Fig. 8

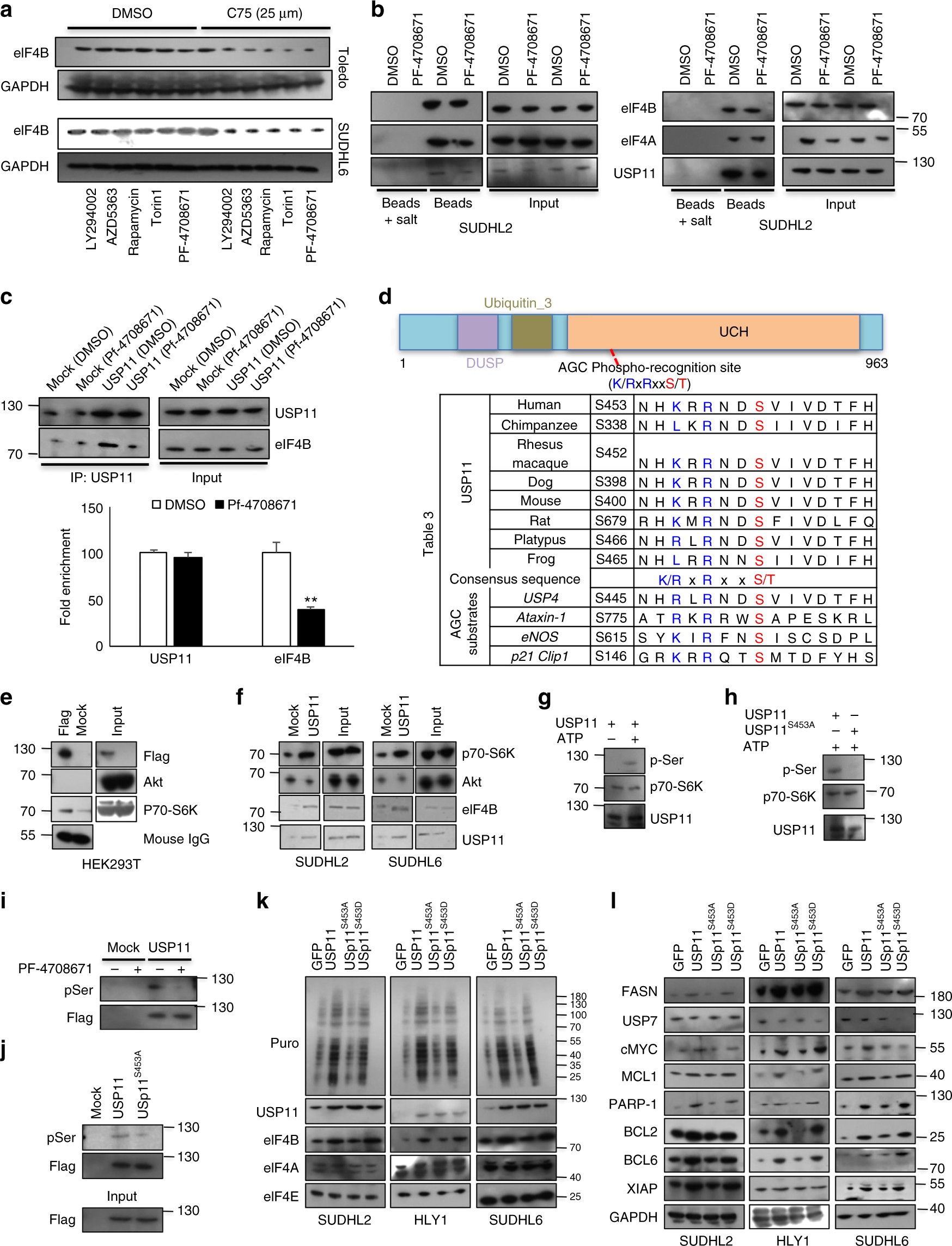
S6Kinase-mediated USP11 phosphorylation regulates its interaction with eIF4B. a Toledo and SUDHL6 were treated with indicated PI3K signaling inhibitors (LY294002: PI3K inhibitor (1 µM), AZD5363: Akt inhibitor (500 nM), Rapamycin: mTOR inhibitor (50 nM), Torin 1: mTOR inhibitor (250 nM), PF-4708671: S6Kinase inhibitor (1 µM)) in presence or absence of C75. Post treatment, cell lysates were probed for eIF4B. GAPDH was used as loading control. b Indicated cells were treated with PF-4708671 (S6Kinase inhibitor: 1 µM) for 4 h. Post-treatment cell lysates were incubated with m7GTP-sepharose beads in presence or absence of m7GTP salt. Co-eluted proteins were resolved and probed for indicating antibodies. c PF-4708671 (S6Kinase inhibitor: 1 µM) treated SUDHL4 cell lysate was subjected to immunoprecipitation with USP11 antibody and probing eIF4B assessed its interaction. d Schematic presentation of protein architecture of USP11. Sequence alignment of AGC substrate consensus sequences within USP11 across different species along with known substrates like USP4, Ataxin-1, eNOS, and p21 Clip1. e 293T cells were transfected with flag-USP11. Cell lysates were incubated with flag beads and co-eluted proteins were detected by immunoblotting. f SUDHL2 and SUDHL6 lysates were subjected to immunoprecipitation with USP11 antibody and co-eluted protein complex was probed with indicated antibodies. g, h Purified USP11 or HA enriched USP11 and its mutants were incubated with active S6Kinase protein in presence and absence of ATP as indicated and phosphor-signals of modified USP11 were captured using pSer antibody. i, j 293T cell transfected with HA-USP11 (i) and/or its mutant (j) and cultured in 20% FBS. Post-transfection, USP11 was enriched with HA beads and phosphor-signals were captured using pSer antibody. k, l DLBCL cells infected with USP11 (wt and indicated mutants) were cultured in presence of puromycin (3 µg/mL) for 30 min and lysed. GFP infected cells were used as corresponding controls. Total cell lysates were resolved and probed with indicated antibodies. GAPDH was used as loading control