Abstract
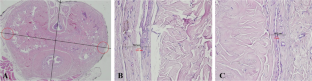
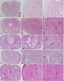
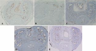
TGF-β1 plays a fundamental role in the pathogenesis of Peyronie’s disease, driving the excessive extracellular matrix accumulation and fibroblast activation characteristic of fibrosis. As in many fibrotic disorders, its action via Smad transcription factors presents a key therapeutic target. Given the notable deficiency in proven effective conservative treatments for Peyronie’s disease, particularly in its acute phase, this study aimed to investigate the efficacy of baicalein, a flavonoid known to inhibit the TGF-β1/Smad signaling pathway, thereby offering a promising therapeutic strategy. We established a rat model of Peyronie’s disease on 30 male Wistar albino rats using a single intratunical injection of a combined solution containing 0.1 mL recombinant TGF-β1 protein (0.01 μg/μL) and 0.1 mL sodium tetradecyl sulfate (0.01 μg/μL, 3%), and administered baicalein intralesionally at low (0.8 μg/L, 50 μL), moderate (1.6 μg/L, 50 μL), and high (3.2 μg/L, 50 μL) doses. There were no significant differences among the groups in terms of animal weights or degrees of curvature before and after treatment. Our comprehensive analysis of blindly performed histopathological and immunohistochemical parameters, including tunica albuginea thickness, fibrosis severity, and smooth muscle content, demonstrated that intralesional baicalein suppressed fibrosis formation in corporeal bodies (p = 0.002) in a dose-dependent manner, preserved crucial cavernosal smooth muscle tissue (p = 0.005), and effectively prevented pathological increases in tunica albuginea thickness (p = 0.002). Importantly, systemic toxicity was not detected in any of the subjects. As the first study to investigate intralesional baicalein for Peyronie’s disease, our findings positively contribute to the literature and underscore its potential as a safe, accessible, and highly effective agent. Further in vitro and in vivo research is warranted to fully explore baicalein’s capacity to address current treatment gaps in this challenging condition.
This is a preview of subscription content, access via your institution
Access options
Subscribe to this journal
Receive 12 print issues and online access
$259.00 per year
only $21.58 per issue
Buy this article
- Purchase on SpringerLink
- Instant access to the full article PDF.
USD 39.95
Prices may be subject to local taxes which are calculated during checkout






Similar content being viewed by others
Data availability
The data that support the findings of this study are available from the corresponding author, KCS, upon reasonable request.
References
Devine CJ, Somers KD, Jordan GH, Schlossberg SM. Proposal: trauma as the cause of the Peyronie’s lesion. J Urol. 1997;157:285–90. https://doi.org/10.1016/s0022-5347(01)65361-8.
Sikka S, Hellstrom W. Role of oxidative stress and antioxidants in Peyronie’s disease. Int J Impot Res. 2002;14:353–60. https://doi.org/10.1038/sj.ijir.3900880.
Vernet D, Ferrini MG, Valente EG, Magee TR, Bou-Gharios G, Rajfer J, et al. Effect of nitric oxide on the differentiation of fibroblasts into myofibroblasts in the Peyronie’s fibrotic plaque and in its rat model. Nitric Oxide. 2002;7:262–76. https://doi.org/10.1016/s1089-8603(02)00124-6.
Rhoden EL, Riedner CE, Fuchs SC, Riberio EP, Halmenschlager G. A cross-sectional study for the analysis of clinical, sexual and laboratory conditions associated to Peyronie’s disease. J Sex Med. 2010;7:1529–37. https://doi.org/10.1111/j.1743-6109.2009.01584.x.
Nachtsheim DA, Rearden A. Peyronie’s disease is associated with an HLA class II antigen, HLA-DQ5, implying an autoimmune etiology. J Urol. 1996;156:1330–4. https://doi.org/10.1016/S0022-5347(01)65579-4.
Nyberg LM, Bias WB, Hochberg MC, Walsch PC. Identification of an inherited form of peyronie’s disease with autosomal dominant inheritance and association with dupuytren’s contracture and histocompatibility B7 cross-reacting antigens. J Urol. 1982;128:48–51. https://doi.org/10.1016/s0022-5347(17)52751-2.
El-Sakka AI, Hassan MU, Nunes L, Bhatnagar RS, Yen TS, Lue TF. Histological and ultrastructural alterations in an animal model of peyronie’s disease. Br J Urol. 1998;181:445–52. https://doi.org/10.1046/j.1464-410x.1998.00529.x.
