Fig. 4
From: Coupling bimolecular PARylation biosensors with genetic screens to identify PARylation targets

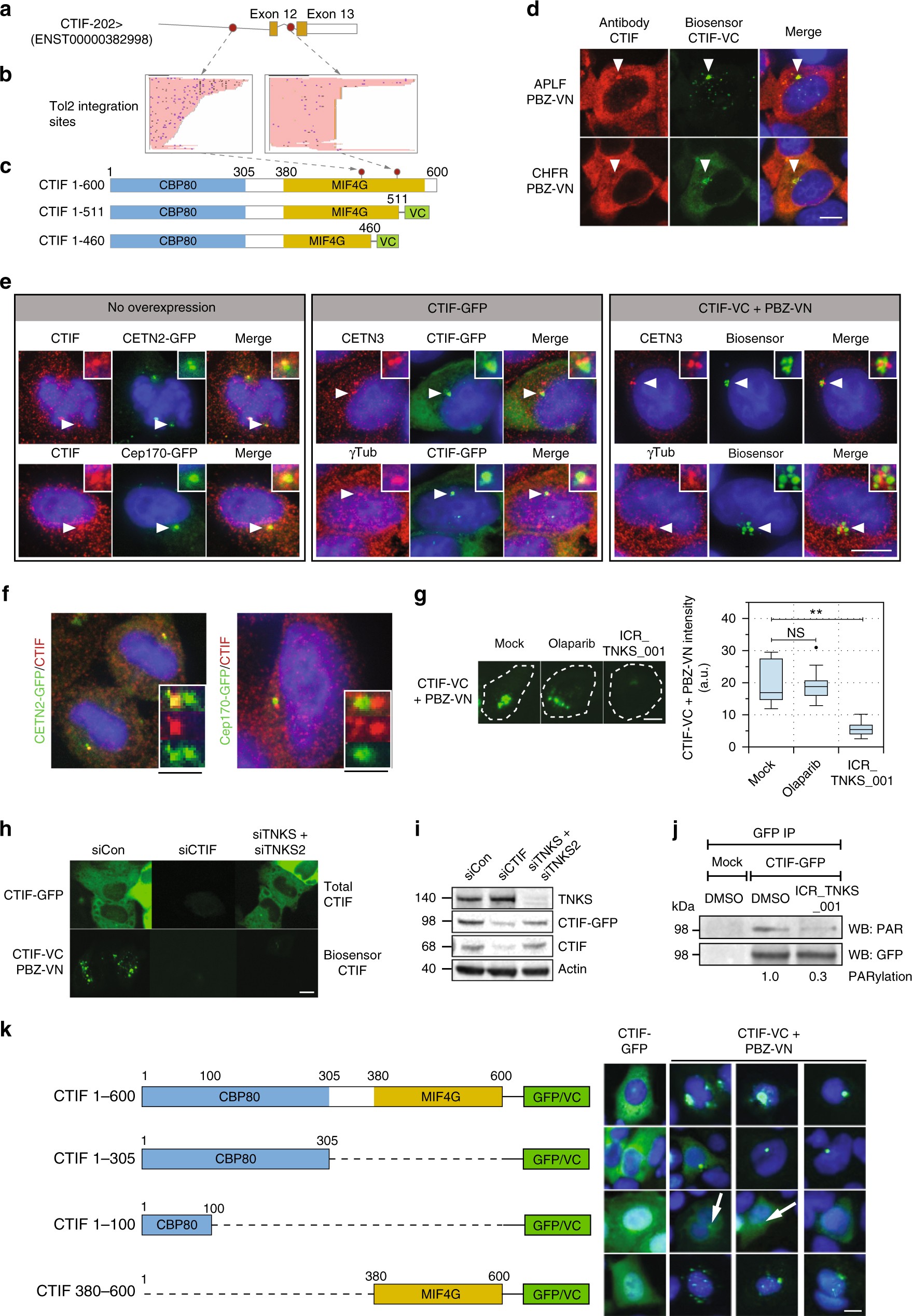
CTIF is PARylated in a TNKS-dependent manner. A schematic of the CTIF 3′ end with Tol2 integration sites (red circles) (a), nrLAM-PCR products (b) and generated CTIF-VC fusion proteins (c) identified in the screen. d CTIF biosensor is localizes to the centrosomal area of the cell (white arrowheads). HeLa cells were transfected with CTIF-VC + PBZ-VN or CHFR-PBZ-VN and immunostained with an anti-CTIF antibody. e CTIF localizes with centrosomal markers. HeLa cells were transfected with centrosome markers CETN2-GFP or Cep170-GFP, and co-stained with anti-CTIF antibody. Cells expressing either CTIF-GFP or (CTIF-VC + PBZ-VN) were co-stained with anti-CETN3 or anti-γTubulin. CTIF-GFP is broadly distributed in the cells, while the CTIF biosensor is surrounding the centrosome. White arrowheads indicate the area that is shown in insets with 2 µm side. f CTIF localizes to the daughter centriole. HeLa cells were transfected with CETN2-GFP (marks both centrioles) or Cep170-GFP (marks the mother centriole), and stained with anti-CTIF antibody. g Tankyrase inhibition reduces CTIF biosensor signal. HeLa cells, expressing CTIF-VC + PBZ-VN, were exposed to olaparib or ICR-TNKS-001. Quantification of the GFP signal over > 20 cells in three independent experiments is shown, NS–not significant, box plot shows quartiles, **Student’s t-test p-values < 0.01. h Tankyrase depletion reduces CTIF biosensor signal, as in g TNKS + TNKS2 siRNA did not reduce CTIF expression (CTIF-GFP). The efficiency of depletion is shown on the western blot in i. j CTIF is a direct PARylation target. CTIF-GFP was immunoprecipitated with anti-GFP antibody and immunoblotted with anti-PAR (10 H) antibody. Uncropped blots are shown in Supplementary Fig. 4F. k CTIF has a N-terminal CBP80 (AA 1-305) and a C-terminal MIF4G (AA 380–600) domain. A deletion series was fused to either full-length GFP or VC sequence. CAL51 cells, expressing GFP-fused variants showed broad cytoplasmic distribution, while the VC-fused ones showed localized patterns. Centrosome signal was observed with the full-length CTIF, and with the N-terminal CBP80 domain, down to the 100 most N-terminal amino acids (white arrows). All constructs were expressed at a similar protein level (Supplementary Fig. 4g). Scale bars represent 5 µm