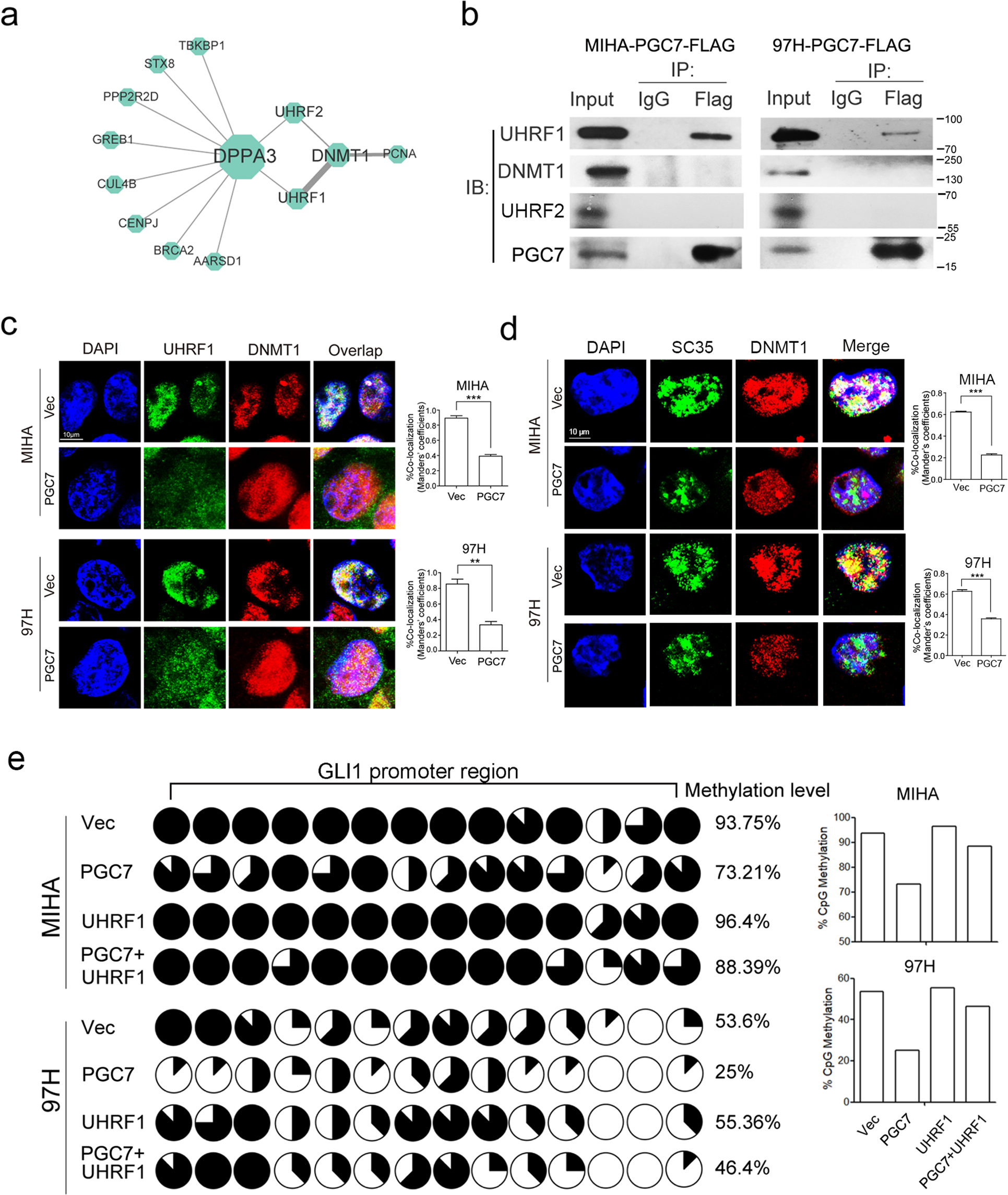
Fig. 6: PGC7 interacts with UHRF1 to induce GLI1 promoter demethylation.

a Protein interactions of PGC7 illustrated by Cytoscape. b Flag-tagged PGC7 was expressed in MIHA and 97H cells. PGC7 and UHRF1 were immunoprecipitated with anti-Flag antibodies. The immunoprecipitates were analyzed by western blotting. Three independent experiments were conducted. c Immunofluorescence analysis of UHRF1 and DNMT1 in Vec- and PGC7-transfected MIHA and 97H cells. UHRF1 and DNMT1 were shown in green and red, respectively; nuclei were counterstained with DAPI (blue) (left panel). Bar charts (right panel) showed the percentage of colocalization (Manders’ coefficients) of UHRF1 and DNMT1 in MIHA and 97H cells. Results were obtained from three independent experiments. Student’s t-test was used for statistical analysis, **P < 0.01, ***P < 0.001. d Immunofluorescent staining of DNMT1 (red) and SC35 (green) in Vec- and PGC7-transfected MIHA and 97H cells (left panel). Bar charts (right panel) showed the percentage of colocalization (Manders’ coefficients) of DNMT1 and SC35 staining. Student’s t-test was used for statistical analysis, ***P < 0.001. e The promoter region of GLI1 was analyzed and the methylation status of CpG dinucleotides in cells transfected with empty vector, PGC7, UHRF1, and co-transfected with PGC7 and UHRF1 was detected by bisulfite genomic sequencing (BGS). The percentage of methylation at each CpG site was displayed in the pie charts (left panel). The average methylation level in the promoter region was calculated and shown in the bar chart (right panel).