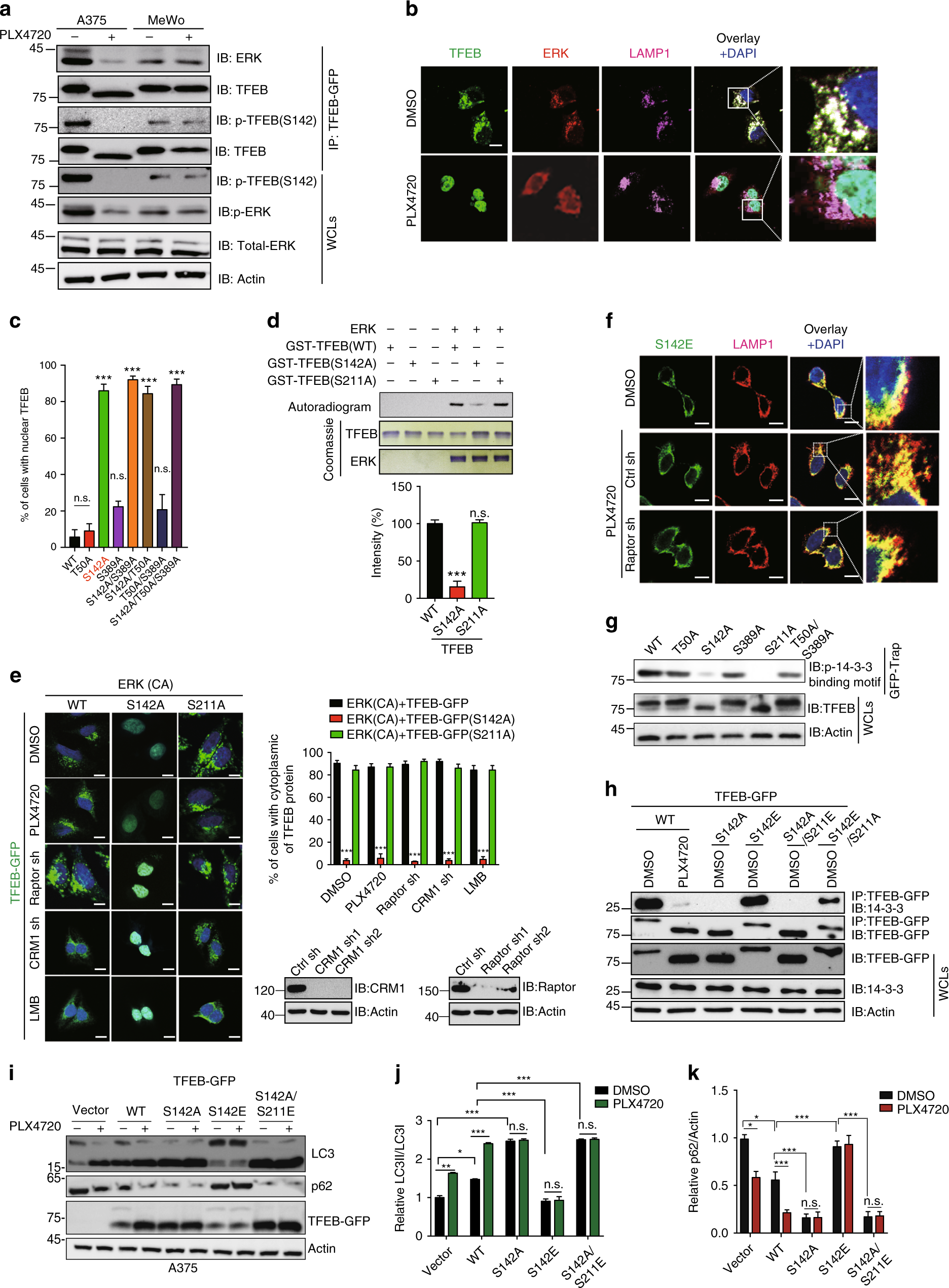
Fig. 3

TFEB S142 phosphorylation in BRAFV600E melanoma cells. a PLX4720 inhibits TFEB-ERK interaction and TFEB S142 phosphorylation. A375 and MeWo cells expressing TFEB-GFP were treated with PLX4720 (1 μM, 12 h), and WCLs were IP with anti-GFP-Trap beads, followed by IB with the indicated antibodies. n = 3. b PLX4720 releases ERK and TFEB from the lysosomes. n = 3. c Quantification of nuclear localization of TFEB-GFP in A375 cells expressing indicated TFEB mutants. n = 3. d In vitro phosphorylation of WT or TFEB mutants by ERK (CA). Phosphorylated TFEB were detected by autoradiography (top). The same gel was stained with Coomassie Blue to visualize total proteins (middle). Relative fold change in TFEB phosphorylation was quantified (bottom). e Representative images and quantification of cytoplasmic retention of WT, S142A, and S211A TFEB in A375 cells expressing ERK(CA) w/ or w/o treatment of PLX4720, Leptomycin B (LMB; 20 nM, 2 h), Raptor- or CRM1-shRNA. n = 3. f TFEBS142E associates with the lysosomes regardless of the treatment of PLX4720 or Raptor-shRNA. n = 3. g S142A mutation reduces phosphorylation of the 14-3-3-binding motif in TFEB. WT or mutant TFEB-GFP was expressed in A375 cells and IP with GFP-Trap beads, followed by IB with the indicated antibody. n = 3. h The predominant role of S142 phosphorylation over S211 phosphorylation in TFEB interaction with 14-3-3. A375 cells as indicated were treated with PLX4720, followed by IP with GFP-Trap beads and IB for the indicated proteins. n = 3. i-k IB (i) and quantification of the LC3-II/LC3-I (j) and p62/Actin ratios (k) in A375 cells expressing WT/mutant TFEB w/ or w/o PLX4720 treatment. n = 3. Scale bars, 10 μm. Data in a, d, g, h, and i are from one that is representative of three independent experiments. For all quantification, data represent the mean ± SD derived from the indicated number of independent experiments. Comparisons were made using Student’s t-test. *P < 0.05; **P < 0.01; ***P < 0.001; n.s. not significant. See Supplementary Fig. 13 for uncropped data of a, e, h, i