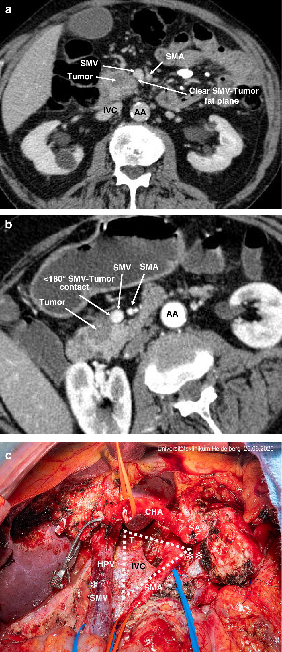
Fig. 1: Preoperative co-axial imaging by CT demonstrating the distinction between resectbale (EmR) and borderline (EmBR) PDAC, and the key features of the TRIANGLE operation.
From: New implications from long-term outcomes of perioperative therapy in resectable pancreatic cancer

a CT image of resectable cancer in the head of the pancreas. b CT image of borderline resectable cancer in the head of the pancreas. c Surgical site after partial pancreato-duodenectomy with venous resection, triangle dissection and splenorenal shunt for borderline rectable disease following induction chemotherapy disease. AA abdominal aorta, CHA common hepatic artery, SMA superior mesenteric artery, HPV hepatic portal vein, SMV superior mesenteric vein, SA splenic artery, IVC inferior vena cava, * hepatic portal vein resection, ** splenorenal shunt, T triangle.