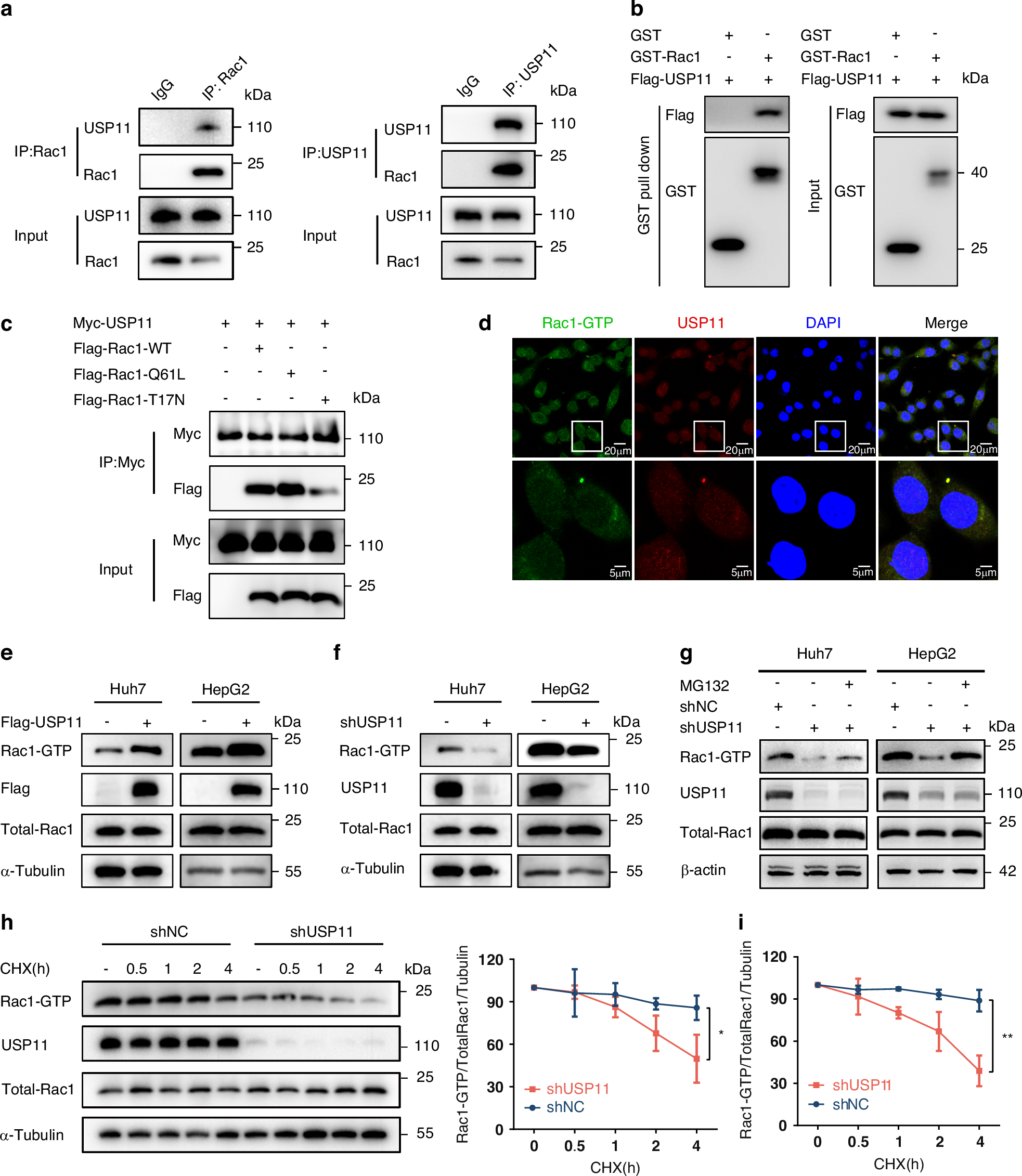
Fig. 3: USP11 directly interacts with Rac1 and stabilizes Rac1-GTP.

a Co-immunoprecipitation analysis of the interaction between endogenous USP11 and Rac1 in Huh7 cells. b GST pulldown analysis using purified bacteria-expressed GST-Rac1 protein and Flag-USP11 were performed in the presence of GTP. c Co-immunoprecipitation analysis in HEK293T cells expressing the indicated Flag-Rac1proteins. d Confocal microscopy was used to analyze the expression of USP11 (red) and Rac1-GTP (green) in Huh7 cells, and nuclei were stained with DAPI (blue). Scale bar, 20 µm. e The levels of Rac1-GTP and Rac1 in Huh7 and HepG2 cells with or without USP11 overexpression. f The levels of Rac1-GTP and Rac1 in Huh7 and HepG2 cells with or without USP11 knockdown. g The levels of Rac1-GTP and Rac1 in indicated cells. MG-132 (10 μM) were added for 4 h. h Rac1 and Rac1-GTP levels in HepG2 cells with or without USP11 knockdown followed by treatment with CHX (10 µM) for the indicated times. i Rac1 and Rac1-GTP levels in Huh7 cells with or without USP11 knockdown followed by treatment with CHX (10 µM) for the indicated times.