Abstract
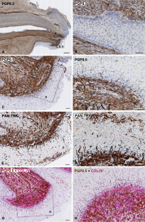
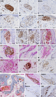
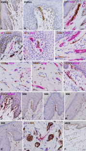
Immunohistological patterns of density and distribution of neural tissue in the human penis, including the prepuce, are not fully characterized, and effects of circumcision (partial or total removal of the penile prepuce) on penile sexual sensation are controversial. This study analyzed extra- and intracavernosal innervation patterns on the main penile axes using formalin-fixed, paraffin-embedded human adult and fetal penile tissues, single- and double-staining immunohistochemistry and a variety of neural and non-neural markers, with a special emphasis on the prepuce and potential sexual effects of circumcision. Immunohistochemical profiles of neural structures were determined and the most detailed immunohistological characterizations to date of preputial nerve supply are provided. The penile prepuce has a highly organized, dense, afferent innervation pattern that is manifest early in fetal development. Autonomically, it receives noradrenergic sympathetic and nitrergic parasympathetic innervation. Cholinergic nerves are also present. We observed cutaneous and subcutaneous neural density distribution biases across our specimens towards the ventral prepuce, including a region corresponding in the adult anatomical position (penis erect) to the distal third of the ventral penile aspect. We also describe a concept of innervation gradients across the longitudinal and transverse penile axes. Results are discussed in relation to the specialized literature. An argument is made that neuroanatomic substrates underlying unusual permanent penile sensory disturbances post-circumcision are related to heightened neural levels in the distal third of the ventral penile aspect, which could potentially be compromised by deep incisions during circumcision.
This is a preview of subscription content, access via your institution
Access options
Subscribe to this journal
Receive 12 print issues and online access
$259.00 per year
only $21.58 per issue
Buy this article
- Purchase on SpringerLink
- Instant access to the full article PDF.
USD 39.95
Prices may be subject to local taxes which are calculated during checkout









Similar content being viewed by others
Data availability
Data supporting results of this study are available from the corresponding author on reasonable request.
References
Tajkarimi K, Burnett AL. The role of genital nerve afferents in the physiology of the sexual response and pelvic floor function. J Sex Med. 2011;8:1299–312.
Gollaher DL. Circumcision: a history of the world’s most controversial surgery. New York; Basic Books: 2000.
Glick L. Marked in your flesh: circumcision from ancient Judea to modern America. New York: Oxford University Press; 2005.
Darby R. A surgical temptation: the demonization of the foreskin and the rise of circumcision in Britain. Chicago: University of Chicago Press; 2005.
Fink KS, Carson CC, DeVellis RF. Adult circumcision outcomes study: effect on erectile function, penile sensitivity, sexual activity and satisfaction. J Urol. 2002;167:2113–6.
Masood S, Patel HRH, Himpson RC, Palmer JH, Mufti GR, Sheriff MKM. Penile sensitivity and sexual satisfaction after circumcision: are we informing men correctly? Urol Int. 2005;75:62–6.
Kim D, Pang M-G. The effect of male circumcision on sexuality. BJU Int. 2007;99:619–22.
Frisch M, Lindholm M, Grønbæk M. Male circumcision and sexual function in men and women: a survey-based, cross-sectional study in Denmark. Int J Epidemiol. 2011;40:1367–81.
Bronselaer GA, Schober JM, Meyer-Bahlburg HFL, T’Sjoen G, Vlietinck R, Hoebeke PB. Male circumcision decreases penile sensitivity as measured in a large cohort. BJU Int. 2013;111:820–7.
Dias J, Freitas R, Amorim R, Espiridião P, Xambre L, Ferraz L. Adult circumcision and male sexual health: a retrospective analysis. Andrologia. 2014;46:459–64.
Hammond T. A preliminary poll of men circumcised in infancy or childhood. BJU Int. 1999;83:85–92.
Hammond T, Carmack A. Long-term adverse outcomes from neonatal circumcision reported in a survey of 1,008 men: an overview of health and human rights implications. Int J Hum Rights. 2017;21:189–218.
