Fig. 5
From: Nucleolar fibrillarin is an evolutionarily conserved regulator of bacterial pathogen resistance

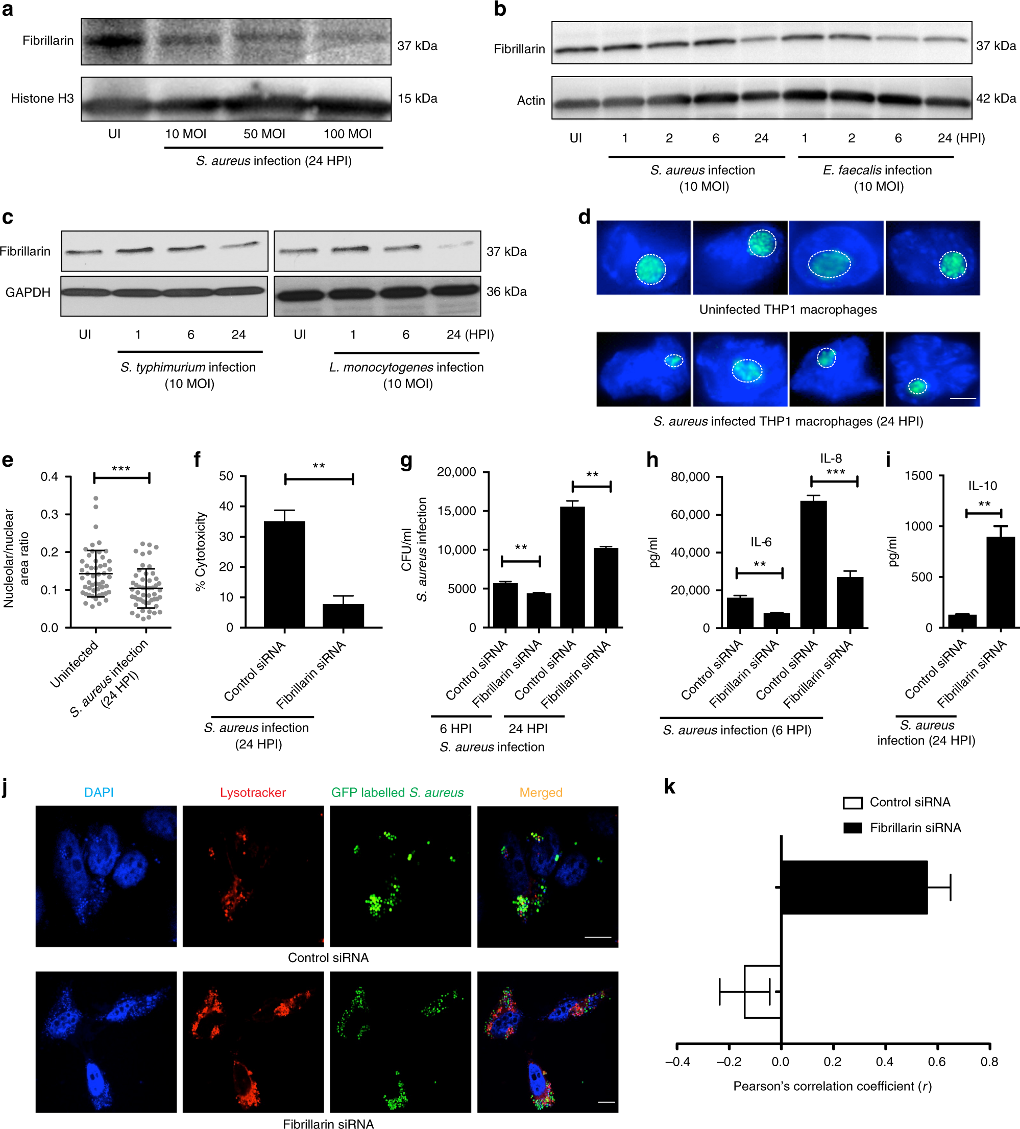
Fibrillarin reduction protects mammalian cells against bacterial pathogens. a S. aureus infection leads to a reduction of fibrillarin levels in HeLa cells. b, c Mouse bone marrow-derived macrophages show a reduction in fibrillarin 24 h post infection with S. aureus, E. faecalis, S. typhimurium and L. monocytogenes. d, e Twenty-four hours of S. aureus infection leads to a reduction in nucleolar size of THP1 macrophages. Error bars represent mean ± s.d. f Fibrillarin siRNA reduces cytotoxicity relative to control siRNA after 24 h of S. aureus infection (MOI 10) in murine bone marrow-derived macrophages. Error bars represent mean ± s.e.m., unpaired t-test. g Fibrillarin siRNA leads to a better clearance of intracellular pathogens thereby lowering the number of CFU per mL after 6 and 24 h of S. aureus infection (MOI 10) in murine bone marrow-derived macrophages. Error bars represent mean ± s.e.m., unpaired t-test. h Six hours after S. aureus infection, ELISA results show a decrease in pro-inflammatory cytokines interleukin 6 and 8 after fibrillarin siRNA treatment in HeLa cells. Error bars represent mean ± s.e.m., unpaired t-test. i ELISA results show an increase in anti-inflammatory cytokine interleukin 10, 24 h post infection with S. aureus upon fibrillarin knockdown in mouse bone marrow-derived macrophages. Error bars represent mean ± s.e.m, unpaired t-test. j, k HeLa cells infected with GFP-labeled S. aureus and stained with lysotracker show increased co-localization of bacteria with lysosomes in cells treated with fibrillarin siRNA. **P < 0.01, ***P < 0.001, unpaired t-test. Scale bars represent 4 (d) and 10 μm (j). UI uninfected, HPI hours post infection, MOI multiplicity of infection