.11 There is strong evidence that brushing twice a day with fluoride toothpaste, before bed and at another time, is an effective biofilm removal technique that supports oral health.12 Choosing a toothbrush that fits your patient is an important step in oral health instructions, so there are several factors to consider:
-
a.
Powered vs manual toothbrush - There is evidence that a powered toothbrush is more effective in biofilm removal and has both long- and short-term reduction in periodontal issues.9,13 There is, however, effective plaque removal with both types of toothbrushes, and no conclusive evidence regarding a superior mode of brushing, be it sonic or rotary.9 It is important to tailor toothbrushing techniques to the toothbrush the patient is using, as using an electric toothbrush with a manual toothbrush technique can be more inefficient.
-
b.
Bristles - A toothbrush with a round head and medium bristles is appropriate for the majority of patients, however recommendations should be done with the knowledge of the patient's toothpaste, as studies suggest that a medium to high abrasive paste can lead to higher dentine loss when used with medium and firm bristle toothbrushes.14
-
c.
Brushing time - DBOH (‘Delivering better oral health') recommends brushing for at least two minutes, which can be achieved with the aid of a timer, whether with an app on a smartphone eg BrushDJ or an egg timer.9 There are, however, studies that suggest that this might not be sufficient to achieve sufficient plaque removal.15
-
d.
Brushing children's teeth - Children's brushing should be supervised until the age of seven, however further supervision might be required if brushing is proving to be ineffective with further support and encouragement.9 Supervision will guarantee the correct amount of fluoride is dispensed, and it will ensure that the child does not eat or lick the toothpaste before it is used, avoiding fluoride overexposure.9
-
4.
Diet advice and sugar intake
The intake of free sugars has reduced recently in children, but this has not been observed in adults.16 Explaining to patients the definition of ‘free sugars' can be very helpful in the management of their diet. Some patients will believe that sugars marketed as ‘healthy', eg, honey, will not be damaging for their teeth. Raising awareness that any sugar that is added by a manufacturer, including natural sugars, such as those found in fruit juices and honey, constitutes a free sugar, and can increase their caries risk. Increasing their vegetable, whole fruit and fibre intake will benefit not just their general, but oral health as well.16 Referring patients back to the Eatwell Guide will also help to reinforce their knowledge and fill in any gaps that the patient might not have grasped during their appointment.17
A visual aid, such as the illustration of Stephan's curve [widely available online and often used at dental school] can be a good behavioural change tool, as it demonstrates the effect that sugar and acidic foods and beverages can have if not restricted to three sugar attacks daily.18
Changing your patients' views on the types of food they purchase and encouraging them to check the product's label for sugar content as well as its position in the list of ingredients (Box 1) can be a good motivator for habit change.16
It is essential that we tailor our preventative advice to suit our patients' individual situations.
When it comes to babies and young children, it should be highlighted that there are several benefits to breastfeeding, including a lower caries risk for babies that are breastfed for the first 12 months.19 There is a potential for an increased caries risk for children that are breastfed for over 12 months, however it becomes difficult to confirm the main aetiological factor due to ingestion of solids, which may include processed foods and sugars.19,20
Parents should be reminded that as soon as their children's teeth have erupted, they will need to be brushed. This should be done as close as possible to bedtime, even if there are night-time feeds or if the infant falls asleep at the breast/bottle. It is also helpful to remind parents that if a baby is bottle fed, only milk, cooled boiled water or formula should be used, and anything with added sugars should not be used. Bottle use should also be discontinued after 12 months.16
Another thing to be wary of is sugar in medications. Some liquid preparations contain sugars, so it is important to highlight this to the patient and potentially request a sugar-free preparation from their general practitioner (GP). If this is not possible, one should consider fitting medication times around meals.16
-
5.
Fissure sealants
Resin-based fissure sealants are recommended for children that have an increased caries risk. This should be done on all erupting fissured teeth, especially molars.21 There is less evidence regarding glass ionomer and resin-modified glass ionomer cements, however they have a place if there is no opportunity or optimal clinical conditions to use a resin-based fissure sealant.22
The provision of proximal resin-based sealants has proved to be more effective than glass ionomer.23 This can be done when there is direct exposure and access to the proximal wall on children with an increased caries risk.21
There can be little success after placement of fissure sealants, which is likely due to its highly sensitive technique.21 Studies show that there is no difference in the outcome between sealed and non-sealed teeth, however this is likely due to sealant failure.24 The technique for correct sealant placement can be prone to error, which will affect not just the longevity of the sealants, but also its function. Therefore, there should be a regular check of the integrity of sealants. One should assess them for wear, leakage and retention problems, ensuring that they are maintained properly and continue to prevent caries.21
Here are a few tips that can minimise operator error:
-
Ensuring good tooth surface cleaning, with pumice, air abrasion or hydrogen peroxide25
-
Ensuring adequate moisture control. Exposure to salivary proteins will contaminate the enamel, hence re-etching might be required.26 Rubber dam should be used when possible27
-
A four-handed approach has been associated with improved retention26
-
Assessing the sealant for any voids, material deficiencies or air bubbles before curing will help to ensure retention.28
-
6.
