Abstract
Transient apical breakdown (TAB) may occur during pulp repair after dental traumatic injury, including orthodontic force. Herein, we describe TAB in the maxillary right central incisor of a 24-year-old woman during orthodontic treatment for a severe gummy smile. Eight months after initiating intrusion of the maxillary anterior teeth using temporary anchorage devices, the maxillary right central incisor showed discoloration and was non-responsive to electric pulp tests. The orthodontic force on the maxillary anterior teeth was immediately removed, and loxoprofen sodium, a non-steroidal anti-inflammatory drug (NSAID), was administered three times a day for seven days. Six months after removal of the orthodontic force, the crown colour improved and the tooth regained sensitivity to electric pulp testing. Therefore, orthodontic treatment was resumed and was completed two years after initiation. Obliteration of the root canal of the maxillary right central incisor was observed during a four-year-retention period. The findings in this case suggest that removal of orthodontic force and administration of NSAIDs are possibly useful for improving TAB following traumatic pulp injury due to orthodontic treatment.
Key points
-
Continuous heavy orthodontic forces can lead to pulp traumatic pulp injury.
-
Transient apical breakdown (TAB) sometimes occurs during orthodontic treatment.
-
Removal of orthodontic force is necessary and a non-steroidal anti-inflammatory drug is possibly useful for improving TAB following traumatic pulp injury due to orthodontic treatment.
Similar content being viewed by others
Introduction
During orthodontic tooth movement, the apical dental pulp tissue shows several biological reactions. Orthodontic force is a type of trauma, and the apical pulp tissue is easily injured during orthodontic tooth movement. McDonald showed that pulpal blood flow decreases with the application of continuous orthodontic tipping forces.1 Similarly, Miura reported that continuous heavy orthodontic forces can lead to pulp necrosis due to the rupture of blood vessels in the root apex.2 Furthermore, apical root resorption is more frequently observed in vital teeth than in non-vital teeth.3,4 Thus, excessive orthodontic force may induce apical root resorption and pulp necrosis owing to inflammation of the apical pulp tissue.
Transient apical breakdown (TAB) may occur during pulp repair within one year after dental trauma,5 as well as during orthodontic treatment.6 In such cases, a periapical radiolucency and tooth crown discoloration are observed. However, endodontic treatment is not needed because the crown colour improves, and sensitivity to pulp testing is spontaneously restored,7 and usually, root canal obliteration is frequently noted during the observation period.5 The incidence of TAB after trauma is not high. In a study of 637 luxated teeth, Andreasen reported that the incidence of TAB was 4.2% and that TAB was likely to occur in patients aged <20 years.5 Another study reported that administration of loxoprofen, which is a non-steroidal anti-inflammatory drug (NSAID), improved non-infectious inflammation of the apical pulp tissue during orthodontic tooth movement in rats.8 Herein, were report a case of TAB during orthodontic intrusion of the maxillary central incisor in an adult patient that improved with administration of loxoprofen sodium.
Case presentation
Patient
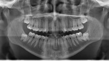
The patient was a 24-year-old woman with a chief complaint of a gummy smile. Although orthognathic surgery was previously recommended, the patient refused to undergo surgery. The pre-treatment smiling facial photograph revealed excessive gingival display (Fig. 1A). Intra-oral photographs revealed a Class I molar relationship, deep overbite, and congenitally missing mandibular right lateral incisor (Fig. 1B). A panoramic radiograph showed existence of all third molars except the maxillary right third molar (Fig. 1C). Accordingly, the patient was diagnosed with a severe deep bite with a gummy smile and missing mandibular right lateral incisor.
Treatment plan
The treatment plan was as follows:
-
1.
Placement of temporary anchorage devices (TADs) between the maxillary lateral incisors and canines to intrude the maxillary anterior teeth
-
2.
Opening the space between the mandibular right central incisor and canine
-
3.
Prosthetic treatment for the missing mandibular right lateral incisor.
Before initiating orthodontic treatment, informed consent was obtained from the patient.
