Fig. 3
From: Mad1 destabilizes p53 by preventing PML from sequestering MDM2

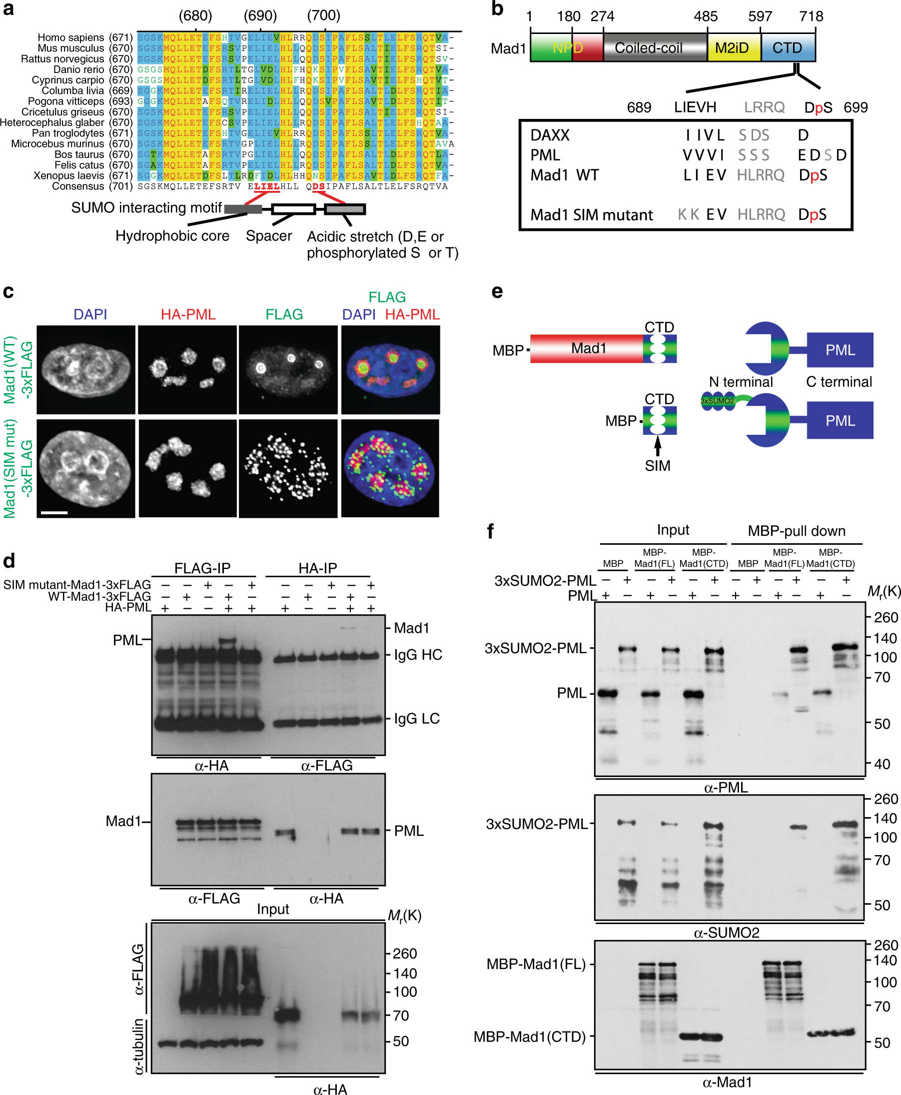
A conserved SIM within the Mad1 CTD is necessary for Mad1 localization to PML NBs. a Alignment of a portion of the Mad1 CTD protein sequence showing a conserved putative SIM. Residues identical in all species are shown in yellow. Residues conserved in a majority of species are shown in blue. Functional components of SIMs are shown in the schematic underneath. Putative Mad1 SIM residues conserved between species are shown in bolded red font. b Sequence alignment of the putative SIM within the Mad1 CTD and known SIMs in PML and DAXX. Red lowercase p indicates the serine is phosphorylated. c Mutation of the SIM disperses Mad1 from PML NBs. HeLa cells co-transfected with FLAG-tagged wild type (WT) or SIM mutant Mad1 and HA-tagged PML were analyzed 36 h after transfection using Mad1 and HA antibodies. The leucine and isoleucine residues at positions 689 and 690 were mutated to lysines to generate SIM mutant Mad1. Scale bar, 2.5 µm. d Reciprocal immunoprecipitations showing the interaction between Mad1 and PML is dependent on the Mad1 SIM. 293T cells were co-transfected with HA-tagged PML and FLAG-tagged WT or SIM mutant Mad1. 48 h later, cells were lysed and FLAG or HA antibodies used for immunoprecipitation. A single film for both experiments is shown. Blot is representative of 3 independent experiments. e Schematic of proteins and protein fragments used in (f). Sumoylation of PML was simulated by fusing a 3xSUMO2 chain to the N terminus of PML. f MBP pull-down experiments showing both full length Mad1 and the CTD of Mad1 interact with PML directly and that this interaction is enhanced by sumoylation of PML