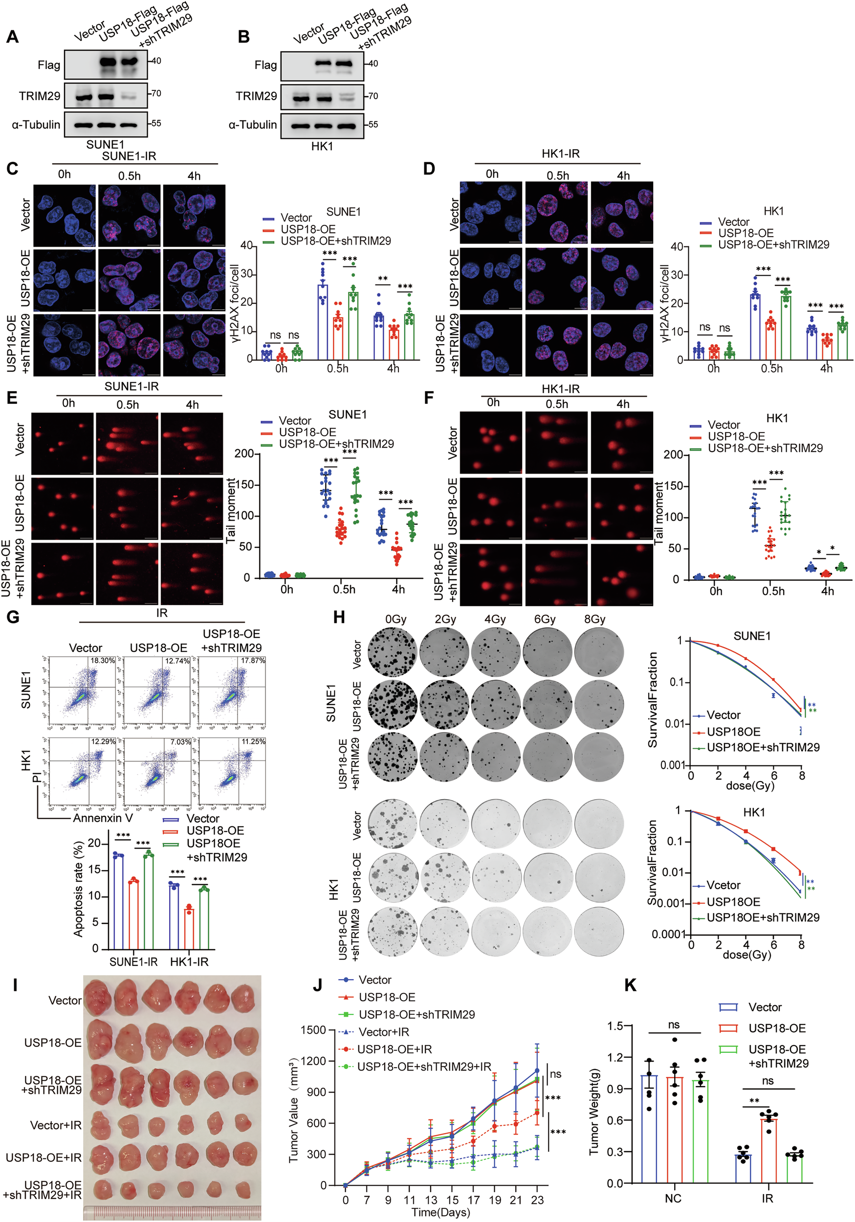
Fig. 6: USP18 impairs radiosensitivity by facilitating DNA damage repair through TRIM29.

A, B Western blot analysis (anti-Flag, TRIM29, and α-Tubulin) in SUNE1 and HK1 cells stably expressing vector, USP18-Flag, or USP18-Flag plus shTRIM29. C, D Representative images and quantitative analysis of γH2AX foci in SUNE1 and HK1 cells treated with 8 Gy IR for 0, 0.5, or 4 h. Scale bars: 10 μm, n = 10. E, F Representative comet images and quantitative analysis of tail moments for DNA damage in SUNE1 or HK1 cells treated with 8 Gy IR for 0, 0.5, or 4 h. Scale bars: 100 μm, n = 20. G Flow cytometry analysis of apoptosis rates in SUNE1 or HK1 cells exposed to 8 Gy IR. H Clonogenic assays of SUNE1 and HK1 cells following exposure to indicated IR doses. Macroscopic images I, average tumor volume J, and average weight K of excised tumors in each group (n = 6). Data are presented as mean ± SD; *p < 0.05, **p < 0.01, ***p < 0.001, with p values determined using two-way ANOVA; n = 3 independent experiments. The unprocessed images of the blots are shown in Fig. S11.