Fig. 3
From: Endodontic implications of dental trauma: useful tips for primary dental care

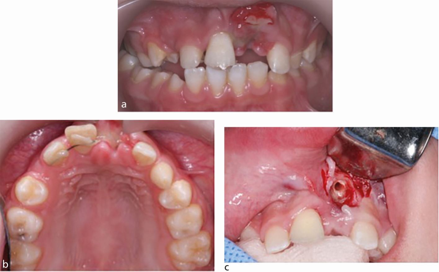
a, b, c) Dental trauma managed outside of guidelines following avulsion of the 11 and severe intrusion of the 21 in a growing child, leading to replacement-related resorption and the eventual decoronation of both teeth