Hammond T, Reiss MD. Antecedents of emotional distress and sexual dissatisfaction in circumcised men: previous findings and future directions—comment on Bossio and Pukall (2017). Arch Sex Behav. 2018;47:1319–20.
Tian Y, Liu W, Wang JZ, Wazir R, Yue X, Wang KJ. Effects of circumcision on male sexual functions: a systematic review and meta-analysis. Asian J Androl. 2013;15:662.
Bossio JA, Pukall CF, Steele S. A review of the current state of the male circumcision literature. J Sex Med. 2014;11:2847–64.
Bossio JA, Pukall CF, Steele S. Response to: the literature supports policies promoting neonatal male circumcision in N. America. J Sex Med. 2015;12:1306–7.
Earp BD, Darby R. Circumcision, sexual experience, and harm. U Penn J Int Law. 2017;37:1–56.
Deacon M, Muir G. What is the medical evidence on non-therapeutic child circumcision? Int J Impot Res. 2022. https://doi.org/10.1038/s41443-021-00502-y
Wodwaski N, Munyan K. As nurses, are we meeting the unique needs of the intact client? J Spec Pediatr Nurs. 2022;27:e12356 https://doi.org/10.1111/jspn.12356
Malhotra NR, Rosoklija I, Shannon R, D’Oro A, Liu DB. Frequency and variability of advice given to parents on care of the uncircumcised penis by pediatric residents: a need to improve education. Urology. 2020;136:218–24.
Nelson ED. Penile anomalies and circumcision. In: Mattei P, Nichol P, Rollins II M, Muratore C, editors. Fundamentals of pediatric surgery. 2nd ed. Cham: Springer; 2017. p. 711–24.
Benoit G, Droupy S, Quillard J, Paradis V, Giuliano F. Supra and infralevator neurovascular pathways to the penile corpora cavernosa. J Anat. 1999;195:605–15.
Jang HS, Hinata N, Cho KH, Bando Y, Murakami G, Abe S-I. Nerves in the cavernous tissue of the glans penis: an immunohistochemical study using elderly donated cadavers. J Anat Soc India. 2017;66:91–6.
Winkelmann R. Nerve endings in normal and pathologic skin. Springfield: Charles C Thomas Publisher; 1960.
Pérez Casas A, Vega Álvarez J, López Muñiz A, Romo Hidalgo E, Suárez Garnacho S, Bengoechea Gonzáles E. [Microscopic innervation of the penis. I. Prepuce and glans penis]. Arch Esp Urol. 1988;41:1–7.
Moldwin R, Valderrama E. Nerve distribution patterns within prepucial tissue: clinical applications in penile nerve blocks. Anesth Analg. 1990;70:S270. (abstract)
Malkoc E, Ates F, Tekeli H, Kurt B, Turker T, Basal S. Free nerve ending density on skin extracted by circumcision and its relation to premature ejaculation. J Androl. 2012;33:1263–7.
Diallo D, Zaitouna M, Alsaid B, Quillard J, Ba N, Allodji RS, et al. The visceromotor and somatic afferent nerves of the penis. J Sex Med. 2015;12:1120–7.
Flochlay M, Diallo D, Bessede T, Prudhomme M, Costa P, Kharlamov E, et al. Receptors and sensory nerve pathways of the penis: a three dimensional computer assisted anatomical dissection (3DCAAD). Eur Urol Suppl. 2019;18:e1253. (abstract 927)
Halata Z, Munger BL. The neuroanatomical basis for the protopathic sensibility of the human glans penis. Brain Res. 1986;371:205–30.
Cunha GR, Sinclair A, Cao M, Baskin LS. Development of the human prepuce and its innervation. Differentiation. 2020;111:22–40.
Kuhn RA. Functional capacity of the isolated human spinal cord. Brain. 1950;73:1–51.
Pryor JL, LeRoy SC, Nagel TC, Hensleigh HC. Vibratory stimulation for treatment of anejaculation in quadriplegic men. Arch Phys Med Rehabil. 1995;76:59–64.
Ellis RG. The corona-frenulum trigger. Sex Disabil. 1980;3:50–6.
