Abstract
Dental trauma is the fifth most common condition affecting human beings worldwide. The dental team can expect to encounter traumatic dental injuries in everyday practice. Dental trauma guidelines guide practice and should be available to the dental team faced with an acute presentation of injury in a patient of any age. The management of dental trauma and the endodontic materials available for intervention of its complications are rapidly evolving. This paper provides an important update for the primary dental care team regarding the endodontic management of dental trauma.
Key points
-
Appropriate endodontic management of traumatic dental injuries has significant impact on prognosis and tooth survival.
-
Dental trauma is a common condition - the fifth most common of all conditions worldwide - and those who experience trauma frequently report poor outcomes and significant impact on quality of life.
-
Dental trauma management should remain at the forefront of practice for the entire team due to its prevalence, impact, complexity, and in recognition of how rapidly this area evolves in relation to evidence-based guidance and bioceramic materials.
-
Commissioners should continue to recognise the prevalence, impact and interventions necessary to optimally manage the complications of dental trauma.
Similar content being viewed by others
Introduction
The most common five conditions affecting human beings are:
-
1.
Caries
-
2.
Tension headaches
-
3.
Iron deficiency anaemia
-
4.
Hearing loss
- 5.
It has been estimated that almost one billion people in the world have experienced a TDI.3 TDIs are especially prevalent in children - up to a half experience TDIs to their primary teeth and one-third sustain trauma to their permanent teeth.3,4 The most common type of TDIs reported are uncomplicated crown fractures of the maxillary permanent incisors. Injuries to posterior teeth account for only 20% of all TDIs.5,6,7,8 Luxation injuries occur less frequently than fractures; however, when they do occur, complications are common.3 Only 10% of TDIs are described as complex, including avulsion, intrusion and crown-root fracture.4 Teeth may sustain a combination of injuries concurrently, with a negative, synergistic impact on prognosis.5 It has been estimated that by 50 years of age, 3.5% of adults have lost a tooth due to a TDI.6 There is strong evidence that tooth loss negatively impacts a person's quality of life.7,8
Appropriate management of the acute presentation of dental trauma has greater impact on prognosis than any other factor. Delay in treatment negatively impacts prognosis, and all those who might encounter TDIs are encouraged to keep up to date with knowledge in evolving therapies. This paper presents a summary of the complications that may arise following TDI, and considers the importance of appropriate endodontic management.
Presentation of TDIs
Patients will often first seek treatment for dental trauma in a primary care setting.9 It is reported that some general dental practitioners do not feel confident in the management of TDIs due to not routinely encountering complex cases in practice.10,11,12 There are key features of management of TDIs that apply in all situations (Box 1). The International Association of Dental Traumatology (IADT) make guidelines for the evaluation and management of TDIs available on their website (https://iadt-dentaltrauma.org/) it is highly recommended that readers refer to these and have them available in practice. These guidelines are supported by excellent illustrations and are recommended as the go-to resource for the management of dental trauma. Furthermore, ToothSOS is a user-friendly app created by IADT and linked for download via this website. The app is designed for both professionals and patients and contains advice about the prevention of trauma and immediate and long-term management.
Patients may sustain TDIs in conjunction with other injuries and may present to hospital services.13 Many emergency department health professionals have received little or no formal training in the assessment and triage of TDIs and subsequently report a lack of confidence in their management.14,15 Inappropriate acute and endodontic management and advice may lead to undesirable consequences, including damage to a developing permanent tooth, pulpal necrosis leading to avoidable pain and dental abscess, or resorption and loss of a permanent tooth. There is a need to enhance dental trauma teaching for all emergency department health professionals who encounter TDIs to increase their confidence and enable them to triage and advise patients appropriately, and to request the support of hospital dental services in complex cases. Additionally, improved signposting for families to their most appropriate local dental service could in turn improve outcomes and experiences for children who experience a TDI.11,16
In the case of complex TDIs referred to specialist or secondary dental services, a multidisciplinary approach is often indicated, which may include input from paediatric dentists, restorative dentists, endodontists, prosthodontists, periodontists, orthodontists and oral surgeons, depending on the age and presenting complaint of the patient. This multidisciplinary approach is especially important in cases of complex trauma, where the endodontic management can be challenging and the prognosis uncertain.17,18,19,20
Complications arising following TDIs
The incidence rate of complications following a TDI has been reported to range from 23-84%.21,22,23 Teeth which have sustained multiple episodes of a TDI are at a greater risk of complications (Box 2).24 Complication rates for TDIs have been evaluated for outcomes when the IADT guidelines have been followed, and it is worth noting that more favourable outcomes are observed in these cases compared to those when the guidelines are not followed.22 Patients who are informed of all potential outcomes from the time of injury may better appreciate the need for long-term follow-up and will be better prepared should symptoms arise.
