Fig. 1

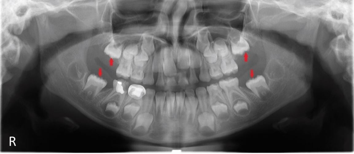
Panoramic radiograph of the eight-year-old patient showing the uneruption of all first permanent molars. Red arrows indicate the development of first permanent molars (16, 26, 36, 46)

Panoramic radiograph of the eight-year-old patient showing the uneruption of all first permanent molars. Red arrows indicate the development of first permanent molars (16, 26, 36, 46)