Bossio JA, Pukall CF, Steele SS. Examining penile sensitivity in neonatally circumcised and intact men using quantitative sensory testing. J Urol. 2016;195:1848–53.
Sorrells ML, Snyder JL, Reiss MD, Eden C, Milos MF, Wilcox N, et al. Fine-touch pressure thresholds in the adult penis. BJU Int. 2007;99:864–9.
García‐Mesa Y, García‐Piqueras J, Cobo R, Martín‐Cruces J, Suazo I, García‐Suárez O, et al. Sensory innervation of the human male prepuce: Meissner’s corpuscles predominate. J Anat. 2021;239:892–902.
Cobo R, García-Piqueras J, Cobo J, Vega JA. The human cutaneous sensory corpuscles: an update. J Clin Med. 2021;10:227.
Cobo R, García-Piqueras J, García-Mesa Y, Feito J, García-Suárez O, Vega JA. Peripheral mechanobiology of touch—studies on vertebrate cutaneous sensory corpuscles. Int J Mol Sci. 2020;21:6221.
Reynard J, Brewster S, Biers S, Neal N. Oxford handbook of urology. 4th ed. Oxford: Oxford University Press; 2019. p. 785.
Schober JM, Meyer-Bahlburg HF, Dolezal C. Self-ratings of genital anatomy, sexual sensitivity and function in men using the “Self-Assessment of Genital Anatomy and Sexual Function, Male” questionnaire. BJU Int. 2009;103:1096–103.
McKenna K. SSI Grand Master Lecture 3 ‘The brain is the master organ in sexual function: central nervous system control of male and female sexual function. Int J Impot Res. 1999;11:S48–S55.
Fahmy M. Bleeding complications. In: Fahmy M, editor. Complications in male circumcision. St. Louis: Elsevier; 2019. p. 65–72.
Yucel S, Baskin LS. Identification of communicating branches among the dorsal, perineal and cavernous nerves of the penis. J Urol. 2003;170:153–8.
Yucel S, Baskin L. The detailed topographical anatomy of the perineal nerves on the penis and perineum: surgical Implications. Eur Urol Suppl. 2004;3:106.
Yucel S, Baskin LS. Neuroanatomy of the male urethra and perineum. BJU Int. 2003;92:624–30.
Uchio EM, Yang CC, Kromm BG, Bradley WE. Cortical evoked responses from the perineal nerve. J Urol. 1999;162:1983–6.
Yang CC, Bradley WE. Peripheral distribution of the human dorsal nerve of the penis. J Urol. 1998;159:1912–6.
Yang CC, Bradley WE. Neuroanatomy of the penile portion of the human dorsal nerve of the penis. Br J Urol. 1998;82:109–13.
Gilbert-Barness E, Debich-Spicer D. Embryo and fetal pathology: color Atlas with ultrasound correlation. Cambridge: Cambridge University Press; 2004.
García‐Mesa Y, Cárcaba L, Coronado C, Cobo R, Martín‐Cruces J, García‐Piqueras J, et al. Glans clitoris innervation: PIEZO2 and sexual mechanosensitivity. J Anat. 2021;238:446–54.
Van de Velde TH. Ideal marriage: its physiology and technique. London: William Heinemann Medical Books; 1940.
Zwang G. La Fonction Érotique. Paris: Éditions Robert Laffont; 1972.
Young J. An introduction to the study of man. Oxford: Oxford University Press; 1974.
Crooks R, Baur K. Our sexuality. 11th ed. Belmont: Wadsworth Cengage Learning; 2011.
Hsu G-L, Liu S-P. Penis structure. In: Skinner MK, editor. Encyclopedia of reproduction. Volume 1: male reproduction. 2nd ed. Kidlington: Academic Press; 2018. p. 357–66.
Cold CJ, Taylor JR. The prepuce. BJU Int. 1999;83:34–44.
Winkelmann RK. The cutaneous innervation of human newborn prepuce. J Invest Dermatol. 1956;26:53–67.
Seto H. Studies on the sensory innervation (human sensibility). 2nd ed. Springfield: Charles C Thomas Publisher; 1963.