Pulpal responses and reactions to TDIs
The pulpal response to a TDI varies dependent on the:
-
Type of injury
-
Amount of displacement of the tooth (and subsequently the neurovascular supply)
-
Amount of crushing or stretching of the neurovascular bundle at the apex
-
Degree of pulpal exposure
-
Experience of previous trauma
-
Experience of caries or previous restoration in the tooth
-
Delay in presentation
-
Patient compliance
The pulp can respond in a variety of ways following a TDI. The following might be expected depending on the above factors:
-
Full recovery and healing of the pulp
-
Tertiary dentine formation
-
Pulp necrosis
-
Pulp canal obliteration.
Pulpal necrosis is the most frequent complication occurring in approximately 34% of teeth that have sustained injury (Table 1).24
The clinical signs and symptoms of pulp necrosis to be aware of are:
-
Pain
-
Swelling
-
Presence of a sinus tract/localised swelling over the root of the tooth
-
Discolouration
-
Tenderness to palpation
-
Tenderness to percussion.
The radiographic signs of pulp necrosis to be aware of following a TDI are:
-
Increase in the periodontal ligament space
-
Presence of an apical radiolucency.
It is common practice to record two or more signs or symptoms of pulp necrosis in order to make a diagnosis. While the use of sensibility tests (eg a cold spray such as Frost and electric pulp testers) may be useful as a baseline, they do not represent an accurate reflection of the state of the pulp following acute trauma, nor in young children with immature apices. They are, however, useful to monitor possible disease progression and to corroborate the reported clinical and radiographic findings. Therefore, the results of testing should be recorded at every appointment; although, they should not be considered a strong indicator of pulp death following a TDI.
Management of the pulp following TDIs
In most cases, the pulp should be given a chance to heal and survive. There are, however, some injuries where endodontic treatment is indicated as part of the acute management. These include avulsion of mature permanent teeth, immature permanent teeth with an extended extra-oral dry time (>60 mins), intruded and severely luxated teeth, and complicated crown fractures where it has not been possible to achieve haemostasis when a pulpotomy is attempted. If root canal treatment is indicated soon after injury, this should be commenced without delay. Additionally, there are a few scenarios where endodontic treatment is prescribed to facilitate retention of a coronal restoration. This is usually associated with cervical-third root fractures and crown-root fractures that, by definition, have a poorer long-term prognosis. All other patients who have sustained a TDI should be placed onto a follow-up pathway to monitor signs and symptoms.
Pulp necrosis can be sterile (immediately following an avulsion) or infected.26 An infected pulp results from bacterial ingress which may be via infractions within the enamel/dentine, microleakage around existing restorations and through the root dentine. When there are bacteria in the root canal, this can damage the cementum and lead to inflammatory root resorption.28 It is important, therefore, to monitor traumatised teeth to allow for early detection and treatment of pulpal necrosis. Generally, apical resorption is due to bacterial infection within the root canal and in cases of intrusion where there is crushing of the apical tissues.
Pulp canal obliteration
Pulp canal obliteration (PCO) occurs due to the accelerated deposition of hard tissue within the pulp chamber and is evident in 3.5-64% of cases of TDI.29,30,31,32 Active deposition of tertiary dentine within the tooth aims to narrow the pulp chamber and reduce the risk of pulpal necrosis. PCO can cause discolouration which may cause aesthetic concerns and there is a risk of pulpal necrosis in 7-27% of cases.31 Prophylactic endodontic treatment is not advised in these discoloured teeth unless there are clear symptoms of periapical periodontitis.33 PCO and subsequent necrosis can prove challenging for the treating clinician to manage due to the reduced pulp space. Cone beam computed tomography (CBCT) investigation can be very helpful and referral to a specialist is often advised.
