Fig. 6
From: Identification of dynamic undifferentiated cell states within the male germline

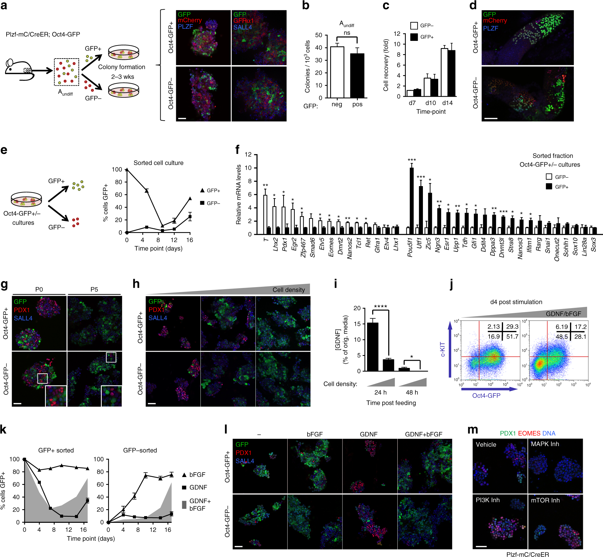
Aundiff heterogeneity during culture. a Oct4-GFP− and GFP+ Aundiff from Plzf-mC/CreER; Oct4-GFP adults placed in culture and analysed 2–3 weeks later. Right: IF of colonies (n = 2 per fraction). Scale bar, 50 μm. b Mean colony-forming efficiency of Oct4-GFP− and GFP+ Aundiff ± s.e.m. from a (n = 6 mice). c Cultures from Oct4-GFP− and GFP+ Aundiff plated at 25 × 103 per well and counted at indicated timepoints. Mean recovery ± s.e.m. shown. d Cultures from Oct4-GFP− and GFP+ Aundiff transplanted and analysed 8 weeks later by IF. Representative colonies shown (2 sets of lines) (n = 11 testes Oct4-GFP− and n = 9 testes Oct4-GFP+). Scale bar, 100 μm. e Cultures from Oct4-GFP− and GFP+ Aundiff sorted by GFP and plated at 25 × 103 per well. GFP+ cells determined by flow cytometry. Mean ± s.e.m. shown (n = 6 cultures). f qRT-PCR of GFP+ and GFP− cells from Oct4-GFP− and GFP+ Aundiff cultures. Expression corrected to β-actin and normalized so mean of GFP− or GFP+ fractions equals 1. Mean ± s.e.m. shown (n = 4 cultures). g Representative IF of primary colonies (P0) and passage 5 (P5) cultures from Oct4-GFP− and GFP+ Aundiff (n = 4 lines). Scale bar, 50 μm. h Cultures from Oct4-GFP− and GFP+ Aundiff plated at increasing densities (10 × 103, 100 × 103 and 200 × 103 cells/well) and analysed 7–10 days later. Representative IF shown (n = 4 lines). Scale bar, 50 μm. i Cultures from Oct4-GFP− and GFP+ Aundiff plated at low and high densities (20 × 103, 200 × 103 cells/well) and cultured for 2 weeks. Conditioned media was collected at indicated times (hours) after media replenishment for ELISA. Mean GDNF levels are shown as percentage of starting levels ± s.e.m. (n = 4 cultures). j Cultures from Oct4-GFP− Aundiff (20 × 103 cells/well) switched to media containing reduced GDNF and bFGF (1 ng/ml, left) or maintained with regular media (right) for 4 days. Representative flow cytometry shown. k Cultures from Oct4-GFP− and GFP+ Aundiff sorted according to GFP and plated (10 × 103 cells/well) in media with GDNF but no bFGF (GDNF) or bFGF without GDNF (bFGF). Cells analysed at indicated timepoints by flow cytometry. Mean percentage of cells GFP+ ± standard deviation (s.d.) (n = 3 replicates) from representative experiment shown. Grey plots: mean values in regular media (GDNF+ bFGF). l Cultures from Oct4-GFP− and GFP+ Aundiff (20 × 103 cells/well) grown 3 days in regular media switched to media without GDNF or bFGF (−), bFGF without GDNF (bFGF), GDNF without bFGF (GDNF) or regular medium (GDNF+ bFGF) then analysed by IF after 2 weeks. Representative images shown (n = 2 lines). Scale bar, 50 μm. m Plzf-mC/CreER cultures incubated in media containing indicated inhibitors (Inh) for 4 days prior to IF. Representative images shown (n = 2 lines). Scale bar, 50 μm. Two-tailed Student’s t-test used (*P < 0.05, **P < 0.01, ***P < 0.001, ****P < 0.0001)