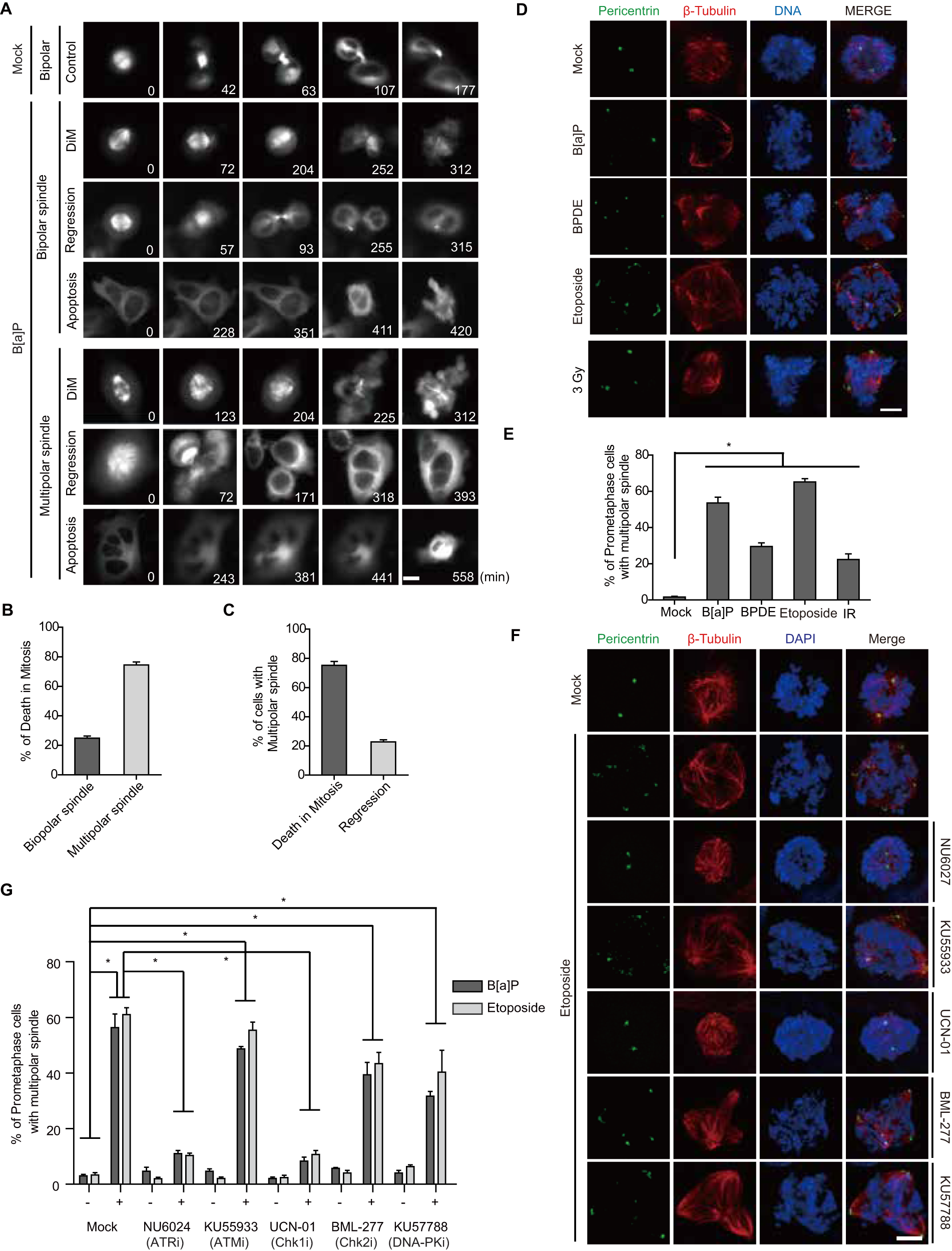
Fig. 1: DNA damage causes multipolar spindle formation via the DDR.
From: Hornerin mediates phosphorylation of the polo-box domain in Plk1 by Chk1 to induce death in mitosis

A–C HeLa cells treated with 0.5 µM B[a]P for 48 h were analyzed by live cell imaging for 10 h (A, n = 1609 cells). DiM (B, n = 356) and the fate of cells with multipolar spindles (C, n = 257) were analyzed. D, E After treatment with the indicated genotoxic stresses, HeLa cells were stained with the indicated antibodies, and the number of prometaphase cells with multipolar spindles was determined from 300 prometaphase cells in three independent experiments. F, G Twenty-four hours after treatment with 2 µM NU6027 as an ATR inhibitor (ATRi), 20 nM KU55933 as an ATM inhibitor (ATMi), 300 nM UCN-01 as a Chk1 inhibitor (Chk1i), 1 µM BML-277 as a Chk2 inhibitor (Chk2i), or 0.5 µM KU57788 as a DNA-PK inhibitor (DNA-PKi), HeLa cells were treated with 0.5 µM B[a]P for 48 h or 0.5 µM etoposide for 24 h, and multipolar spindles were analyzed (n = 400 centrioles from three independent experiments). Scale bars, 5 µm. Error bars, SEM. *p < 0.01 (two-tailed t test).