Root resorption
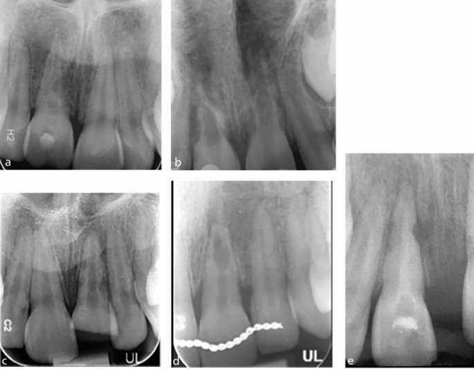
Root resorption is defined as the loss of dental hard tissue as a result of osteoclastic cell action.34 Several types of root resorption can occur following TDIs, including infection-related resorption, replacement-related resorption, cervical root resorption and surface resorption. Root resorption is being increasingly diagnosed by clinicians, most likely due to improved access to advanced means of diagnosis, such as CBCT, which is more likely to detect resorption than plain film radiographs.35,36 CBCT provides a comprehensive 3D evaluation of the site and is consistently useful for guiding a surgical approach and minimising iatrogenic damage, as well as identifying resorption. The most common type of root resorption following TDI is infection-related, followed by replacement-related.37 Infection-related resorption presents radiographically as a radiolucent lesion/s, whereas replacement resorption will present a more radio-opaque appearance where bony infill is apparent in resorptive defects and in direct contact with the root surface (Fig. 1).
Resorption can occur on the internal and external aspects of the root surface (Table 2). In infection-related resorption, damage to the protective superficial layer of cementum or predentine must occur in the presence of bacteria.38 Once it starts, the resorptive process will progress for as long as the root canal remains infected, which can result in loss of the whole root and subsequently tooth loss, and this can be rapid in children. Importantly, appropriate endodontic treatment to remove the necrotic pulp and to achieve a root canal rendered free from the presence of bacteria (by dressing with non-setting calcium hydroxide) can arrest the progression of the infection-related root resorption.28
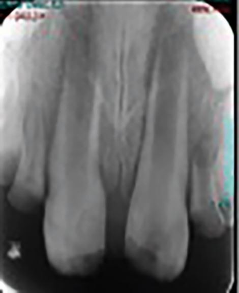
Replacement-related resorption is the pathological union of cementum or dentine of a tooth to the surrounding alveolar bone, commonly referred to as ankylosis.39 After ankylosis, a tooth becomes involved in the bone remodelling cycle and can be broken down by osteoclasts and replaced with bone by osteoblasts. Replacement-related resorption is a particular complication of teeth that have been avulsed and reimplanted, or that have suffered a severe intrusion injury.40 Teeth experiencing replacement-related resorption may have high percussion tone, reduced or no physiological mobility, loss of periodontal ligament space, and impaired discrimination between the lamina dura and root dentine. Failure of attempted orthodontic movement is also diagnostic.
If less than 20% of the tooth surface is involved, the ankylosis may only be a transient; however, if it is more established, there is no effective treatment.41 In a growing child, this situation leads to infraocclusion of the affected tooth, and arrest of vertical growth height of the alveolar ridge leading to an alveolar defect that may be difficult to restore prosthetically (Fig. 2). Children may present with tilting of the adjacent teeth due to continued growth and development of the adjacent teeth and alveolus compared to the ankylosed tooth and its related alveolus. This is a particular risk from the age of ten years until completion of the early teenage growth spurt. These cases should be referred for urgent specialist management. Management options are limited and often involve decoronation (to preserve the alveolar bone until adulthood when advanced restorative options can be considered) or tooth loss (extraction may be destructive and leave a residual vertical bony defect) (Fig. 3).