Georgiadis JR, Kringelbach ML. Intimacy and the brain: lessons from genital and sexual touch. In: Olausson H, Wessberg J, Morrison I, McGlone F, editors. Affective touch and the neurophysiology of CT afferents. New York: Springer; 2016. p. 301–21.
Bourlond A, Winkelmann R. [The innervation of the prepuce of the newborn infant]. Arch Belges Dermatol Syphiligr. 1965;21:139–53.
Chiarodo AJ. Fine structure of eight day human prepuce. Anat Rec. 1966;154:330.
Bischoff A. Skin receptors of the human prepuce. In: Rohen JW, editor. Functional morphology of receptor cells. Mainz: Akademie der Wissenschaften und der Literatur; 1978. p. 64–87.
Gratzl M, Langley K, editors. Markers for neural and endocrine cells: molecular and cell biology, diagnostic applications. New York: VCH Publishers; 1991.
Mountcastle VB. The sensory hand: neural mechanisms of somatic sensation. Cambridge: Harvard University Press; 2005. p. 109.
Díaz-Flores L, Gutiérrez R, García M, Gayoso S, Gutiérrez E, Carrasco JL. Telocytes in the normal and pathological peripheral nervous system. Int J Mol Sci. 2020;21:4320.
Macklin WB, Rasband MN. Formation and maintenance of myelin. In: Brady ST, Siegel GJ, Albers RW, Price DL, editors. Basic neurochemistry: principles of molecular, cellular, and medical neurobiology. 8th ed. New York: Academic Press; 2012. p. 569–81.
Lindsay RM. The role of neurotrophic factors in functional maintenance of mature sensory neurons. In: Scott SA, editor. Sensory neurons: diversity, development, and plasticity. New York: Oxford University Press; 1992. p. 404–20.
García-Piqueras J, García-Mesa Y, Cárcaba L, Feito J, Torres-Parejo I, Martín-Biedma B, et al. Ageing of the somatosensory system at the periphery: age-related changes in cutaneous mechanoreceptors. J Anat. 2019;234:839–52.
Saxod R. Ontogeny of the cutaneous sensory organs. Microsc Res Tech. 1996;34:313–33.
Sieber-Blum M, editor. Neural crest stem cells: breakthroughs and applications. Singapore: World Scientific; 2012.
Purpura V, Bondioli E, Cunningham EJ, Luca GDE, Capirossi D, Nigrisoli E, et al. The development of a decellularized extracellular matrix–based biomaterial scaffold derived from human foreskin for the purpose of foreskin reconstruction in circumcised males. J Tissue Eng. 2018;9:2041731418812613.
Yucel S, De Souza A, Baskin LS. Neuroanatomy of the human female lower urogenital tract. J Urol. 2004;172:191–5.
Schober J, Cooney T, Pfaff D, Mayoglu L, Martín-Alguacil N. Innervation of the labia minora of prepubertal girls. J Pediatr Adolesc Gynecol. 2010;23:352–7.
Donadio V, Incensi A, Vacchiano V, Infante R, Magnani M, Liguori R. The autonomic innervation of hairy skin in humans: an in vivo confocal study. Sci Rep. 2019;9:1–7.
Ruocco I, Cuello AC, Parent A, Ribeiro‐Da‐Silva A. Skin blood vessels are simultaneously innervated by sensory, sympathetic, and parasympathetic fibers. J Comp Neurol. 2002;448:323–36.
Hosaka F, Yamamoto M, Cho KH, Jang HS, Murakami G, Abe S. Human nasociliary nerve with special reference to its unique parasympathetic cutaneous innervation. Anat Cell Biol. 2016;49:132–7.
Alsaid B, Moszkowicz D, Peschaud F, Bessede T, Zaitouna M, Karam I, et al. Autonomic‐somatic communications in the human pelvis: computer‐assisted anatomic dissection in male and female fetuses. J Anat. 2011;219:565–73.
Kozacioglu Z, Vatansever H, Onal T, Kutlu N, Ozel F, Gunlusoy B, et al. Histologic and physiologic analysis of the relationship between the dorsal nerve of the penis and the corpus cavernosum on a rat model. A complementary pathway on the innervation of penile erection? Neurourol Urodyn. 2022;41:188–94.