Treatment progress
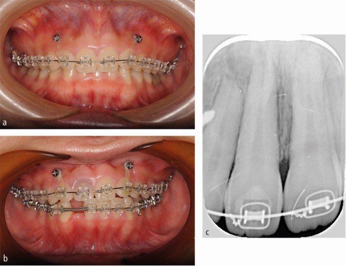
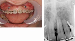
For orthodontic treatment, 0.018-inch standard edgewise brackets were bonded on the maxillary teeth. Two self-drilling TADs (diameter, 1.6 mm; length, 8 mm; Dual Top Auto Screw; Jeil Medical Corp, South Korea) were inserted into the buccal alveolar bone between the maxillary lateral incisors and canines to intrude the maxillary anterior teeth using an elastic chain. Before completion of opening the bite, positive crown torque of the upper incisors was achieved by torque moment generated with intruded force (Fig. 2A). After opening the bite, brackets were bonded on the mandibular teeth to create space between mandibular right central incisor and canine. However, after 12 months of intrusion, the crown of the maxillary right central incisor showed grey discoloration and a negative response to electric pulp tests (Fig. 2B). Furthermore, the patient reported severe spontaneous pain only in this tooth two days before visiting our clinic. However, no significant radiographic change was observed around the root apex of the maxillary right central incisor. Notably, moderate apical root resorption was observed in the maxillary right lateral incisor by the dental x-ray (Fig. 2C). From these symptoms, we thought traumatic pulp injury occurred on the right central incisor. Therefore, we removed the orthodontic force on the maxillary incisors with passive wire ligations between TADs and the upper canines, and 60 mg of loxoprofen sodium was administered three times a day for seven days. No more intrusion force to the upper incisors was applied because opening the bite had been completed. Six months after stopping orthodontic treatment, resolution of the crown discoloration was observed and the response to electric pulp testing was restored (Fig. 3A). Periapical radiography revealed a distinct radiolucency at the root apex (Fig. 3B). Two years after initiation of orthodontic treatment, the patient's gummy smile and overbite were corrected with a good intercuspal relationship. The missing mandibular right lateral incisor was replaced by direct bonding (Fig. 4A, Fig. 4B). Follow-up at four years after beginning of retention revealed stable smile aesthetics and tooth positions (Fig. 4C, Fig. 4D). Periapical radiographs showed marked root canal obliteration in the maxillary right central incisor and remodelling of the root apex in the maxillary right lateral incisor (Fig. 4E). The wire sequence used in this case is shown in Table 1.
(A) Intrusion of the maxillary anterior teeth using an elastic chain from temporary anchorage devices. (B) Intra-oral photograph 12 months after anterior teeth intrusion. The crown of the maxillary right central incisor showed discoloration. (C) Dental x-ray immediately after discoloration of the crown
(A) Post-treatment smiling facial photograph. (B) Post-treatment intra-oral photographs. (C) Smiling facial photograph four years after retention. (D) Intra-oral photographs four years after retention. (E) Dental x-ray at four years after retention. Marked root canal obliteration in the maxillary right central incisor and remodelling of the root apex in the maxillary right lateral incisor were shown
Discussion
Studies describing TAB during orthodontic treatment are scarce,9 and the mechanism of TAB is not completely clarified. However, orthodontic tooth movement likely induces non-infectious inflammation of the apical pulp tissue. McDonald reported that continuous orthodontic tipping forces caused a decrease in the pulpal blood flow.1 Miura showed that pulp necrosis occurred under continuous heavy orthodontic forces due to rupture of blood vessels in the root apex.2 Moreover, the pulp tissue in the root apex plays an essential role in the incidence of inflammatory periapical root resorption during orthodontic tooth movement.10 Tsukiboshi suggested the following mechanism for TAB.11 Immediately after trauma, the apical blood vessels rupture, and ischemic pulp necrosis is induced. Next, pulp necrosis causes non-infectious inflammation in the apical pulp tissue with periapical alveolar bone and root resorption. Several months after trauma, the foramen of the root apex expands because of inflammatory apical root resorption, followed by recovery of the periapical blood vessels. Finally, the pulp tissue shows obliteration several years after trauma. This sequence of pulp healing was distinctly observed in our patient. Interestingly, TAB in the maxillary right central incisor and mild apical root resorption in the maxillary right lateral incisor occurred spontaneously in our patient. These findings strongly suggested that both TAB and apical root resorption during orthodontic tooth movement are caused by the same inflammatory periapical reaction. Similar inflammatory reactions were observed in the root apex during orthodontic tooth movement in animal studies. Yamamoto showed that the expression of interleukin-1β, receptor activator of nuclear factor kappa-B ligand, tumour necrosis factor-α, and macrophage colony-stimulating factor in the apical pulp tissue increased after orthodontic tooth movement in rats.8 Interestingly, these inflammatory reactions decreased with loxoprofen or acetaminophen administration.8,12 Ersahan reported that pulpal blood flow decrease during orthodontic tooth movement in older patients was more severe and persisted for a longer duration than that in younger patients.13 Similarly, Andreasen reported that TAB is more likely to occur in patients aged <20 years.5 Considering these findings, we prescribed 60 mg of loxoprofen sodium three times a day for seven days and removed the orthodontic force immediately after the appearance of crown discoloration in the maxillary right central incisor to improve TAB. Consequently, the crown colour improved and sensitivity to electric pulp testing returned after six months. The findings in this case suggest that removal of orthodontic force is the first-line treatment to improve TAB during orthodontic treatment, and NSAIDs may help improve non-infectious pulpal inflammation, even in older patients.
