Fig. 6

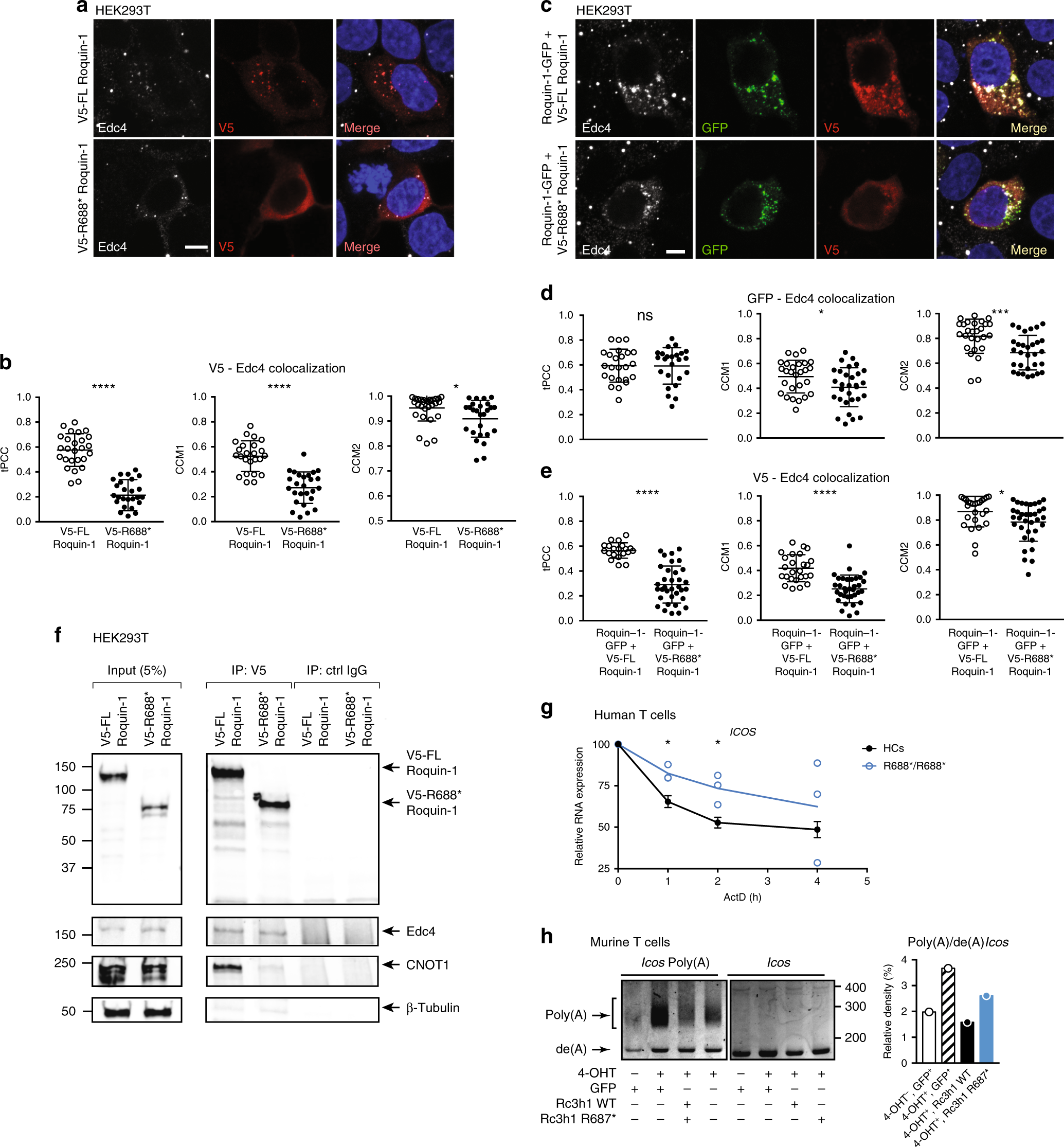
Impaired P-body colocalization, CNOT1 interaction and ICOS mRNA degradation in the presence of Roquin-1 R688*. a HEK293T cells were transiently transfected with V5 tagged Roquin-1 (V5-FLRoquin-1) or V5-R688* Roquin-1 and subsequently stained with anti-V5 and anti-Edc4 (P-body marker). Nuclei were revealed using Hoechst. Scale bar = 10 μM. b Correlation analysis of Edc4 and Roquin-1 comparing V5-FLRoquin-1 (n = 26 cells) and V5-R688* Roquin-1 (n = 26 cells) transfected HEK293T cells. tPCC: tresholded Pearson correlation coefficient; CCM1/2: Manders coefficient1/2. Mean and standard deviation are plotted. *p < 0.05 and ****p < 0.0001 (unpaired t-test). c HEK293T cells were transiently transfected with a combination of wild-type Roquin-1 fused with GFP and V5 tagged wild type or R688* mutant Roquin-1. Slides were subsequently stained with anti-V5, anti-Edc4 and Hoechst. Scale bar = 10 μM. d, e Analysis of correlation between Edc4 and GFP fused Roquin-1 (d) and V5 tagged Roquin-1 (e), respectively. Analysis is based on at least 24 cells/group and mean and standard deviations are plotted. *p < 0.05; ***0.001 < p < 0.0001; ****p < 0.0001 (unpaired t-test). f HEK293T cells were transiently transfected with V5 tagged Roquin-1 (V5-FLRoquin-1) or V5-R688* Roquin-1. After immunoprecipitation with anti-V5 or control IgG coupled to Dynabeads Protein G, endogenous Edc4 and CNOT1 and overexpressed Roquin-1 variants were revealed by immunoblot analysis. β-Tubulin serves as a loading control. g ICOS mRNA transcripts upon actinomycin D treatment at given time points in R688*/R688* T cells. Data was normalized using the housekeeping genes HPRT and GAPDH. HCs (n = 11), R688*/R688* (n = 3). *p < 0.05 (unpaired t-test). Mean and SEM are depicted. h Poly(A) tail length measured for Icos mRNA in murine Rc3h1-2fl/fl; CD4-CreERT2; rtTA CD4+ T cells retrovirally transduced with GFP, GFP fused WT Roquin-1 or R687* Roquin-1. Bar graph represents ratios of Poly(A) tailed Icos mRNA over de(A) Icos mRNA. Data shown are representative of 2 (f, h), 3 (a–e) or accumulated data of three experiments (g). Source data are provided as a Source Data file