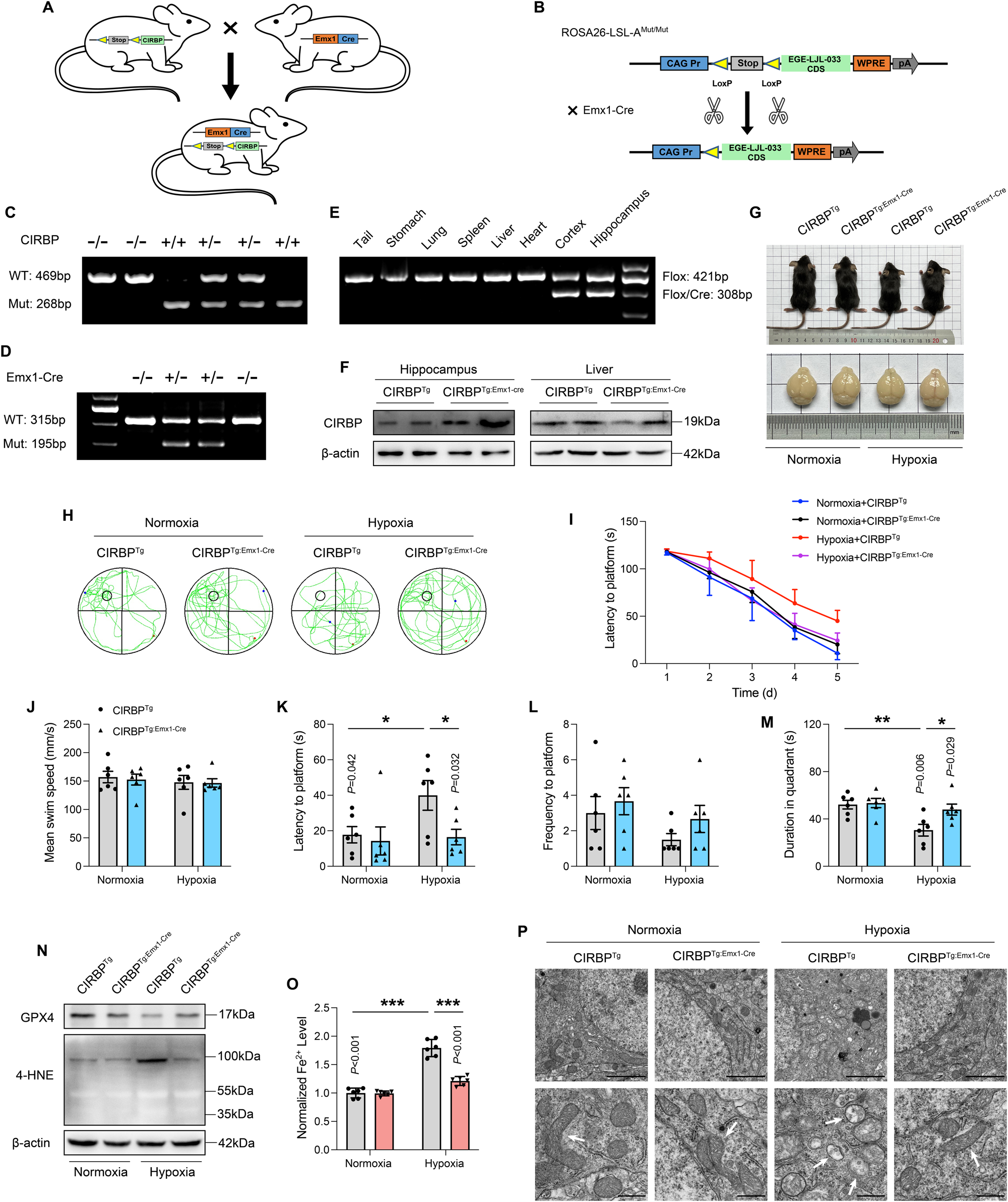
Fig. 6: Conditional overexpression of CIRBP alleviates hypoxia-induced cognitive impairment in pups.

A Cross-mating pattern CIRBPTg mice × Emx1-Cre mice. B The CIRBP gene was knock-in by Cre/loxP stop loxP recombination to generate mice with specific enhancement of CIRBP. C, D Genotyping PCR on genomic DNA from mouse tails of CIRBPTg mice and Emx1-Cre mice. E PCR analysis of tissue genomic DNA from a CIRBPTg: Emx1-Cre mouse. F The protein level of CIRBP in the primary neurons of hippocampus and liver tissues of CIRBPTg: Emx1-Cre mice and age-matched CIRBPTg littermates. β-actin was served as a loading control. G The representative images of CIRBPTg: Emx1-Cre mice with its whole brain and age-matched littermates (CIRBPTg) exposed by hypoxia. H The representative swimming tracks of CIRBPTg: Emx1-Cre mice and age-matched littermates in the Morris water maze (n = 6). I The latency to the platform during the learning stages of CIRBPTg: Emx1-Cre mice and age-matched littermates under hypoxia conditions. J The mean swim speed, K the latency to a hidden platform, L the frequency to a hidden platform, as well as M the time in the target quadrant on the test day of CIRBPTg: Emx1-Cre mice and age-matched littermates in the Morris water maze (n = 6). N Protein samples of hippocampus were collected and ferroptosis-related proteins were detected by immunoblotting. Represented bands for GPX4, 4-HNE in the hippocampus. O The tissue iron content in the hippocampus of CIRBPTg: Emx1-Cre mice and age-matched littermates exposed by hypoxia, data were normalized to normoxia (n = 6). P Transmission electron microscopy pictures show conditional enhancement of CIRBP ameliorated shrunken mitochondria of hippocampal neurons under hypoxia conditions. Scale bars upper is 2 μm. Scale bars lower is 500 nm. Data were showed as mean ± standard error of mean (SEM) of at least three independent experiments. Statistical analyses were carried out using two-way ANOVA and multiple t test. *P ≤ 0.05, **P ≤ 0.01, ***P ≤ 0.001. Source data are provided as a Supplemental Material file.