Fig. 8

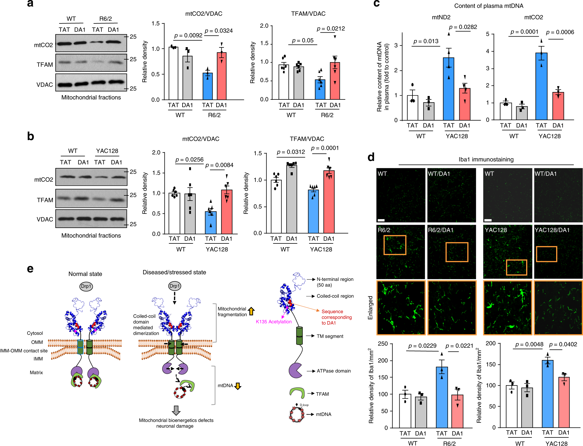
DA1 treatment reduces mtDNA damage in HD mice. Mitochondria were isolated from striatum of R6/2 or age-matched wildtype mice (12 weeks old) (a), and YAC128 or age-matched wildtype mice (6 months old) (b). Protein levels of mtCO2 and TFAM were determined by WB. VDAC: a mitochondrial loading control. Histogram: the relative density of mtCO2 and TFAM to VDAC. n = 3–6 mice/group. One-way ANOVA with Tukey’s post-hoc test. c Plasma samples were harvested from YAC128 mice or wildtype mice (6 months old). The mtDNA content in plasma was examined by qPCR. One-way ANOVA with Tukey’s post-hoc test. n = 6 mice/group. d Brain coronal sections (10 µm) of R6/2 (left, 12 weeks old) or YAC128 (right, 6 months old) mice were stained with anti-Iba1 antibody to determine microglial activity. Boxed images were enlarged on the bottom. Scale bar: 10 μm. Histogram: the quantitation of Iba1 immunodensity/mm2. n = 3 mice/group. ANOVA with Tukey’s post-hoc test. All data are mean ± SEM. e A summary scheme. Under stressed conditions, such as HD, ATAD3A forms oligomers due to K135 deacetylation via its coiled-coil domain, and recruits fission protein Drp1 to the mitochondria where ATAD3A and Drp1 form a complex. This leads to mitochondrial fragmentation. ATAD3A oligomerization impairs mtDNA maintenance by disrupting the binding between TFAM and mtDNA, resulting in the loss of mtDNA and subsequent mitochondrial bioenergetics defects. As a result, ATAD3A oligomerization simultaneously causes mitochondrial fragmentation and mitochondrial bioenergetics defects, which lead to mitochondrial dysfunction and neuronal cell death. DA1 peptide directly binds to ATAD3A to block ATAD3A and Drp1 interaction. Treatment with DA1 quenches ATAD3A oligomerization which therefore reduces excessive mitochondrial fission and the loss of mtDNA. Consequently, treatment with DA1 both in HD cultures and in HD animals reduces HD-associated neuropathology