Kozacioglu Z, Kiray A, Ergur I, Zeybek G, Degirmenci T, Gunlusoy B. Anatomy of the dorsal nerve of the penis, clinical implications. Urology. 2014;83:121–5.
Van der Putte SCJ. The development of the perineum in the human: a comprehensive histological study with a special reference to the role of the stromal components. Vol. 177. Berlin: Springer Science & Business Media; 2005.
Velazquez EF, Barreto JE, Cañete-Portillo S, Cubilla AL. Penis and distal urethra. In: Mills S, editor. Histology for pathologists. 5th ed. Philadelphia: Wolters Kluwer; 2019. p. 1009–28.
Kaneko S, Bradley WE. Penile electrodiagnosis: penile peripheral innervation. Urology. 1987;30:210–12.
Christ GJ, Barr L. The neural control of smooth muscle. In Barr L, Christ GJ, editors. Advances in organ biology. Vol. 8. Stamford, CT: JAI Press; 2000. p. 345–95.
Taylor JR, Lockwood AP, Taylor AJ. The prepuce: specialized mucosa of the penis and its loss to circumcision. Br J Urol. 1996;77:291–5.
Kelling JA, Erickson CR, Pin J, Pin PG. Anatomical dissection of the dorsal nerve of the clitoris. Aesthet Surg J. 2020;40:541–7.
Rashid A, Iguchi Y, Afiqah SN. Medicalization of female genital cutting in Malaysia: a mixed methods study. PLoS Med. 2020;17:e1003303.
Palminteri E. Anatomy of the male urethra. In: Austoni E, editor. Atlas of reconstructive penile surgery. Pisa: Pacini Editore Medicina; 2010. p. 29–40.
Montorsi F. Penile anatomy and the pathophysiology of erectile dysfunction. In: Austoni E, editor. Atlas of reconstructive penile surgery. Pisa: Pacini Editore Medicina; 2010. p. 41–51.
Cubilla AL, Piris A, Pfannl R, Rodriguez I, Aguero F, Young RH. Anatomic levels: important landmarks in penectomy specimens: a detailed anatomic and histologic study based on examination of 44 cases. Am J Surg Pathol. 2001;25:1091–4.
Shenoy SP, Marla PK, Sharma P, Bhat N, Rao AR. Frenulum sparing circumcision: step-by-step approach of a novel technique. J Clin Diagn Res. 2015;9:PC01–PC03.
Gallo L. The prevalence of an excessive prepuce and the effects of distal circumcision on premature ejaculation. Arab J Urol. 2017;15:140–7.
Jannini E. Re: The role of short frenulum and the effects of frenulectomy on premature ejaculation. Eur Urol. 2010;57:1119–20.
Moore KL, Dalley AF, Agur AMR. Clinically oriented anatomy. 8th ed. Philadelphia: Wolters Kluwer; 2018.
Shafik A. Perineal nerve stimulation: role in penile erection. Int J Impot Res. 1997;9:11–16.
Colpi GM, Negri L, Nappi RE, Chinea B, Colpi DGM. Perineal floor efficiency in sexually potent and impotent men. Int J Impot Res. 1999;11:153–7.
Cakici OU, Pulular AG, Canakli F. Nerve-sparing circumcision: myth or reality? J Pediatr Urol. 2021;17:257–e1.
Melzack R, Wall PD. On the nature of cutaneous sensory mechanisms. Brain. 1962;85:331–56.
Brock G, Hsu G-L, Nunes L, Von Heyden B, Lue TF. The anatomy of the tunica albuginea in the normal penis and Peyronie’s disease. J Urol. 1997;157:276–81.
Chetty R, Cooper K, Gown AM. Leong’s manual of diagnostic antibodies for immunohistology. 3rd ed. Cambridge: Cambridge University Press; 2016.
Smoller BR. Practical immunopathology of the skin. New Jersey: Humana Press; 2010.
True L, editor. Atlas of diagnostic immunohistopathology. New York: Gower Medical Publishing; 1990.