Cervical root resorption is an aggressive form of external root resorption, which is relatively uncommon. It presents as a localised area of resorption that occurs in the zone of connective tissue attachment. The dental pulp plays no part in this type of resorption and is mostly normal unless the resorption has progressed to a very late stage.42
Surface resorption is a self-limiting phenomenon. It may be noted as an altered root contour involving the cementum and dentine, and no intervention is necessary.43
Tooth discolouration
Teeth that have sustained a TDI can discolour as a result of injury or intervention. Tooth discolouration can impact a person's self-confidence, perceived physical attractiveness and employment prospects, and may lead to negative social judgement between children.44,45 The colour of a traumatised tooth will be impacted by the pathological process occurring within the tooth. Pulpal necrosis can result in a grey discolouration occurring due to haemolysis of red blood cells and pulpal remnants within the tooth, which can penetrate the dentinal tubules.46,47 Discolouration is often noted at 4-24 months post-injury.48 PCO can result in a yellow hue due to the extra deposition of dentine within the tooth.31 Cervical root resorption is noted as a pinkish hue developing in the cervical region due to the presence of vascular tissue.34 Tooth discolouration following a TDI may also be transient due to temporary disruption of the blood supply to the tooth, or permanent, and may follow intervention eg resulting from bismuth oxide in mineral trioxide aggregate.43,49
Management of immature teeth following a TDI
Recovery and healing of the pulp (revascularisation) is more likely in immature teeth with open apices. Pulp necrosis in immature permanent teeth can result in cessation of root development with a resultant weakened root, apical inflammation, inflammatory root resorption, and apical bone loss. Immature roots are fragile and susceptible to root fracture, even to mild forces in the future. Recent developments and research in paediatric dentistry and endodontics have aimed to progress the potential of regenerative endodontic procedures.50,51,52 There is much to learn about the nature of the vital tissues that might be regenerated, the optimal tissue scaffold that might be required, and the ideal disinfection strategy to support success. It is largely agreed that regenerative endodontic procedures may develop to offer an improved prognosis where there has been careful case selection of immature traumatised teeth. Such cases include patients aged 7-9 years, when the root walls may be especially thin and susceptible to fracture, even in the presence of apical root end closure procedures with hydraulic calcium silicate cements (Fig. 4).53 The management of the child who has experienced complex dental trauma is often best guided by a specialist in paediatric dentistry, with the primary dental care practitioner providing invaluable support.
Use of hydraulic calcium silicate cements (bioceramics) in the management of TDIs
Hydraulic calcium silicate cements are products with several properties which make them beneficial for the management of necrotic teeth following a TDI. These materials are indicated to be used for the following procedures:
-
Pulp capping and pulpotomy - in appropriate cases of pulp exposure, a biocompatible bioceramic with excellent sealing properties can be used with the aim of maintaining vitality and promoting apexogeneis54,55
-
Apexification in immature teeth with open apices and management of resorptive defects - hydraulic calcium silicate cements are commonly used because of their excellent sealing properties and ability to stimulate periapical healing and root end closure. The materials are not sensitive to moisture during setting, making them suitable for procedures where moisture control can be challenging56
-
Regenerative endodontic procedures - the sealing material is in direct contact with a blood clot so needs to be able to tolerate moisture and be biocompatible, bioactive and antimicrobial. Hydraulic calcium silicate cements are bioactive as they stimulate the deposition of hard tissue and promote dentine bridge formation.56 Silicon ions induce osteoblast proliferation and gene expression by involvement in metabolism, collagen synthesis, bone mineralisation, and connective tissue crosslinking57
-
Endodontic treatment - hydraulic calcium silicate-based sealers can be used for their ability to form an antibacterial, hermetic seal with excellent biocompatibility and high pH. High alkalinity inhibits the growth of microorganisms and disinfects dentine.58 They can be used with the single-cone technique which is efficient for the operator.
Conclusion
Dental trauma is common and commonly presents to primary dental care. Appropriate endodontic management of dental trauma has signficiant impact on prognosis and tooth survival. Multidisciplinary working, including the primary dental care team, is invaluable for the optimal recognition, diagnosis, referral and the endodontic management of TDIs.
References
Petti S, Glendor U, Andersson L. World traumatic dental injury prevalence and incidence, a meta-analysis - one billion living people have had traumatic dental injuries. Dent Traumatol 2018; 34: 71-86.