Conclusion
The findings in this case suggest that both TAB and apical root resorption during orthodontic tooth movement are caused by periapical inflammation. Removal of orthodontic force and administration of NSAIDs may improve TAB after traumatic pulp injury due to orthodontic treatment.
References
McDonald F, Pitt Ford T R. Blood flow changes in permanent maxillary canines during retraction. Eur J Orthod 1994; 6: 1–9.
Miura F. Effect of orthodontic force on blood circulation in periodontal membrane. In Cook J T (ed) Transactions of Third International Orthodontics Congress. pp 35–41. London: Granada Publishing Limited, 1973.
Remington D N, Joondeph D R, Artun J, Riedel R A, Chapko M K. Long-term evaluation of root resorption occurring during orthodontic treatment. Am J Orthod Dentofacial Orthop 1989; 96: 43–46.
Spurrier S W, Hall S H, Joondeph D R, Shapiro P A, Riedel R A. A comparison of apical root resorption during orthodontic treatment in endodontically treated and vital teeth. Am J Orthod Dentofacial Orthop 1990; 97: 130–134.
Andreasen F M. Transient apical breakdown and its relation to color and sensibility changes after luxation injuries to teeth. Endod Dent Traumatol 1986; 2: 9–19.
Ashworth-Davies G, Johnson E L, Sharma P K. Transient apical breakdown associated with clear aligner therapy: a case report. Br Dent J 2025; 238: 29–32.
Cohenca N, Karni S, Rotstein I. Transient apical breakdown following tooth luxation. Dent Traumatol 2003; 19: 289–291.
Yamamoto T, Kaku M, Sumi H, Yashima Y, Izumino Z, Tanimoto K. Effects of loxoprofen on the apical root resorption during orthodontic tooth movement in rats. PLos One 2018; DOI: 10.1371/journal.pone.0194453.
Zhu Z. Transient apical breakdown of a discolored maxillary central incisor during orthodontic treatment: a case report. Aust Endod J 2023; 49(Suppl1): 476–480.
Kaku M, Sumi H, Shikata H et al. Effects of pulpectomy on the amount of root resorption during orthodontic tooth movement. J Endod 2014; 40: 372–378.
Tsukiboshi M, Berlin-Broner Y, Levin L. Transient apical breakdown: incidence, pathogenesis, and healing. Dent Traumatol 2025; 41(Suppl1): 72–79.
Kaku M, Yamamoto T, Yashima Y et al. Acetaminophen reduces apical root resorption during orthodontic tooth movement in rats. Arch Oral Biol 2019; 102: 83–92.
Ersahan S, Sabuncuoglu F A. Effect of age on pulpal blood flow in human teeth during orthodontic movement. J Oral Sci 2018; 60: 446–452.
Acknowledgements
Thanks to Dr Niki and Dr Iyama who provided the figure data. We would like to thank Editage (www.editage.jp) for English language editing.
Author information
Authors and Affiliations
Contributions
MK, SS, YM, TT, TM, HN all made substantial contributions to the manuscript. This includes conceptualisation, methodology, validation, investigation, resources, writing the original draft, reviewing, and editing. All authors have read and approved the final version of the manuscript.
Corresponding author
Ethics declarations
The authors declare no conflicts of interest. Written consent for publication of this case was obtained from the patient.
Rights and permissions
Springer Nature or its licensor (e.g. a society or other partner) holds exclusive rights to this article under a publishing agreement with the author(s) or other rightsholder(s); author self-archiving of the accepted manuscript version of this article is solely governed by the terms of such publishing agreement and applicable law.
About this article
Cite this article
Kaku, M., Shimoe, S., Mine, Y. et al. Transient apical breakdown during orthodontic incisor intrusion treated with non-steroidal anti-inflammatory drugs: a case report. Br Dent J 239, 774–777 (2025). https://doi.org/10.1038/s41415-025-9103-7
Received:
Revised:
Accepted:
Published:
Version of record:
Issue date:
DOI: https://doi.org/10.1038/s41415-025-9103-7