Behaviour and mindset change
We know that many oral diseases can be prevented or managed by improving patients' healthy behaviours, and suggesting the interventions we have already discussed. However, achieving behaviour change with our patients can be easier said than done. Indeed, change is influenced by a number of factors, including environmental and socioeconomic. Therefore, it is important to manage our own expectations around what that change looks like.
As clinicians, we need to accept that patients' behaviours will not change overnight and be willing to take the journey with the patient towards improving their oral health...
‘Behaviour change is a cycle, an ongoing process - not something that happens immediately or in a linear fashion.'29
This means that as clinicians, we need to accept that patients' behaviours will not change overnight and be willing to take the journey with the patient towards improving their oral health, remembering that information does not lead automatically to transformation and behaviour change. It also means that behaviour change is an ongoing process, not only for the patient, but for us as practitioners too. We need to persevere as we encourage our patient to take the relevant steps, often repeatedly, as behaviour change can take many attempts.
Behaviour change can take up to nine months and may be more effective when a patient is at a key point in life, as they may be more ready to change when stepping into a new chapter.29 Milestones such as parenthood, entering retirement, or finishing school are notably a good time to attempt behaviour change.
Our instructions will need to be tailored to the individual patient, taking into account whether or not they are ready to change. We can do this through discussion with the patient, and deciding with them not only if they are ready to change, but what changes they have the capacity to make. There are a number of behaviour change models that we can use to achieve this. The COM-B model states that a person must have the capability, opportunity, and motivation to change their behaviour.30
A part of this involves us as dental practitioners laying the groundwork for change by:
-
Raising awareness of the issue and the fact that there are options to prevent/control disease through oral health improvement
-
Assessing the patient's capability, opportunity, and motivation to change
-
Supporting patients who are ready to change by showing them what changes they can make and how. We can also set SMART goals, identify barriers to change and make suggestions to overcome these, plan for relapses in behaviour and provide encouragement and praise for any small shifts and changes.
Oral health interventions designed to influence a patient's behaviour can be delivered by various members of the dental team. Once we have decided who in our practice will be delivering these oral health interventions with the patient, we need to ensure that we build rapport and empathy with the patient, and decide how we are going to deliver the intervention to them. This should be decided along with the assessment of the patient's readiness to change, to ensure that the method suits the patient and where they are in their journey of behaviour change. Face to face is the preferred method, by one or more team members, but this can be supplemented by printed or digital resources.31 The duration of advice can range from brief to more in-depth interventions.31
-
7.
Recall intervals and caries risk assessment
Since caries risk assessment is used to predict the future likelihood of caries and its progression, it will help us to decide how often we need to recall our patients and take bitewing radiographs.32 This will, in turn, reduce the prevalence of caries developing and progressing to the point of causing pain or infection.
Factors that can be taken into account for predicting caries risk include: past experience of caries, oral hygiene, dietary habits, salivary changes and socio-economic factors.33 A patient who presents with one or more of the above criteria is considered to be at an increased caries risk, and according to FGDP guidance can be justified in having bitewing radiographs taken every six months, and a recall interval from six months to one year.34,35
Even with the use of caries risk assessment tools, the determination of recall times for patients is down to clinical judgement in accordance with NICE Guidelines (Table 3). In addition, the British Society of Paediatric Dentistry recommends that children have their first dental check-up by age one.36 As clinicians it is our responsibility to be familiar with NICE and FGDP (CGDent) guidance, decide which system for assessing caries risk works best within your practice, and ensure that you justify both your recall time and your radiograph intervals in your clinical records.34,35
Conclusions
There are many ways to help our patients prevent dental decay; even when we and our patients are pressed for time as is likely in a busy primary care practice. Fortunately, interventions which often do not take much time can be impactful if applied correctly. It is essential that we tailor our preventative advice to suit our patients' individual situations. In this short paper, we have highlighted some of the key factors in caries prevention which in combination with behaviour change and recall intervals will help to minimise the prevalence of caries.
