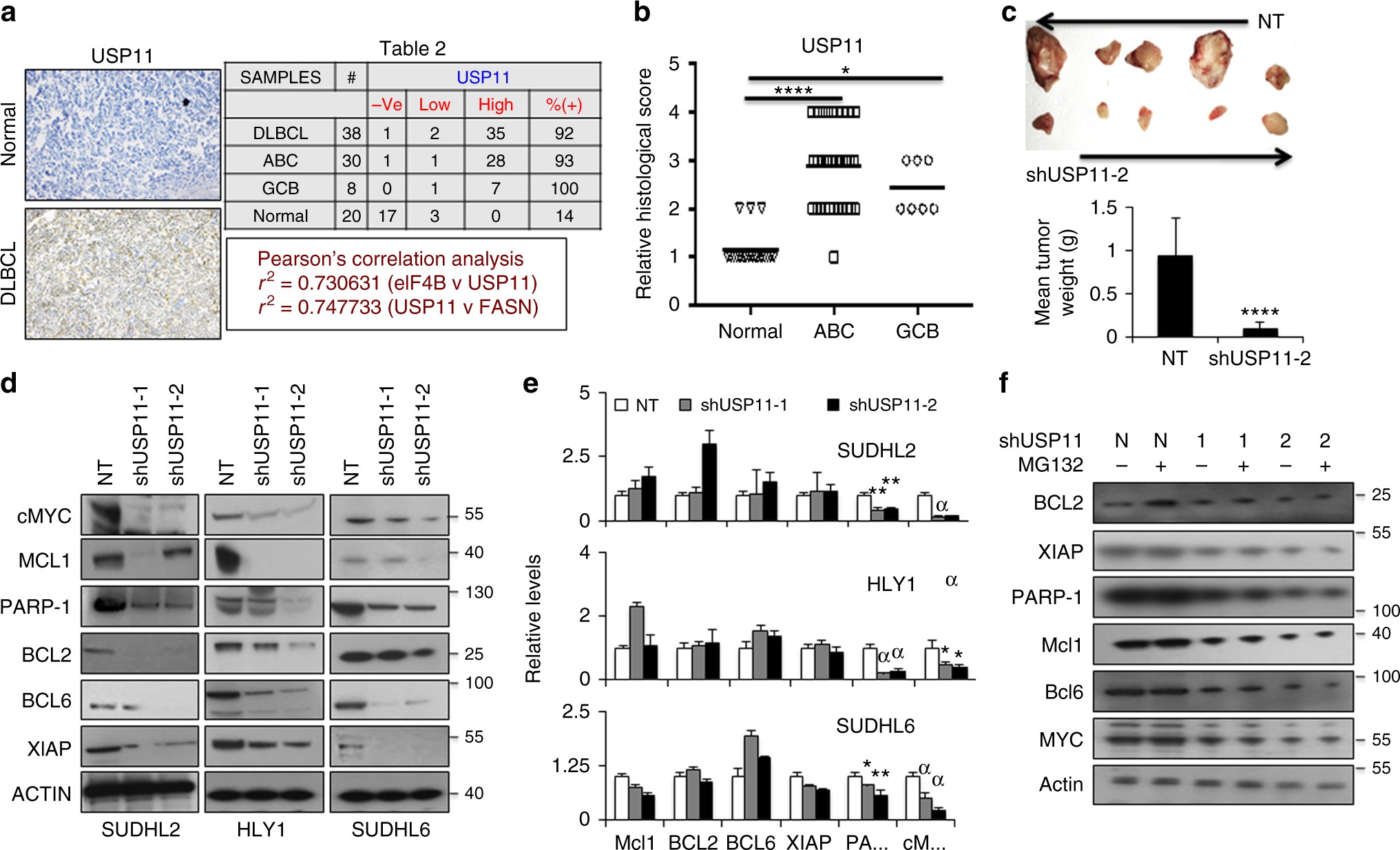
Fig. 6

USP11 promotes DLCBL tumorigenesis. a Representative immunohistochemistry image of TMA slides stained with USP11 antibodies. Summary of the USP11 stained slides for DLBCL and normal reactive lymph node samples. b Representative scatter plots showing the stained signals of USP11 in normal ABC and GC-DLBCL samples. Statistical analysis was performed using Wilcoxon signed-rank test (unpaired two-tailed), *p < 0.05, ****p < 0.001 vs. normal samples. c Images of HLY-1 derived (NT and shUSP11-2 infected cells) tumors and quantified tumor weights. Bar diagram represents mean weight of the tumors. Values were expressed as mean ± SD and statistical analysis was performed using Student’s t-test, ****p < 0.001. d Indicated USP11 knockdown cell lysates were probed with indicated antibodies. Actin was used as loading control. e qRT-PCR analysis for checking mRNA expression of indicated genes in USP11 knockdown cells. Results were normalized with NT infected corresponding cells and expressed as mean ± SD (n = 3). Statistical analysis was performed using Student’s t-test (unpaired two-tailed), **p < 0.01, αp < 0.001 vs. NT infected corresponding cells. f USP11 depleted SUDHL2 cells were treated with MG132 (10 µM) for 2 h and lysates were probed with the indicated antibodies. Actin was used as loading control