Abbott P. Traumatic dental injuries are now the 5th most prevalent disease/injury in the world - but are they being neglected!! Dent Traumatol 2018; 34: 383.
Andreasen J O. Tooth and bone loss related to dental trauma. In Koch G, Bergendal T, Kvint S, Johannson U-B (eds) Consensus conference on oral implants in young patients. pp 40-45. Stockholm: Fƶrlagshuset Gothia, 1996.
Brunner F, Krastl G, Filippi A. Dental trauma in adults in Switzerland. Dent Traumatol 2009; 25: 181-184.
Lauridsen E, Hermann N V, Gerds T A, Kreiborg S, Andreasen J O. Pattern of traumatic dental injuries in the permanent dentition among children, adolescents, and adults. Dent Traumatol 2012; 28: 358-363.
Locker D. Self-reported dental and oral injuries in a population of adults aged 18-50 years. Dent Traumatol 2007; 23: 291-296.
Gerritsen A E, Allen P F, Witter D J, Bronkhorst E M, Creugers N H J. Tooth loss and oral health-related quality of life: a systematic review and meta-analysis. Health Qual Life Outcomes 2010; 8: 126.
Rashid H, Vohra F, Lillywhite G R. Restorative rehabilitation in a patient with sports trauma. Eur J Dent 2016; 10: 571-578.
Traebert J, Traiano M L, ArmĆŖnio R, Barbieri D B, de Lacerda J T, Marcenes W. Knowledge of lay people and dentists in emergency management of dental trauma. Dent Traumatol 2009; 25: 277-283.
Jackson N G, Waterhouse P J, Maguire A. Management of dental trauma in primary care: a postal survey of general dental practitioners. Br Dent J 2005; 198: 293-297.
Heggie C, Gallichan N, Gartshore L. Traumatic and non-traumatic dental presentations to the paediatric emergency departments of two UK children's hospitals: a multi-centre evaluation. Int J Paediatr Dent 2022; 32: 90-100.
Hamilton F A, Hill F J, Holloway P J. An investigation of dento-alveolar trauma and its treatment in an adolescent population. Part 2: dentists' knowledge of management methods and their perceptions of barriers to providing care. Br Dent J 1997; 182: 129-133.
Gassner R, Bƶsch R, Tuli T, Emshoff R. Prevalence of dental trauma in 6000 patients with facial injuries Implications for prevention. Oral Surg Oral Med Oral Pathol Oral Radiol Endod 1999; 87: 27-33.
Trivedy C, Kodate N, Ross A et al. The attitudes and awareness of emergency department (ED) physicians towards the management of common dentofacial emergencies. Dent Traumatol 2012; 28: 121-126.
Gallichan N, Albadri S, Watkins F et al. Management of traumatic dental injuries: a survey of paediatric emergency department health professionals. BMJ Paediatr Open 2023; DOI: 10.1136/bmjpo-2022-001740.
Morgan E, Fox K, Jarad F, Albadri S. An investigation of transitional care pathways for young people following traumatic dental injuries. Br Dent J 2021; DOI: 10.1038/s41415-021-3471-4.
Sharma S, Mittal N. Multidisciplinary approach for esthetic management of crown-root fracture: orthodontic extrusion and prosthetic rehabilitation. J Interdiscip Dent 2017; 7: 38-40.
Kupietzky A, Rotstein I, Kischinovsky D. A multidisciplinary approach to the treatment of an intruded maxillary permanent incisor complicated by the presence of two mesiodentes. Pediatr Dent 2000; 20: 499-503.
Sharma D, Garg S, Sheoran N, Swami S, Singh G. Multidisciplinary approach to the rehabilitation of a tooth with two trauma episodes: systematic review and report of a case. Dent Traumatol 2011; 27: 321-326.
Esposito M, Grusovin M G, Felice P, Polyzos I P, Worthington H V. Timing of implant placement after tooth extraction: immediate, immediate-delayed or delayed implants? A Cochrane systematic review Eur J Oral Implant 2010; 3: 189-205.
