Delayed eruption of first permanent molars (FPMs) can mimic agenesis, posing diagnostic challenges in paediatric dentistry. Genuine agenesis of FPMs is exceptionally rare, typically associated with syndromes or severe oligodontia, with only one reported case of isolated quadruple absence dating to 1943.1 We present a rare instance of simultaneous delayed eruption of all four FPMs in an otherwise healthy child, highlighting the role of radiographic staging in accurate diagnosis.
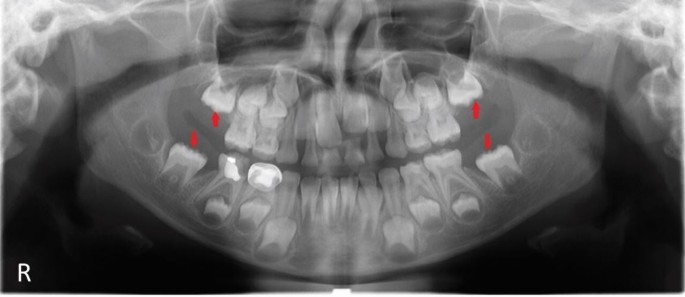
An eight-year-old girl (precise age: eight years zero months) presented with clinical absence of all four FPMs (16, 26, 36, 46). Medical and family histories were unremarkable, with no prior extractions. Panoramic radiography (Fig. 1) revealed delayed FPM development with atypical distal positioning relative to primary second molars. Using Nolla's classification, the marked teeth showed root development at stage 7, similar to premolars, while distal crypts were at stages 3 (right mandible), 2 (left mandible), and 0 (maxilla), initially suggesting second or third molars.2 However, this pattern was inconsistent with normal eruption.
A conservative monitoring approach was adopted. At eight-month follow-up (precise age: eight years eight months), the mandibular right FPM (46) had erupted clinically. Repeat radiography (Fig. 2) demonstrated accelerated development of the marked teeth compared to premolars at Nolla stage 7, confirming they were delayed FPMs rather than second molars. The remaining FPMs showed crowns positioned submucosally above the alveolar crest, with anticipated natural eruption.
This case underscores the rarity of genuine FPM agenesis. Permanent molars are developmentally stable and unlikely to be congenitally absent without broader anomalies.1,3 Delayed eruption, influenced by multifactorial aetiologies (though none identified here), created an illusion of absence.4 Radiographic analysis and developmental staging prevented misdiagnosis, averting unnecessary interventions like prosthetics. Clinicians should prioritise serial radiography when multiple FPMs appear missing, even in asymptomatic patients, to distinguish delayed eruption from agenesis.5,6
The patient's prognosis is excellent, with long-term monitoring ensuring occlusal development. This report emphasises meticulous evaluation of apparent dental anomalies.
References
Anthonappa R, Yiu C, King N. Agenesis of maxillary permanent first molars: Literature review and two case reports. Pediatr Dent J 2009; 19: 228–233.
Dakhno L, Malashenko N, Lykhota K. Prevalence of delayed tooth eruption of permanent maxillary anterior teeth among Ukrainian children: retrospective radiographic study using CBCT data. Ukr Dent J 2023; 2: 61–70.
Bilge N H, Yeşiltepe S, Ağirman K T, Çağlayan F, Bilge O M. Investigation of prevalence of dental anomalies by using digital panoramic radiographs. Folia Morphol (Warsz) 2018; 77: 323–328.
Jain A, Sisodia S, Rana K S, Gupta C, Ansari I, Dholakia P P. The study of prevalence and distribution of shape anomalies of teeth in Indian population on the basis of age and gender. Cureus 2022; DOI: 10.7759/cureus.28532.
Voronkova H V, Smagliuk L V, Karasiunok A Y. Etiopathogenesis and diagnostics of the mandibular permanent first molars retention. Med Ecol Probl 2019; 23: 41–45.
Park S, Kim H, Song J, Shin T J, Kim Y, Hyun H. A retrospective clinical investigation of delayed eruption of premolars in the mandible. J Korean Acad Pediatr Dent 2023; 50: 469–482.
Author information
Authors and Affiliations
Corresponding authors
Rights and permissions
About this article
Cite this article
Kheir, M., Biabani, M., Kashiri, A. et al. Quadruple delayed eruption mimicking agenesis. Br Dent J 239, 602 (2025). https://doi.org/10.1038/s41415-025-9331-x
Received:
Accepted:
Published:
Version of record:
Issue date:
DOI: https://doi.org/10.1038/s41415-025-9331-x