El-Sakka AI, Hassoba HM, Chui RM, Bhatnagar RS, Dahiya R, Lue TF. An animal model of Peyronie’s-like condition associated with an increase of transforming growth factor beta mRNA and protein expression. J Urol. 1997;158:2284–90. https://doi.org/10.1016/s0022-5347(01)68236-3.
Border WA, Ruoslahti E. Transforming growth factor-b in disease. the dark side of tissue repair. J Clin Invest. 1992;90:1–7. https://doi.org/10.1172/JCI115821.
Jang JH, Ryu JK, Suh JK. Activin receptor-like kinase 5 inhibitor attenuates fibrosis in fibroblasts derived from Peyronie’s plaque. Korean J Urol. 2012;53:44–9. https://doi.org/10.4111/kju.2012.53.1.44.
Matsumoto T. Phytochemistry Research Progress. New York: Nova Science Publishers Inc; 2013.
Deschamps JD, Kenyon VA, Holman TR. Baicalein is a potent in vitro inhibitor against both reticulocyte 15-human and platelet 12-human lipoxygenases. Bioorg Med Chem. 2006;14:4295–301. https://doi.org/10.1016/j.bmc.2006.01.057.
Miyazono K, Kamiya Y, Morikawa M. Bone morphogenetic protein receptors and signal transduction. J Biochem. 2010;147:35–51. https://doi.org/10.1093/jb/mvp148.
Zhang YF, Zhou SZ, Cheng XY, Yi B, Shan SZ, Wang J, et al. Baicalein attenuates hypertrophic scar formation via inhibition of the transforming growth factor-β/Smad2/3 signalling pathway. Br J Dermatol. 2016;174:120–30. https://doi.org/10.1111/bjd.14108.
Salonia A, Bettocchi C, Capogrosso P, Carvalho J, Corona G, Dinkelman-Smith M, et al. EAU Guidelines on Sexual and Reproductive Health 2024. Arnhem, The Netherlands: EAU Guidelines Office; 2024. ISBN 978-94-92671-23-3.
Nehra A, Alterowitz R, Culkin DJ, Faraday MM, Hakim LS, Heidelbaugh JJ, et al. Peyronie’s Disease: AUA Guideline. J Urol. 2015 Sep;194:745–53. https://doi.org/10.1016/j.juro.2015.05.098.
Faul F, Erdfelder E, Buchner E, Lang AG. Statistical power analyses using G*Power 3.1: Tests for correlation and regression analyses. Behav Res Methods. 2009;41:1149–1160. https://doi.org/10.3758/BRM.41.4.1149.
Bai H, Yuan R, Zhang Z, Liu L, Wang X, Song X, et al. Intra-articular injection of baicalein inhibits cartilage catabolism and NLRP3 inflammasome signaling in a posttraumatic OA model. Oxid Med Cell Longev. 2021;2021:6116890 https://doi.org/10.1155/2021/6116890.
Castiglione F, Cakir OO, Schifano N, Corona G, Reisman Y, Bettocchi C, et al. European society of sexual medicine consensus statement on the use of animal models for studying peyronie’s disease. Sex Med. 2023;11:qfad046 https://doi.org/10.1093/sexmed/qfad046.
Chung E, Garcia F, De Young L, Solomon M, Brock GB. A comparative study of the efficacy of intralesional verapamil versus normal saline injection in a novel Peyronie disease animal model: assessment of immunohistopathological changes and erectile function outcome. J Urol. 2013;189:380–4. https://doi.org/10.1016/j.juro.2012.08.191.
Garcia F, De Young L, Chung E, Brock M, Brock G. A durable novel rat model for Peyronie’s disease. J Urol. 2012;187:e682–e683. https://doi.org/10.1016/j.juro.2012.02.1586.
Tsukamoto A, Niino N, Sakamoto M, Ohtani R, Inomata T. The validity of anesthetic protocols for the surgical procedure of castration in rats. Exp Anim. 2018;67:329–36. https://doi.org/10.1538/expanim.18-0003.
Percie du Sert N, Hurst V, Ahluwalia A, Alam S, Avey MT, Baker M, et al. The ARRIVE guidelines 2.0: updated guidelines for reporting animal research. PLoS Biol. 2020;18:e3000410 https://doi.org/10.1371/journal.pbio.3000410.
