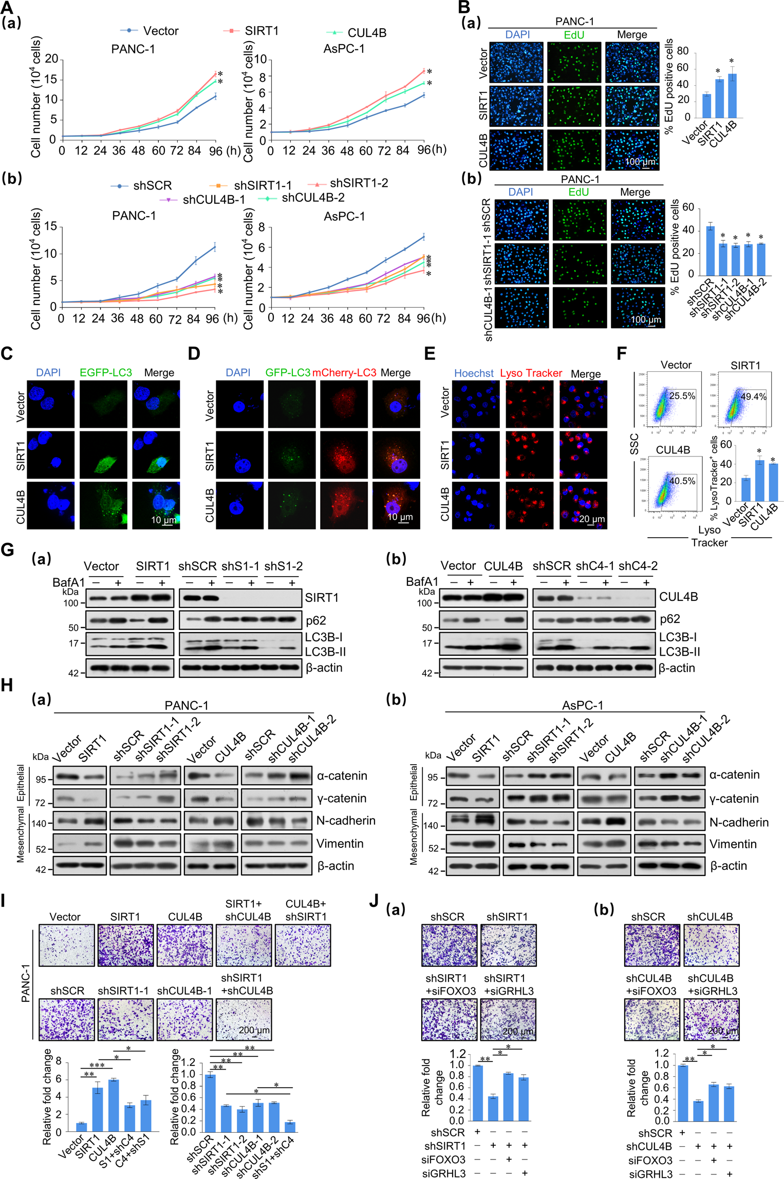
Fig. 5: SIRT1 and CUL4B promote pancreatic cancer cell proliferation, autophagy, and invasion in vitro.

A SIRT1 and CUL4B promote cellular proliferation. Growth curve analysis was performed on PANC-1 and AsPC-1 cells transfected with vector, SIRT1, CUL4B or shSCR, two different shRNA against SIRT1 or CUL4B. B PANC-1 cells were incubated with EdU for 2 h. A fluorescence microscope was used to detect EdU. C Representative fluorescence images of PANC-1 cells transiently expressing GFP-LC3B, with SIRT1 or CUL4B stably overexpressed. D Representative fluorescence images of PANC-1 cells transiently expressing mCherry-GFP-LC3, with SIRT1 or CUL4B stably overexpressed. E LysoTracker Red-stained PANC-1 cells stably overexpressing SIRT1 or CUL4B exhibited an expanded lysosomal area. F LysoTracker Red-stained PANC-1 cells stably overexpressing SIRT1 or CUL4B were assessed by flow cytometry. G Expression of p62 and LC3B was measured by western blotting in PANC-1 cells with stable SIRT1 or CUL4B overexpression or depletion. Bafilomycin A1 (BafA1; 200 nM, 2 h). β-actin served as a loading control. S1, SIRT1; C4, CUL4B. H Expression of indicated epithelial or mesenchymal markers was measured by western blotting in PANC-1 and AsPC-1 cells with SIRT1 or CUL4B overexpression or depletion. β-actin served as a loading control. S1, SIRT1; C4, CUL4B. I Transwell invasion assays of PANC-1 cells following stable transfection with corresponding virus. Invading cells were stained and counted. Images represent one field under microscopy in each group. S1, SIRT1; C4, CUL4B. J Transwell invasion assays were performed in PANC-1 cells infected with lentivirus carrying shSIRT1 or shCUL4B, or in combination with siFOXO3 or siGRHL3. Invading cells were stained and counted. Images represent one field under microscopy in each group. A–B, F, I–J Error bars represent the mean ± SD of three independent experiments. ∗p < 0.05, ∗∗p < 0.01, ∗∗∗p < 0.001; two-tailed unpaired t test.