Top tips are intended as a series of experiential tips, rather than a compendium of the evidence.
References
Department of Health & Social Care, NHS England, NHS Improvement, Office for Health Improvement and Disparities. Delivering better oral health: an evidence-based toolkit for prevention. Chapter 9: Fluoride. 2021. Available at: https://www.gov.uk/government/publications/delivering-better-oral-health-an-evidence-based-toolkit-for-prevention/chapter-9-fluoride (accessed March 2024).
Ooi H L, Kelleher M G D. Instagram dentistry. Prim Dent J 2021; 10: 13-19.
British Fluoridation Society. Extent of Water Fluoridation. Updated 2020. Available at: https://bfsweb.org/extent/ (accessed March 2024).
Yeung C A, Chong L Y, Glenny A-M. Fluoridated milk for preventing dental caries. Cochrane Database Syst Rev 2015; doi: 10.1002/14651858.CD003876.pub4.
Mascarenhas A K. Is fluoride varnish safe?: Validating the safety of fluoride varnish. J Am Dent Assoc 2021; 152: 364-368.
Brown P M, Fox K, Field E A, Randall C. UK Dental Medicines Advisory Service: questions asked by dentists - part 4: prescribing of high-strength fluoride toothpastes and use of fluoride varnishes in dental practice. Br Dent J 2021; 231: 623-628.
Marinho V C C, Chong L Y, Worthington H V, Walsh T. Fluoride mouthrinses for preventing dental caries in children and adolescents. Cochrane Database Syst Rev. 2016; doi: 10.1002/14651858.CD002284.pub2.
Satish S, Rudraswamy S, Hommerhalli J S P, Doggalli N, Sunitha S, Srinivas S. An exploratory insight into public's perception and preference of mouthwash during COVID-19 pandemic. Universal J Public Health 2022; 10: 569-575.
Department of Health & Social Care, NHS England, NHS Improvement, Office for Health Improvement and Disparities. Delivering better oral health: an evidence-based toolkit for prevention. Chapter 8: Oral hygiene. 2021. Available at: https://www.gov.uk/government/publications/delivering-better-oral-health-an-evidence-based-toolkit-for-prevention/chapter-8-oral-hygiene (accessed March 2024).
Liang P, Ye S, McComas M, Kwon T, Wang C-W. Evidence-based strategies for interdental cleaning: a practical decision tree and review of the literature. Quintessence Int 2021; 52: 84-95.
Rashid M, Ellis A, Deery C. A practical guide to caries prevention in children. Dent Update 2020; 47: 849-853.
Schnabl D, Wiesmüller V, Hönlinger V, Wimmer S, Bruckmoser E, Kapferer-Seebacher I. Cleansing efficacy of an auto-cleaning electronic toothbrushing device: a randomized-controlled crossover pilot study. Clin Oral Investig 2021; 25: 247-253.
Elkerbout T A, Slot D E, Rosema N A M, Van der Weijden G A. How effective is a powered toothbrush as compared to a manual toothbrush? A systematic review and meta-analysis of single brushing exercises. Int J Dent Hyg 2020; 18: 17-26.
Turssi C P, Binsaleh F, Lippert F et al. Interplay between toothbrush stiffness and dentifrice abrasivity on the development of non-carious cervical lesions. Clin Oral Investig 2019; 23: 3551-3556.
Saghiri M A, Amanabi M, Vakhnovetsky J, Amini S B, Samadi E. Effects of brushing duration on the efficacy of dental plaque removal: An in vitro study. Int J Dent Hyg 2023; 21: 618-623.
Department of Health & Social Care, NHS England, NHS Improvement, Office for Health Improvement and Disparities. Delivering better oral health: an evidence-based toolkit for prevention. Chapter 10: Healthier eating. 2021. Available at: https://www.gov.uk/government/publications/delivering-better-oral-health-an-evidence-based-toolkit-for-prevention/chapter-10-healthier-eating (accessed March 2024).
Office for Health Improvement and Disparities. The Eatwell Guide. Updated January 2024. Available at: https://www.gov.uk/government/publications/the-eatwell-guide (accessed March 2024).
Clarke L, Stevens C. Preventing dental caries in children: why improving children's oral health is everybody's business. Paediatrics Child Health 2019; 29: 536-542.
Cui L, Li X, Tian Y et al. Breastfeeding and early childhood caries: a meta-analysis of observational studies. Asia Pac J Clin Nutr 2017; 26: 867-880.