Sandalli N, Cildir S K, Guler N. Clinical investigation of traumatic injuries in Yeditepe University during the last 3 years. Dent Traumatol 2005; 21: 188-194.
Bücher K, Neumann C, Thiering E, Hickel R, Kühnisch J. Complications and survival rates of teeth after dental trauma over a 5-year period. Clin Oral Investig 2013; 17: 1311-1318.
Petrovic B, MarkoviÄ D, Peric T, Blagojevic D. Factors related to treatment and outcomes of avulsed teeth. Dent Traumatol 2010; 26: 52-59.
Lin S, Pilosof N, Karawani M, Wigler R, Kaufman A Y, Teich S T. Occurrence and timing of complications following traumatic dental injuries: a retrospective study in a dental trauma department. J Clin Exp Dent 2016; 8: 429-436.
Abbott P V, Salgado S C. Strategies to minimise the consequences of trauma to the teeth. Oral Health Dent Manag 2014; 13: 229-242.
Yu C Y, Abbott P V. Responses of the pulp, periradicular and soft tissues following trauma to the permanent teeth. Aust Dent J 2016; 61: 39-58.
Kling M, Cvek M, Mejare I. Rate and predictability of pulp revascularisation in therapeutically replanted permanent incisors. Endod Dent Traumatol 1986; 2: 83-89.
Abbott P V. Prevention and management of external inflammatory resorption following trauma to teeth. Aust Dent J 2016; 61: 82-94.
Jacobsen I, Kerekes K. Long-term prognosis of traumatized permanent anterior teeth showing calcifying processes in the pulp cavity. Eur J Oral Sci 1977; 85: 588-598.
Andreasen F M, Zhije Y, Thomsen B L, Andersen P K. Occurrence of pulp canal obliteration after luxation injuries in the permanent dentition. Endod Dent Traumatol 1987; 3: 103-115.
McCabe P S, Dummer P M H. Pulp canal obliteration: an endodontic diagnosis and treatment challenge. Int Endod J 2012; 45: 177-197.
Bastos J V, Cortes M I S. Pulp canal obliteration after traumatic injuries in permanent teeth - scientific fact or fiction? Braz Oral Res 2018; DOI: 10.1590/1807-3107bor-2018.vol32.0075.
Robertson A, Andreasen F M, Bergenholtz G, Andreasen J O, NorƩn J G. Incidence of pulp necrosis subsequent to pulp canal obliteration from trauma of permanent incisors. J Endod 1996; 22: 557-560.
Patel S, Ford T P. Is the resorption external or internal? Dent Update 2007; 34: 218-229.
Chen S S, Greenlee G M, Kim J-E, Smith C L, Huang G J. Systematic review of self-ligating brackets. Am J Orthod Dentofac Orthop 2010; 137: 726.
Consolaro A. External cervical resorption: diagnostic and treatment tips. Dent Press J Orthod 2016; 21: 19-25.
De Souza B D M, Dutra K L, Reyes-Carmona J et al. Incidence of root resorption after concussion, subluxation, lateral luxation, intrusion, and extrusion: a systematic review. Clin Oral Investig 2020; 24: 1101-1111.
Trope M. Clinical management of the avulsed tooth: present strategies and future directions. Dent Traumatol 2002; 18: 1-11.
Andersson L, Blomlƶf L, Lindskog S, Feiglin B, Hammarstrƶm L. Tooth ankylosis: clinical, radiographic and histological assessments. Int J Oral Surg 1984; 13: 423-431.
Campbell K M, Casas M J, Kenny D J. Ankylosis of traumatized permanent incisors: pathogenesis and current approaces to diagnosis and management. J Can Dent Assoc 2005; 71: 763-768.
Fuss Z, Tsesis I, Lin S. Root resorption - diagnosis, classification and treatment choices based on stimulation factors. Dent Traumatol 2003; 19: 175-182.
Tronstad L. Root resorption - etiology, terminology and clinical manifestations. Endod Dent Traumatol 1988; 4: 241-249.
Heithersay G S. Management of tooth resorption. Aust Dent J 2007; 52: 105-121.