Peng B, Hu Q, He R, Hou H, Lian D, Chen Y, et al. Baicalein alleviates fibrosis and inflammation in systemic sclerosis by regulating B-cell abnormalities. BMC Complement Med Ther. 2023;23:62 https://doi.org/10.1186/s12906-023-03885-1.
Kong EK, Huang Y, Sanderson JE, Chan KB, Yu S, Yu CM. Baicalein and wogonin inhibit collagen deposition in SHR and WKY cardiac fibroblast cultures. BMB Rep. 2010;43:297–303. https://doi.org/10.5483/bmbrep.2010.43.4.297.
Li B, Chen K, Qian N, Huang P, Hu F, Ding T, et al. Baicalein alleviates osteoarthritis by protecting subchondral bone, inhibiting angiogenesis and synovial proliferation. J Cell Mol Med. 2021;25:5283–94. https://doi.org/10.1111/jcmm.16538.
Li WJ, Bao J, Zheng DC, Guo J, Xie MK, Chen HY, et al. Treatments of Peyronie’s disease with Scutellaria baicalensis and surgery according to the disease course: a single-center retrospective study of 261 patients. Ann Palliat Med. 2021;10:2979–89. https://doi.org/10.21037/apm-20-2389.
Paulis G, Romano G, Paulis A. Prevalence, psychological impact, and risk factors of erectile dysfunction in patients with Peyronie’s disease: a retrospective analysis of 309 cases. Res Rep Urol. 2016;8:95–103. https://doi.org/10.2147/RRU.S109319.
Wespes E. Smooth muscle pathology and erectile dysfunction. Int J Impot Res. 2002;14(Suppl 1):S17–S21. https://doi.org/10.1038/sj.ijir.3900792.
Antoniassi T, Facio Junior FN, Spessoto LC, Guerra LH, Campos SS, Taboga S. Anti-fibrotic effect of mycophenolate mofetil on Peyronie’s disease experimentally induced with TGF-β. Int J Impot Res. 2020;32:201–6. https://doi.org/10.1038/s41443-019-0138-7.
Lin H, Liu C, Wang R. Effect of penile traction and vacuum erectile device for peyronie’s disease in an animal model. J Sex Med. 2017;14:1270–6. https://doi.org/10.1016/j.jsxm.2017.08.011.
Castiglione F, Hedlund P, Weyne E, Hakim L, Montorsi F, Bivalacqua TJ, et al. Intratunical injection of human adipose tissue-derived stem cells restores collagen III/I ratio in a rat model of chronic peyronie’s disease. Sex Med. 2019;7:94–103. https://doi.org/10.1016/j.esxm.2018.09.003.
Acknowledgements
None.
Funding
This study was financially supported by the Scientific Research Projects Unit of Istanbul University – Cerrahpasa (project number: 37567, approval date: February 7, 2024).
Author information
Authors and Affiliations
Contributions
All authors have read and approved the final manuscript. Conceptualization: KCS, FI, MHG, HO. Data curation: KCS, FI, OG, SK. Formal analysis: KCS. Funding acquisition: KCS, FI, MHG. Investigation: KCS, FI, MHG, OG. Methodology: SK, IG, EA, HO. Project administration: KCS, FI, MHG. Resources: KCS, FI, MHG. Supervision: IG, EA, HO. Validation: SK, OG, IG. Visualization: KCS, FI, OG. Writing – original draft: KCS. Writing – review & editing: MHG, EA, HO.
Corresponding author
Ethics declarations
Competing interests
The authors declare no competing interests.
Ethics committee approval number
: E-74555795-050.01.04-794309.
Additional information
Publisher’s note Springer Nature remains neutral with regard to jurisdictional claims in published maps and institutional affiliations.
Rights and permissions
Springer Nature or its licensor (e.g. a society or other partner) holds exclusive rights to this article under a publishing agreement with the author(s) or other rightsholder(s); author self-archiving of the accepted manuscript version of this article is solely governed by the terms of such publishing agreement and applicable law.
About this article
Cite this article
Sahin, K.C., Irmak, F., Gultekin, M.H. et al. Intralesional baicalein attenuates fibrosis in a rat model of peyronie’s disease by inhibiting TGF-β1/smad signaling. Int J Impot Res (2025). https://doi.org/10.1038/s41443-025-01197-1
Received:
Revised:
Accepted:
Published:
Version of record:
DOI: https://doi.org/10.1038/s41443-025-01197-1