Maura Adelina H, Geanina B, Oana-Maria R et al. Breastfeeding and dental caries in children - a review. Romanian J Oral Rehabil 2020; 12: 175-180.
Department of Health & Social Care, NHS England, NHS Improvement, Office for Health Improvement and Disparities. Delivering better oral health: an evidence-based toolkit for prevention. Chapter 4: Dental caries. 2021. Available at: https://www.gov.uk/government/publications/delivering-better-oral-health-an-evidence-based-toolkit-for-prevention/chapter-4-dental-caries (accessed March 2024).
Mummery T A, Popat R. Glass Ionomer Cement as a preventative fissure sealant for first permanent molars in high caries risk patients waiting general anaesthetic - a case series. BDJ Open 2022; doi: 10.1038/s41405-022-00119-3.
Splieth C, Kanzow P, Wiegand A, Schmoeckel J, Jablonski-Momeni A. How to intervene in the caries process: proximal caries in adolescents and adults - a systematic review and meta-analysis. Clin Oral Investig 2020; 24: 1623-1636.
Chabadel O, Véronneau J, Montal S, Tramini P, Moulis E. Effectiveness of pit and fissure sealants on primary molars: A 2-yr split-mouth randomized clinical trial. Eur J Oral Sci 2021; doi: 10.1111/eos.12758.
Cvikl B, Moritz A, Bekes K. Pit and fissure sealants - A comprehensive review. Dent J (Basel) 2018; doi: 10.3390/dj6020018.
Naaman R, El-Housseiny A A, Alamoudi N. The use of pit and fissure sealants - A literature review. Dent J (Basel) 2017; doi: 10.3390/dj5040034.
Mattar R E, Sulimany A M, Binsaleh S S, Hamdan H M, Al-Majed I M. Evaluation of fissure sealant retention rates using Isolite in comparison with rubber dam and cotton roll isolation techniques: A randomized clinical trial. Int J Paediatr Dent 2023; 33: 12-19.
Wells M H. Pit and fissure sealants: scientific and clinical rationale. In: Nowak A J, Christensen J R, Mabry T R, Townsend J A, Wells M H (editors). Pediatric dentistry (6th Edition). pp 461-481. Philadelphia: Elsevier, 2019.
Department of Health & Social Care, NHS England, NHS Improvement, Office for Health Improvement and Disparities. Delivering better oral health: an evidence-based toolkit for prevention. Chapter 3: Behaviour change. 2021. Available at: https://www.gov.uk/government/publications/delivering-better-oral-health-an-evidence-based-toolkit-for-prevention/chapter-3-behaviour-change (accessed March 2024).
Michie S, van Stralen M M, West R. The behaviour change wheel: A new method for characterising and designing behaviour change interventions. Implement Sci 2011; doi: 10.1186/1748-5908-6-42.
Department of Health & Social Care, NHS England, NHS Improvement, Office for Health Improvement and Disparities. Delivering better oral health: an evidence-based toolkit for prevention. 2021. Available at: https://www.gov.uk/government/publications/delivering-better-oral-health-an-evidence-based-toolkit-for-prevention (accessed March 2024).
Muraleedhar Seetha S, Thomas V, Sivaram R, Sreedharan S, Nayar B R. Caries Risk Assessment and Referral Tool (CRA-RT) - A novel risk scoring system for early childhood caries in community settings. Community Dent Oral Epidemiol 2020; 48: 379-386.
Mejà re I, Axelsson S, Dahlén G et al. Caries risk assessment. A systematic review. Acta Odontol Scand 2014; 72: 81-91.
Horner K, Eaton K A. Selection criteria for dental radiography. FGDP(UK), 2018. Available at: https://cgdent.uk/selection-criteria-for-dental-radiography/ (accessed March 2024).
NICE. Dental recall: recall interval between routine dental examinations. October 2004. Available at: https://www.nice.org.uk/guidance/cg19/resources/dental-recall-recall-interval-between-routine-dental-examinations-pdf-250576826821 (accessed March 2024).
British Society of Paediatric Dentistry. Dental Check by One. Available at: https://www.bspd.co.uk/Patients/Dental-Check-by-One (accessed March 2024).
Author information
Authors and Affiliations
Corresponding authors
Rights and permissions
About this article
Cite this article
Avery, I., Robinson, S., Lin, Y. et al. Top tips for preventative dentistry in primary care. Br Dent J 236, 510–514 (2024). https://doi.org/10.1038/s41415-024-7307-x
Published:
Version of record:
Issue date:
DOI: https://doi.org/10.1038/s41415-024-7307-x