Kelleher M G, Roe F J. The safety-in-use of 10% carbamide peroxide (Opalescence) for bleaching teeth under the supervision of a dentist. Br Dent J 1999; 187: 190-194.
Al Khayyal M, Al Halabi M, Hussein I et al. How do schoolchildren view other children who have discolored teeth? J Int Soc Prev Community Dent 2021; 11: 340-347.
Gbadebo S O, Ajayi D M. Self reported tooth discolorations among patients seen at Dental Center University College Hospital Ibadan. J West Afr Coll Surg 2015; 5: 66-77.
Auslander W P. Discoloration, a traumatic sequela. N Y State Dent J 1967; 33: 534-538.
Oginni A O, Adekoya-Sofowora C A. Pulpal sequelae after trauma to anterior teeth among adult Nigerian dental patients. BMC Oral Health 2007; 7: 11.
Gartshore L, Albadri S, Jarad F D, Fox K. Subjective and objective colour change outcomes: results of a randomised clinical trial to compare regenerative endodontic procedures versus MTA apexification. International Association of Paediatric Dentistry Conference Chile 2017. 2017.
Wei X, Yang M, Yue L et al. Expert consensus on regenerative endodontic procedures. Int J Oral Sci 2022; 14: 55.
Murray P E. Review of guidance for the selection of regenerative endodontics, apexogenesis, apexification, pulpotomy, and other endodontic treatments for immature permanent teeth. Int Endod J 2023; 56: 188-199.
Krastl G, Weiger R, Filippi A et al. European Society of Endodontology position statement: endodontic management of traumatized permanent teeth. Int Endod J 2021; 54: 1473-1481.
American Association of Endodontists. Treatment standards. 2020. Available at https://www.aae.org/specialty/wp-content/uploads/sites/2/2018/04/TreatmentStandards_Whitepaper.pdf (accessed March 2025).
Chen I, Salhab I, Setzer F, Kim S, Nah H-D. A new calcium silicate-based bioceramic material promotes human osteo- and odontogenic stem cell proliferation and survival via the extracellular signal-regulated kinase signaling pathway. J Endod 2016; 42: 480-486.
Antunes H S, Gominho L F, Andrade-Junior C V et al. Sealing ability of two root-end filling materials in a bacterial nutrient leakage model. Int Endod J 2016; 49: 960-965.
Prati C, Gandolfi M G. Calcium silicate bioactive cements: biological perspectives and clinical applications. Dent Mater 2015; 31: 351-370.
Huang Y, Jin X, Zhang X et al. In vitro and in vivo evaluation of akermanite bioceramics for bone regeneration. Biomaterials 2009; 30: 5041-5048.
Hiremath G S, Kulkarni R D, Naik B D. Evaluation of minimal inhibitory concentration of two new materials using tube dilution method: an in vitro study. J Conserv Dent 2015; 18: 159-162.
Author information
Authors and Affiliations
Contributions
LG, TH and SD contributed equally to the text from their areas of expertise and research. The corresponding author had responsibility for the content, images and submission.
Corresponding author
Ethics declarations
The authors declare no conflicts of interest.
Rights and permissions
Open Access. This article is licensed under a Creative Commons Attribution 4.0 International License, which permits use, sharing, adaptation, distribution and reproduction in any medium or format, as long as you give appropriate credit to the original author(s) and the source, provide a link to the Creative Commons licence, and indicate if changes were made. The images or other third party material in this article are included in the article's Creative Commons licence, unless indicated otherwise in a credit line to the material. If material is not included in the article's Creative Commons licence and your intended use is not permitted by statutory regulation or exceeds the permitted use, you will need to obtain permission directly from the copyright holder. To view a copy of this licence, visit http://creativecommons.org/licenses/by/4.0.Ā© The Author(s) 2025.
About this article
Cite this article
Gartshore, L., Haq, T. & Djemal, S. Endodontic implications of dental trauma: useful tips for primary dental care. Br Dent J 238, 545ā550 (2025). https://doi.org/10.1038/s41415-025-8501-1
Received:
Revised:
Accepted:
Published:
Version of record:
Issue date:
DOI: https://doi.org/10.1038/s41415-025-8501-1






