Fig. 7
From: Act1 is a negative regulator in T and B cells via direct inhibition of STAT3

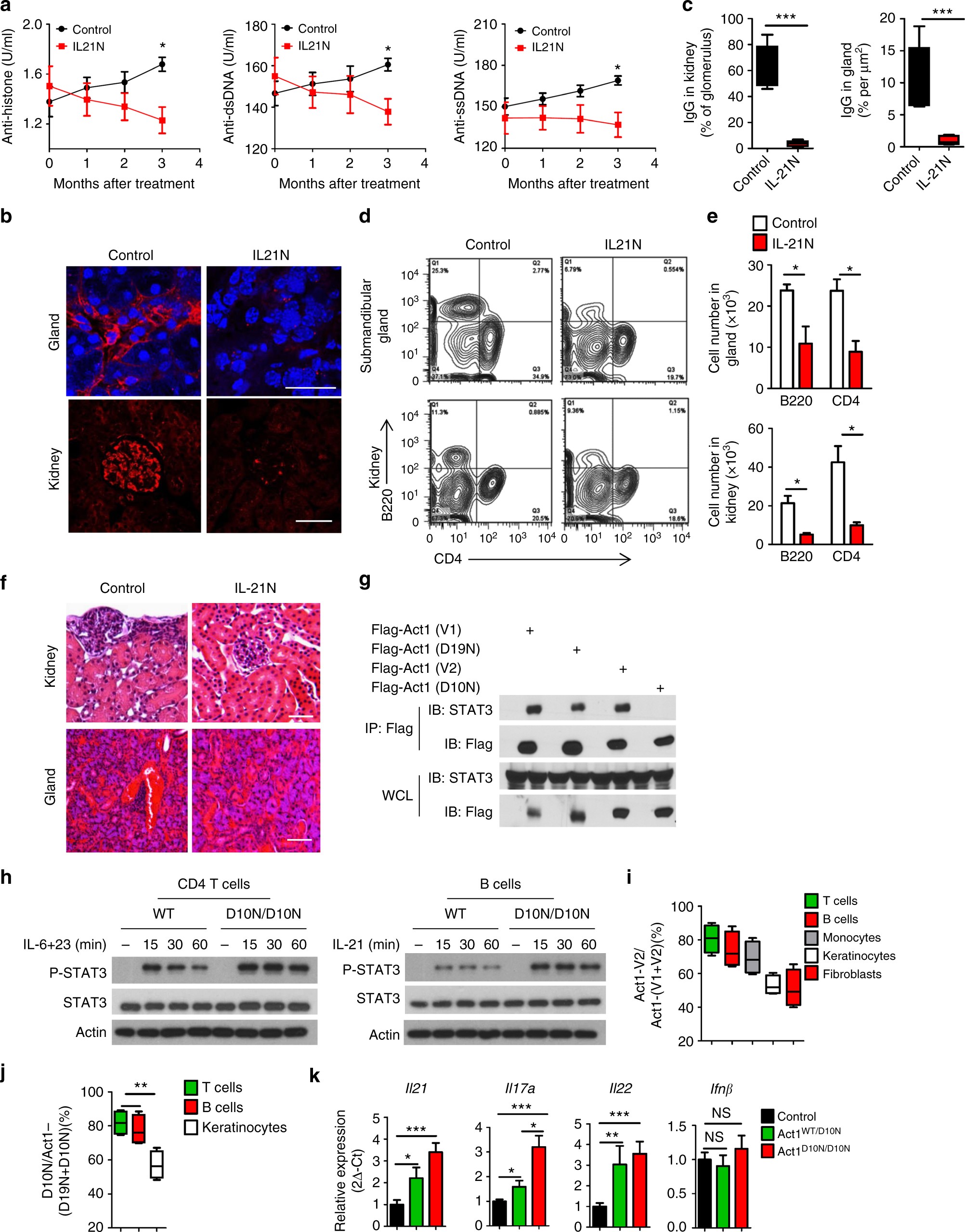
Neutralization of IL-21 attenuates the autoimmune diseases in Act1−/− mice. 4-month-old SPF Balb/c Act1−/− mice were treated with anti-IL21 or lgG control for additional 3 months. a Serum samples were obtained from Act1−/− mice treated with anti-IL-21 or IgG control and analyzed for levels of anti-histone, anti-dsDNA, anti-ssDNA autoantibodies, and immunoglobulin antibodies. b Kidneys and submandibular glands were harvested and quick frozen in OCT, followed by immunofluorescence staining for IgG (red). Scale bars, 50 µm. c Quantification of lgG deposit in kidney and gland. d Flow cytometry analysis of CD45+B220+ cells and CD45+CD4+ cells from kidney and submandibular gland of SPF Act1−/− mice treated with anti-IL-21 or IgG control. e Quantification of CD45+B220+ cells and CD45+CD4+ cells from submandibular gland and kidney. f Frozen section of kidney and gland from SPF mice were stained with H&E. g The indicated Act1 variants were transfected into HeLa cells, followed by co-immunoprecipitation and western analyses with the indicated antibodies. h Western blot analysis of IL-6 + IL-23-induced p-STAT3 in CD4+ T cells and IL-21-induced p-STAT3 in B cells from ACT1WT/WT or ACT1D10N/D10N. i, j RT-PCR analysis of ACT1-v1 and ACT1-v2 in indicated human cells from control donors (i) or T, B cells and fibroblasts from an ACT1D10N/D10N patient (j). k RT-PCR analysis of Il17a, Il22, Il21, and Ifnβ expression in human PBMCs from controls, ACT1WT/D10N or ACT1D10N/D10N individuals ACT1D10N/D10N patients. N = 4–6/group. *p < 0.05, **p < 0.01, ***p < 0.001. Two-tailed Student’s T test. All the data presented were from two independent experiments