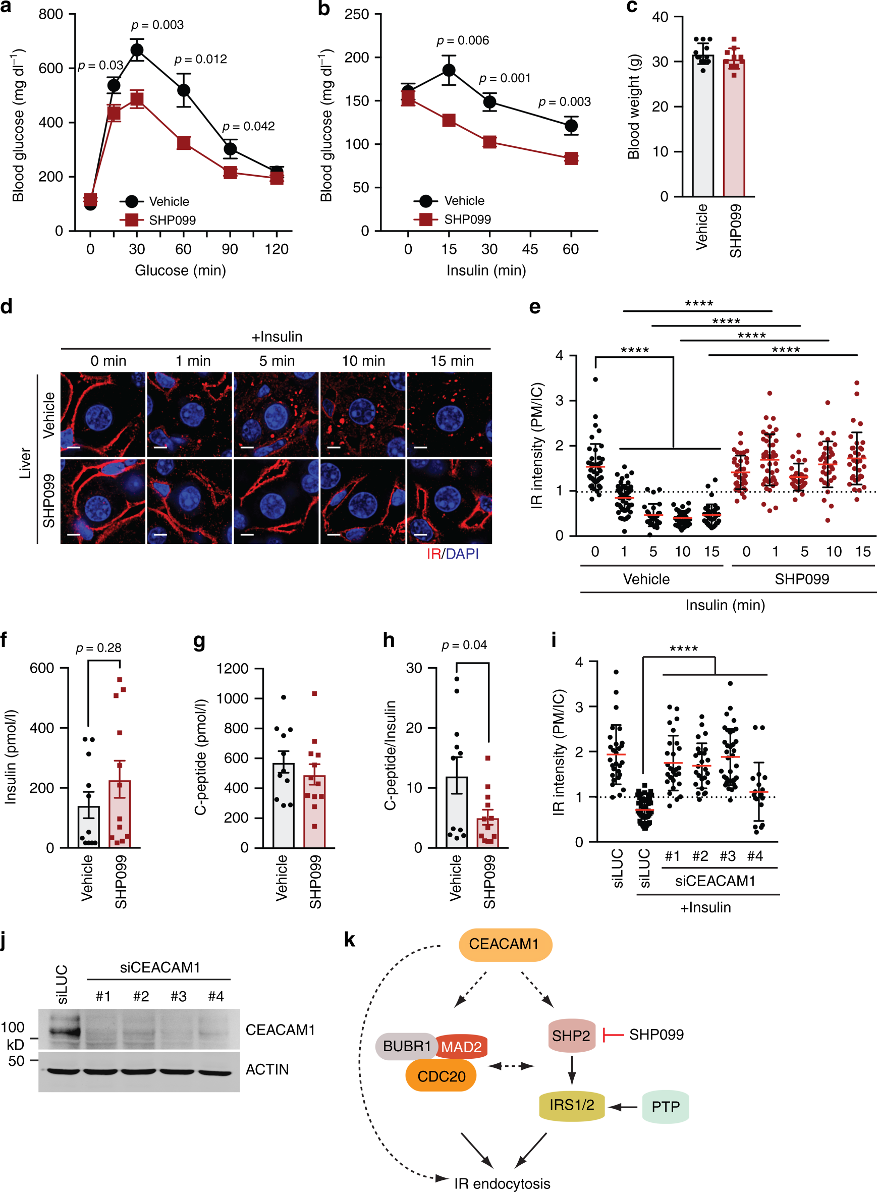
Fig. 7

SHP2 inhibition delays IR endocytosis and improves insulin sensitivity in mice. a, b Glucose tolerance test (a) and insulin tolerance test (b) of male mice fed HFD for 5 weeks. The mice were administered vehicle or SHP099 for 6 days. At 1 day after the last drug administration, experiments were performed. For GTT (a), vehicle, n = 12; SHP099, n = 10; for ITT (b), vehicle, n = 11; SHP099, n = 10; mean ± s.e.m; two-tailed unpaired t test. c Body weight of mice administered vehicle or SHP099 at 7 days post administration. Mean ± s.d. d HFD-fed mice were administered vehicle or SHP099 for 5 days. The mice were fasted overnight and again administered vehicle or SHP099. At 2 h after the last administration, the mice were injected with or without 1 U insulin via inferior vena cava. The livers were collected at the indicated time points and the sections were stained with anti-IR (red) and DAPI (blue). Scale bars, 5 μm. e Quantification of the ratios of plasma membrane (PM) and intracellular compartments (IC) IR signals of the livers in d (vehicle, 0 min, n = 43; 1 min, n = 54; 5 min, n = 27; 15 min, n = 36 and SHP099, 0 min, n = 35; 1 min, n = 43; 5 min, n = 30; 10 min, n = 33; 15 min, n = 33; mean ± s.d.; ****p < 0.0001; two-tailed unpaired t test). f–h The levels of fasting serum insulin (f) and C-peptide (g), and the ratio of C-peptide:insulin (h) in mice fed HFD for 5 weeks. The mice were administered vehicle or SHP099 for 6 days. Vehicle, n = 11; SHP099, n = 12. i HepG2 cells stably expressing IR-GFP were transfected with CEACAM1 siRNAs, serum starved, treated without or with 100 nM insulin form 5 min, and stained with anti-GFP and DAPI. Quantification of the ratios of PM and IC IR-GFP signals of cells was shown (siLUC, n = 28; siLUC + Ins, n = 49; siCEACAM1 #1 + Ins, n = 27; siCEACAM1 #2 + Ins, n = 25; siCEACAM1 #3 + Ins, n = 35; siCEACAM1 #4 + Ins, n = 18; mean ± s.d.; ****p < 0.0001; two-tailed unpaired t test). j Western blot analysis of cell lysates in i. k Model of the regulation of insulin-activated IR endocytosis. Source data are provided as a Source Data file