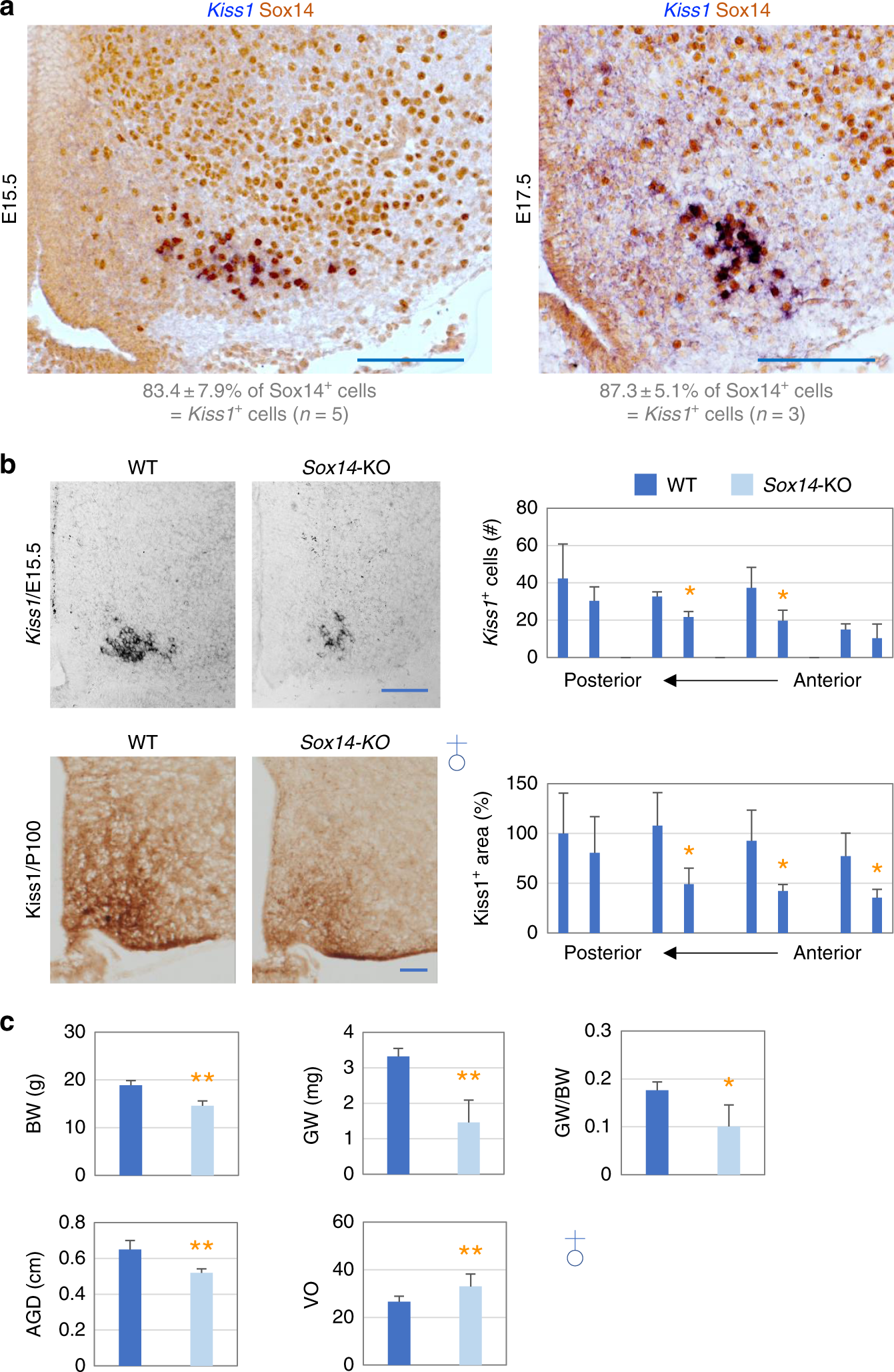
Fig. 6

Critical roles of Sox14 in the development of Kisspeptin-neurons. a ISH for Kiss1 (blue) combined with IHC against Sox14 (brown) reveal co-expression of Sox14 with Kiss1 in E15.5 and E17.5 ARC. b Significantly reduced expression of Kiss1 mRNA in the ARC of E15.5 embryos (ISH) and Kiss1 protein in the ARC of P100 female control and Sox14-KO mice (IHC). Serial anterior-posterior sections are apart from each other by ~120 μm, and the images shown are for the second anterior sections. c Body weight measurement, as well as assessment of reproduction phenotypes, GW (for gonad weight), AGD (for anogenital distance) and VO (for vaginal opening), for P100 female mice. The number of mice per each genotype was 3–15. All scale bars are for 100 μm. Statistical differences were determined by Student’s t-test (b, c); p < 0.05 (one asterisk) and p < 0.01 (two asterisks)