This is a preview of subscription content, access via your institution
Access options
Subscribe to this journal
Receive 24 print issues and online access
$259.00 per year
only $10.79 per issue
Buy this article
- Purchase on SpringerLink
- Instant access to the full article PDF.
USD 39.95
Prices may be subject to local taxes which are calculated during checkout

References
Leads from the MMWR. Erosion of dental enamel among competitive swimmers-Virginia. JAMA 1983; 250: 716.
Moore A B, Calleros C, Aboytes D B, Myers O B. An assessment of chlorine stain and collegiate swimmers. Can J Dent Hyg 2019; 53: 166-171.
Dawes C, Boroditsky C. Rapid and severe tooth erosion from swimming in an improperly chlorinated pool. J Can Dent Assoc 2003; 74: 359-361.
Zebrauskas A, Birskute R, Maciulskiene V. Prevalence of dental erosion among the young regular swimmers in Kaunas, Lithuania. J Oral Maxillofac Res 2014; doi: 10.5037/jomr.2014.5206.
Bretz W A, Carrilho M R. Salivary parameters of competitive swimmers at gas-chlorinated swimming-pools. J Sports Sci Med 2013; 12: 207-208.
Author information
Authors and Affiliations
Corresponding authors
Rights and permissions
About this article
Cite this article
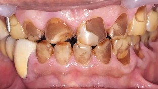
Parekh, N., Singh Banga, K., Shetty, S. et al. Chlorine-induced dental pigmentation in a long-term swimmer. Br Dent J 237, 859–860 (2024). https://doi.org/10.1038/s41415-024-8165-2
Received:
Accepted:
Published:
Version of record:
Issue date:
DOI: https://doi.org/10.1038/s41415-024-8165-2