Fig. 4
From: Endodontic implications of dental trauma: useful tips for primary dental care

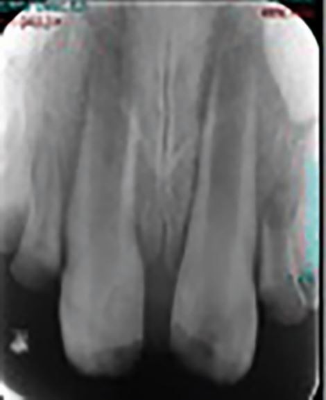
Teeth that are traumatised and subsequently experience pulpal necrosis and apexogenesis in young children might have very immature roots that are susceptible to fracture. Regenerative endodontic procedures are evolving to provide a possible improved prognosis for these cases in the future