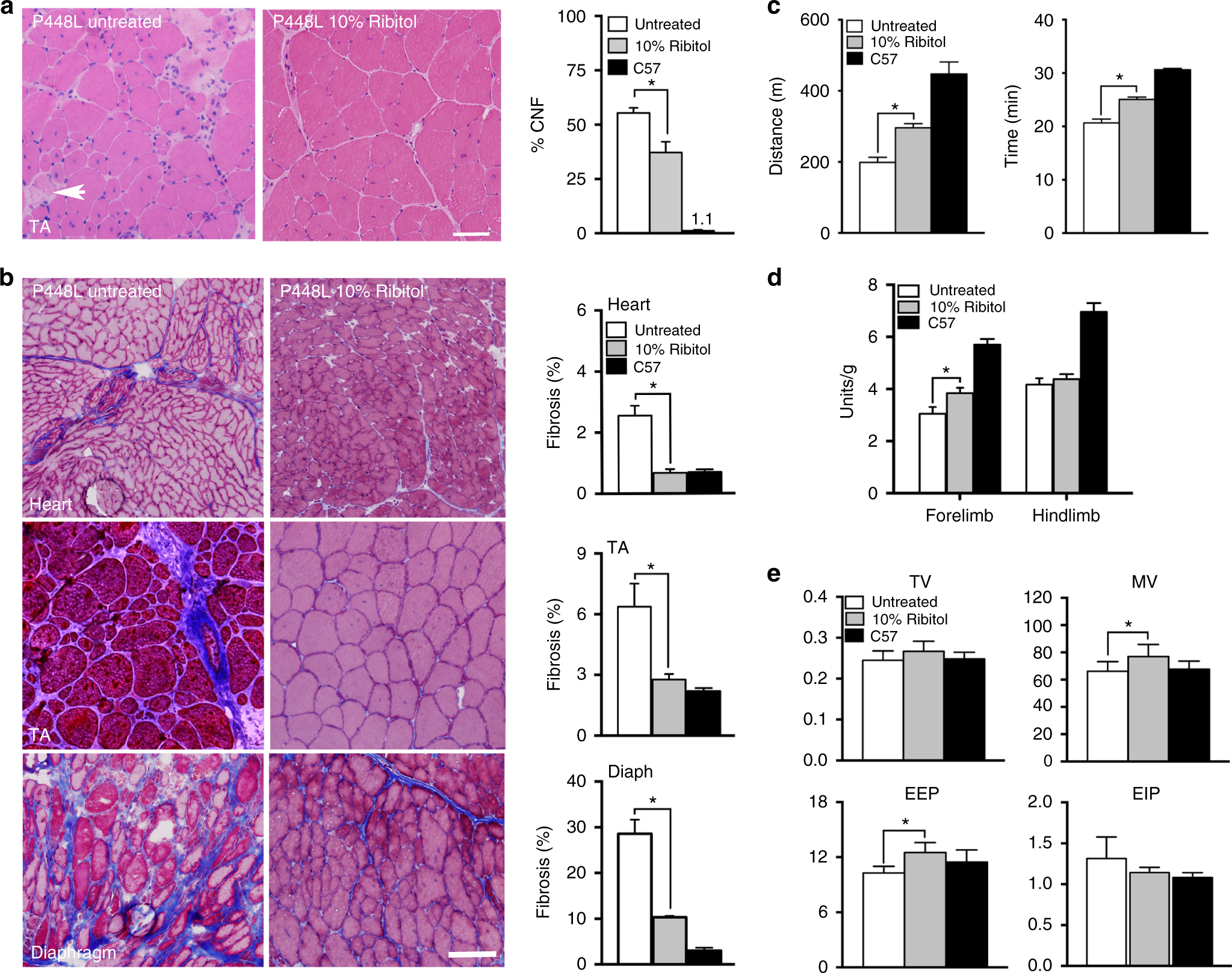
Fig. 7

Effect of 10% ribitol treatment from pregnancy on histopathology and muscle function of P448L mice. Mice were treated from pregnancy to 19 weeks of age. Control P448L mice were given drinking water only. a H&E staining of tibialis anterior (TA) tissues from either untreated or 10% ribitol-treated P448L mice. Arrow indicates the degenerating fibers. Scale bar, 50 μm. Percentage of centrally nucleated fibers (% CNF) in TA muscles treated with 10% ribitol or aged-matched untreated P448L and C57 mice (n = 3 for all cohorts). b Masson’s Trichrome staining of heart, TA (tibialis anterior), and diaphragm. Blue represents area of fibrosis. Percentage of fibrotic areas quantified from the treated and age-matched untreated P448L and C57 (n = 3 for all cohorts) mice. c Treadmill exhaustion test assessing distance (m) and running time (min) in untreated (n = 10) or 10% ribitol-treated (n = 15) P448L mutant and C57 mice (n = 10) at the age of 17 weeks. Unpaired t test, *p ≤ 0.05. d Grip strength test in untreated (n = 10) or 10% ribitol-treated (n = 15) P448L and C57 mice (n = 10) at the age of 18 weeks. Force (Units) is normalized to body weight (g). e Respiratory function from untreated (n = 10) or 10% ribitol-treated (n = 15) P448L and C57 control mice (n = 10) at 18 weeks of age (TV tidal volume, MV minute volume, EEP end-expiratory pause, EIP end-inspiratory pause). Error bars represent mean ± SEM. Unpaired t test, *p ≤ 0.05