Roche Tissue Diagnostics. VENTANA pan-TRK (EPR17341) Assay: Package Insert 1017533EN Rev A. https://www.rochebiomarkers.be/content/media/Files/Bijsluiter_790-70261017533EN.pdf. Accessed 3 Nov 2021.
Calavia M, Viña E, Menéndez-González M, López-Muñiz A, Alonso-Guervós M, Cobo J, et al. Evidence of nestin-positive cells in the human cutaneus Meissner and Pacinian corpuscles. CNS Neurol Disord Drug Targets. 2012;11:869–77.
Sjöstrand NO, Klinge E. Nitric oxide and the neural regulation of the penis. In: Vincent S, editor. Nitric oxide in the nervous system. London: Academic Press; 1995. p. 281–306.
Arvidsson U, Riedl M, Elde R, Meister B. Vesicular acetylcholine transporter (VAChT) protein: a novel and unique marker for cholinergic neurons in the central and peripheral nervous systems. J Comp Neurol. 1997;378:454–67.
Rouvière H, Delmas A. Anatomie humaine – descriptive, topographique et fonctionnelle (Tome 2, Tronc). 15th ed. Paris: Masson; 2002. p. 614.
McGrath K. The frenular delta: a new preputial structure. In: Denniston G, Hodges F, Milos M, editors. Understanding circumcision: a multi-disciplinary approach to a multi-dimensional problem. Boston: Springer; 2001. p. 199–206.
McCammon KA, Zuckerman JM, Jordan GH. Surgery of the penis and urethra. In: Wein AJ, Kavoussi LR, Partin AW, Peters CA, editors. Campbell-Walsh urology. 11th ed. Philadelphia: Elsevier; 2016. p. 915.
MacLennan GT. Hinman’s Atlas of urosurgical anatomy. 2nd ed. Philadelphia: Elsevier Saunders; 2012. p. 323.
Galiwango RM, Yegorov S, Joag V, Prodger J, Shahabi K, Huibner S, et al. Characterization of CD4+ T cell subsets and HIV susceptibility in the inner and outer foreskin of Ugandan men. Am J Reprod Immunol. 2019;82:e13143.
Dinh MH, Hirbod T, Kigozi G, Okocha EA, Cianci GC, Kong X, et al. No difference in keratin thickness between inner and outer foreskins from elective male circumcisions in Rakai, Uganda. PLoS One. 2012;7:e41271.
Acknowledgements
We would like to thank the anonymous reviewers for providing detailed and valuable feedback.
Author information
Authors and Affiliations
Contributions
AC-E, TG-C, RG and LG-C designed the study, interpreted results, and wrote the manuscript. AC-E, MG-C, MO-A and JS-Q recruited material. AC-E, MG-C, MO-A, HG, TG-C, RG, JS-Q and LG-C performed histopathological and immunohistochemical analyses. All authors revised and approved the manuscript.
Corresponding author
Ethics declarations
Competing interests
The authors declare no competing interests.
Additional information
Publisher’s note Springer Nature remains neutral with regard to jurisdictional claims in published maps and institutional affiliations.
Rights and permissions
Springer Nature or its licensor (e.g. a society or other partner) holds exclusive rights to this article under a publishing agreement with the author(s) or other rightsholder(s); author self-archiving of the accepted manuscript version of this article is solely governed by the terms of such publishing agreement and applicable law.
About this article
Cite this article
Cepeda-Emiliani, A., Gándara-Cortés, M., Otero-Alén, M. et al. Immunohistological study of the density and distribution of human penile neural tissue: gradient hypothesis. Int J Impot Res 35, 286–305 (2023). https://doi.org/10.1038/s41443-022-00561-9
Received:
Revised:
Accepted:
Published:
Version of record:
Issue date:
DOI: https://doi.org/10.1038/s41443-022-00561-9
This article is cited by
-
Child genital cutting and surgery across cultures, sex, and gender. Part 2: assessing consent and medical necessity in “endosex” modifications
International Journal of Impotence Research (2023)
-
Response to: Scientists must engage with the ethical implications of their work
International Journal of Impotence Research (2023)
-
Fiber counts and architecture of the human dorsal penile nerve
Scientific Reports (2023)


