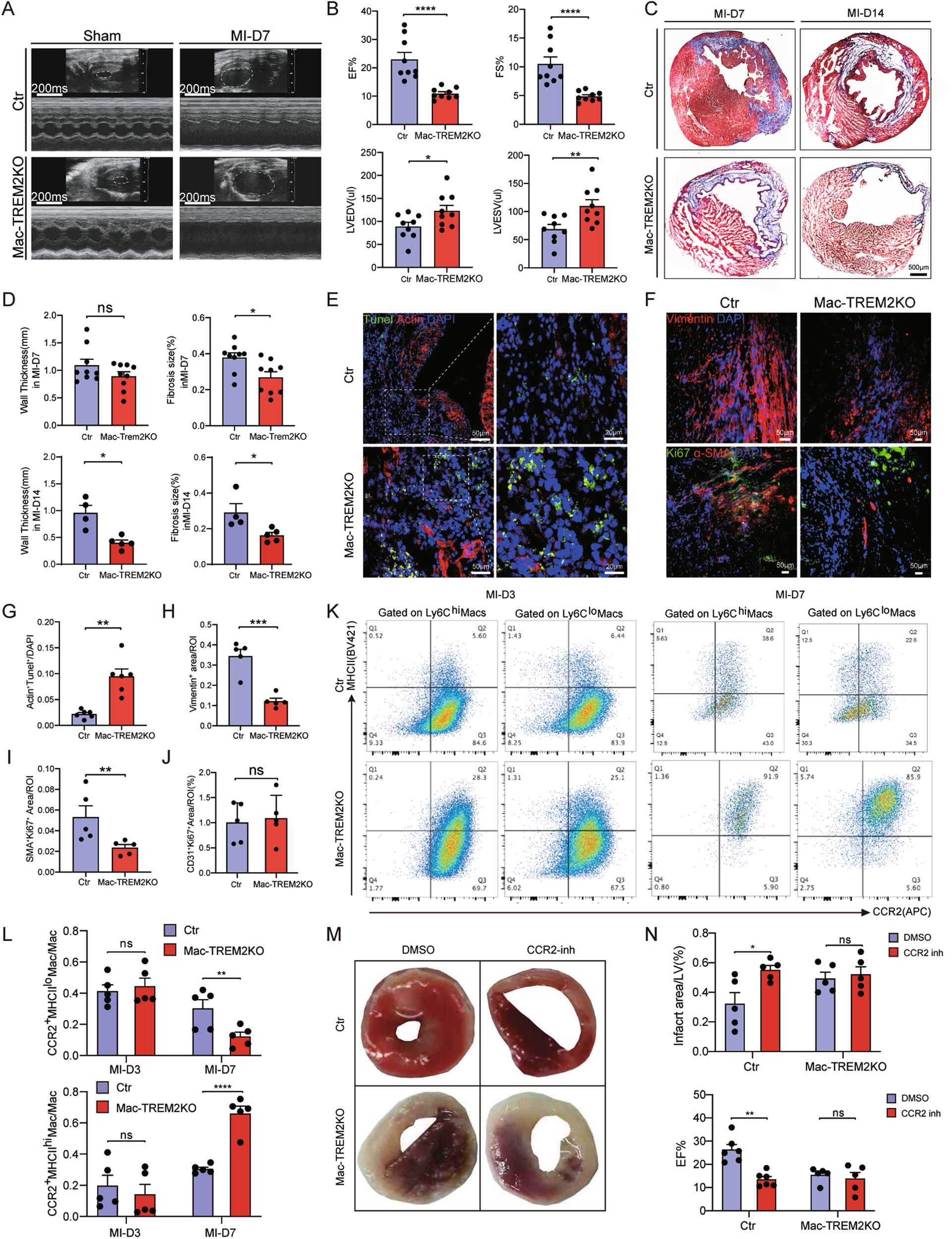
Fig. 2: Effect of the TREM2’s conditional knockout in macrophages on the heart of MI mouse.

A Representative M-mode echocardiogram images obtained from control and Mac-TREM2KO mice in MI or sham groups. B Echocardiographic analysis of ejection fraction (EF), fractional shortening (FS), left ventricular end-diastolic volume (LVEDV) and left ventricular end-systolic volume (LVESV) in groups described in A (n = 9 for each group). C, D Representative images of Masson’s trichrome staining and related quantification of left ventricular wall thickness and fibrosis area of control and Mac-TREM2KO mice on day 7 and 14 post-MI (n = 4–9). E Representative immunofluorescence images of TUNEL+ Actin+ cells in hearts of control and Mac-TREM2KO mice post-MI. F Representative immunofluorescence images of fibroblasts (Vimentin+ cells) and proliferated myofibroblasts (Ki67+ αSMA+ cells) in hearts of control and Mac-TREM2KO mice post-MI. G-I Relative quantification of E and F respectively (n = 5–6). J. Relative quantification of angiogenesis (Supplementary Fig. 4E, 5E) in hearts of control and Mac-TREM2KO mice post-MI (n = 5). K, L, Gated strategy and related quantification of macrophages in hearts of control and Mac-TREM2KO mice on day 3 and day 7 post-MI (n = 5). M Left ventricular tissue sections of control and Mac-TREM2KO mice administered with DMSO or CCR2 inhibitor were stained with 2,3,5-triphenyltetrazolium chloride on day 7 post-MI. N The ratios of infarct area/LV and echocardiographic analysis of groups described in M (n = 5). Data were expressed as mean ± SEM. Data in L and N were analyzed by 2-way ANOVA followed by Bonferroni post hoc analysis. Other data were analyzed by Mann–Whitney U tests. ns indicates not significant. *P < 0.05. **P < 0.01. ***P < 0.001.