Fig. 8
From: Primary tumor-induced immunity eradicates disseminated tumor cells in syngeneic mouse model

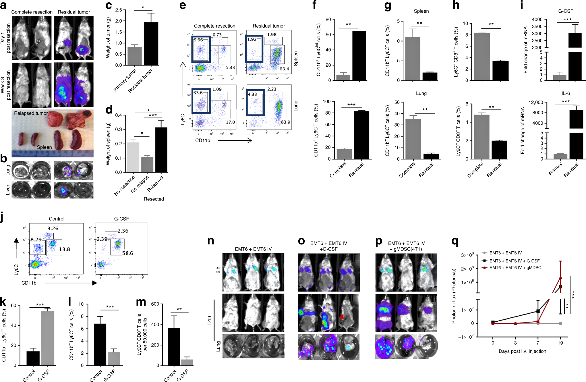
Residual tumors promote local tumor growth and the outgrowth of DTCs. a–d Mice with residual tumors following surgical resection show a rapid growth of relapsed tumors, enlarged spleen, and promotes metastatic outgrowths compared with mice without residual tumors or primary tumor-bearing mice. *P < 0.05, ***P < 0.0005, one-way analysis of variance test. e, f Granulocytic MDSC population defined by CD11b+Ly6Cint phenotype is significantly expanded. g, h Ly6C+CD8+ T-cell subset out of CD11b−Ly6C+ population is significantly reduced in the spleens and lungs of mice with residual tumors compared with those from tumor-free mice. i G-CSF and IL6 expressions are increased by several 1000-fold in residual tumors compared with the primary tumor. j–m Administration of recombinant G-CSF (40 µg/mouse) in EMT6-primed mice induced the gMDSC accumulation and suppression of effector T cells with CD8 + Ly6C + phenotype. **P < 0.005, ***P < 0.0005, two-tailed Student’s t test. n–q Administration of recombinant G-CSF or adoptive transfer of gMDSCs from 4T1 tumor-bearing mice (100K cells injected twice via tail vein) promotes the growth of distant tumor cells. Results are presented as mean ± SD (n = 3). **P < 0.005, ***P < 0.0005, two-way analysis of variance test