Fig. 4
From: WWP2 regulates pathological cardiac fibrosis by modulating SMAD2 signaling

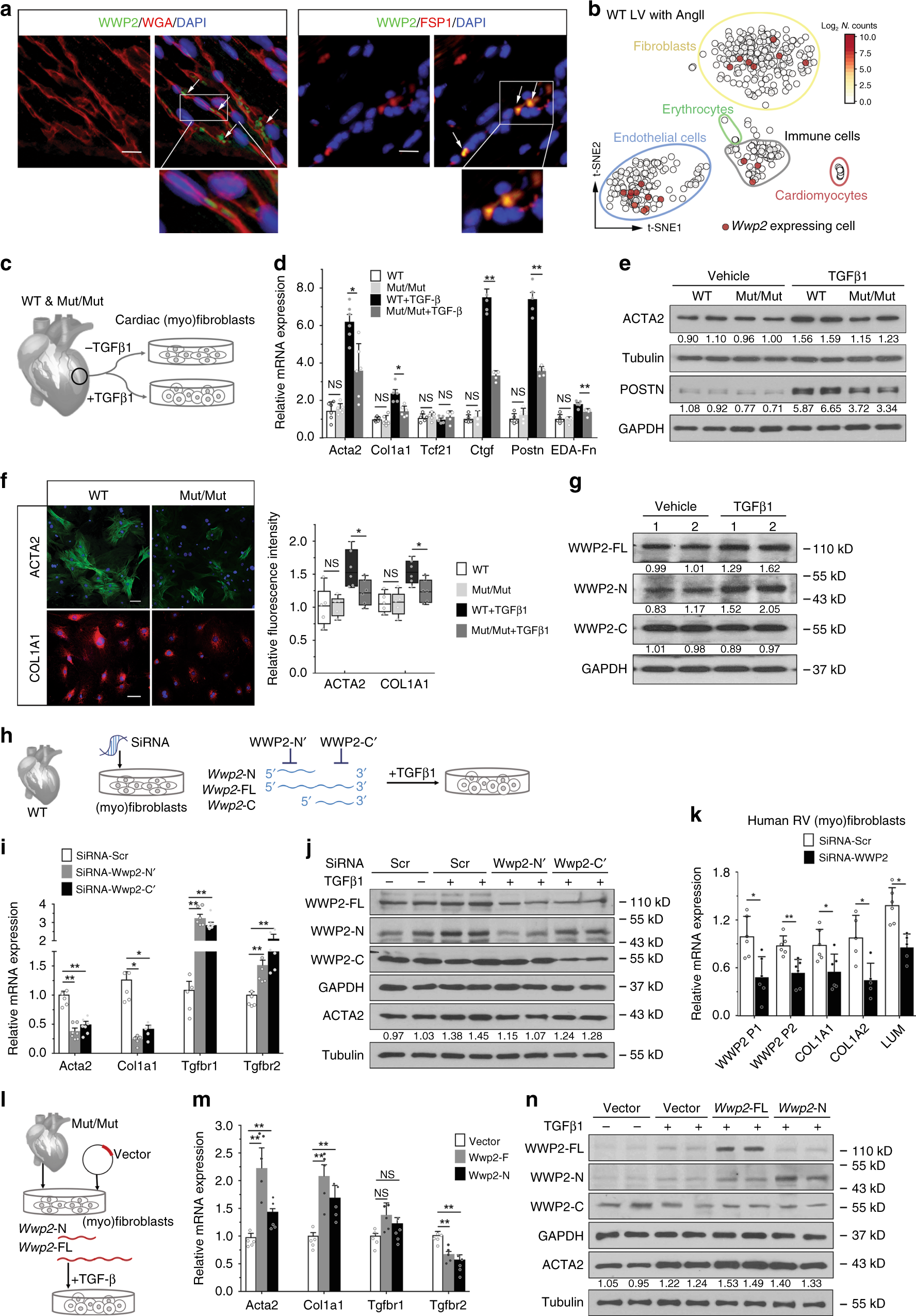
WWP2 regulates pro-fibrotic gene activity in primary cardiac fibroblasts. a Immunofluorescence images of LV-section staining from WT mice after AngII infusion, showing WWP2 expression (green, arrow) in non-myocytes (Left); WWP2 co-localization with FSP1-positive cells (red, arrow; Right). Scale bar: 40 μm. b t-SNE displaying LV single-cell RNA-seq data (508 cells detected) in WT mice after AngII infusion. Each dot corresponds to a single-cell, colored by Wwp2 expression level (Log2 normalized counts). Different cell subpopulations detected in mouse heart are indicated. c Primary cardiac (myo)fibroblasts were taken from LV in WT and WWP2Mut/Mut mice and modeled in vitro by incubation with TGFβ1 (5 ng/ml, 72 h). d Relative mRNA expression (normalized to 18S) of ECM and pro-fibrotic marker genes (Acta2, Col1a1, Tcf21, Ctgf, Postn, and EDA-Fn) in primary cardiac (myo)fibroblasts (n = 5–6 for each group). e WB of ACTA2 and POSTN protein expression in WT and WWP2Mut/Mut cardiac (myo)fibroblasts. f Representative microscopy images (left) and quantification analysis (right) with immunostaining for ACTA2 and COL1A1 after TGFβ1 stimulation in WT and WWP2Mut/Mut cardiac (myo)fibroblasts (five biological replicates, nine images each; box-and-whisker plots). g Representative WB of WWP2-FL, WWP2-N and WWP2-C isoforms expression in cardiac (myo)fibroblasts after 72 h TGFβ1 stimulation. h WT cardiac (myo)fibroblasts were incubated with TGFβ1 (72 h) and siRNA pools (SiRNA-Wwp2-N′ and SiRNA-Wwp2-C′) against 5′- or 3′-region of Wwp2 mRNA. i WT (myo)fibroblasts, SiRNAs-Wwp2-N′/C′ attenuated TGFβ1-induced pro-fibrotic responses, as shown by qPCR analysis of Acta2, Col1a1, and TGFβ receptors (n = 5–6 for each group). j Representative WB showing the effect of siRNA-Wwp2-N′ and siRNA-Wwp2-C′ on each WWP2 isoform expression in WT (myo)fibroblasts and decrease of TGFβ1-induced ACTA2 protein level by siRNA-Wwp2-N′. k Cultured human RV primary cardiac (myo)fibroblasts: siRNA-mediated knockdown of WWP2 reduced the expression of pro-fibrotic genes (COL1A1, COL1A2, and LUM). P1 tags both WWP2-N and WWP2-FL, P2 tags WWP2-FL only (n = 3 for each group). l Cardiac (myo)fibroblasts from WWP2Mut/Mut were transfected with either Wwp2-FL or Wwp2-N plasmid expression (separately) and incubated with TGFβ1 (72 h). m, n After transfection of either Wwp2-FL or Wwp2-N, transcript levels of Acta2, Col1a1, and TGFβ receptors were assessed by qPCR, in WWP2Mut/Mut (myo)fibroblasts (n = 5 for each group) and ACTA2 protein levels. These fibrogenic markers were enhanced by either Wwp2-FL or Wwp2-N transfection after 72 h TGFβ1 treatment. P values calculated by Mann–Whitney U test; *P < 0.05, **P < 0.01, NS not significant; data reported as means ± SD