Fig. 3
From: Precisely controlling endogenous protein dosage in hPSCs and derivatives to model FOXG1 syndrome

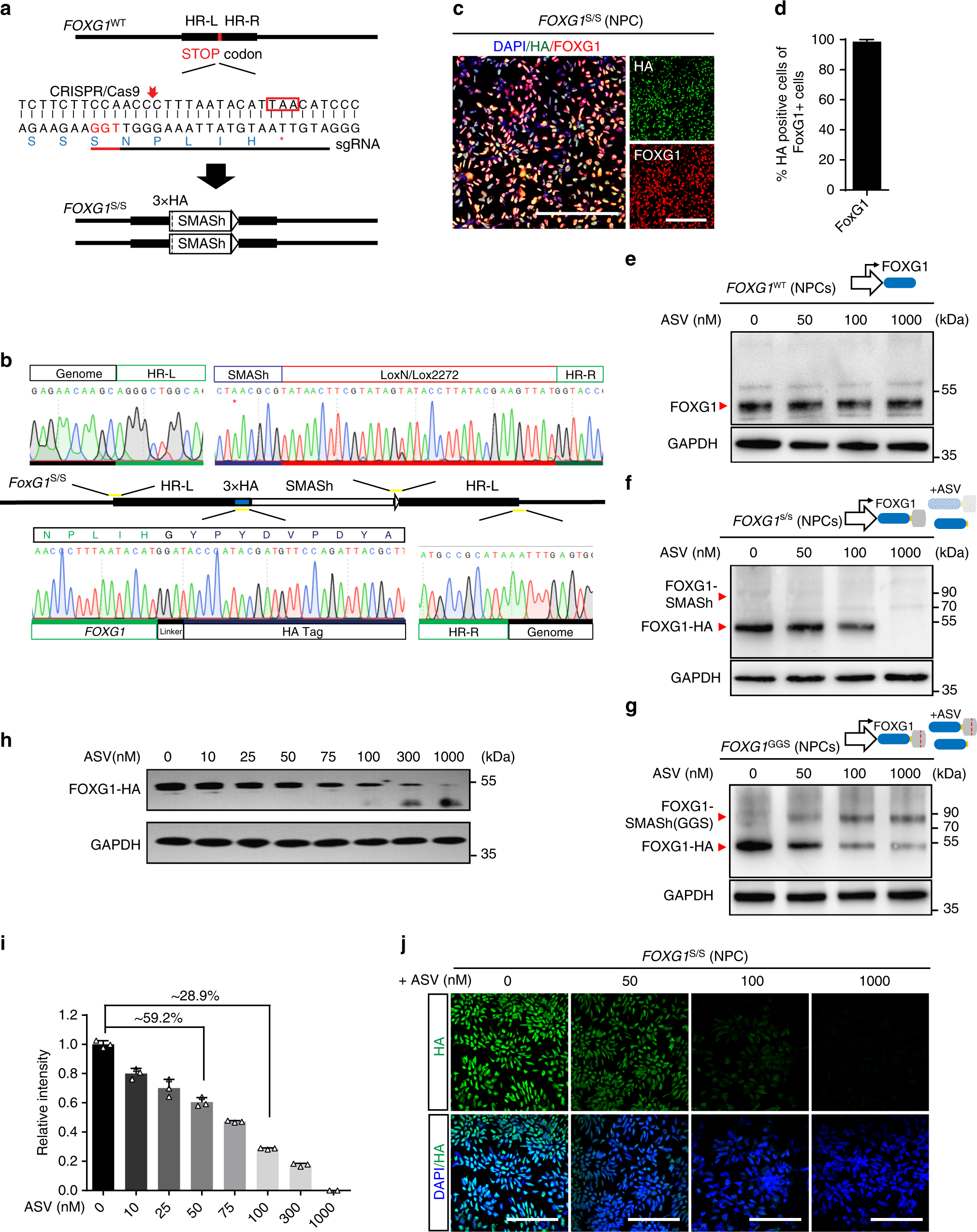
Generation and characterization of SMASh tagged FOXG1 hESCs. a Strategy for generation of FOXG1s/s hPSC lines using CRISPR/Cas9. b Sanger sequencing of DNA fragment of a representative FOXG1s/s hESC colony showing the integration of HA-SMASh. c, d Immunofluorescence images (c) and quantification (d) (nâ=â5 experimental replicates) of cortical neuronal progenitors derived from FOXG1s/s hESCs for FOXG1 (red) and HA (green). eâg Western blotting for FOXG1 protein of WT hESC-derived NPCs (e), FOXG1s/s hESC-derived NPCs (f) and FOXG1-GGS hESC-derived NPCs (g) under the treatment of ASV (0, 50, 100â, and 100ânM). h, i Western blot (h) and intensity analysis (i) (nâ=â3 experimental replicates) for FOXG1 protein of FOXG1s/s hESC-derived NPCs under treatment with different concentration of ASV (0, 10, 25, 50, 75, 100, 300, and 1000ânM). j Immunofluorescence images of FOXG1-expressing telencephalic progenitors for HA (green), DAPI (blue) upon treatment with different concentration of ASV (0, 50, 100, and 1000ânM), showing dosage regulation of FOXG1 protein. All error bars represent meanâÂħâs.e.m. All scale bars 100âÎĵm. Source data are provided as a Source Data file