Fig. 3
From: B-1a cells acquire their unique characteristics by bypassing the pre-BCR selection stage

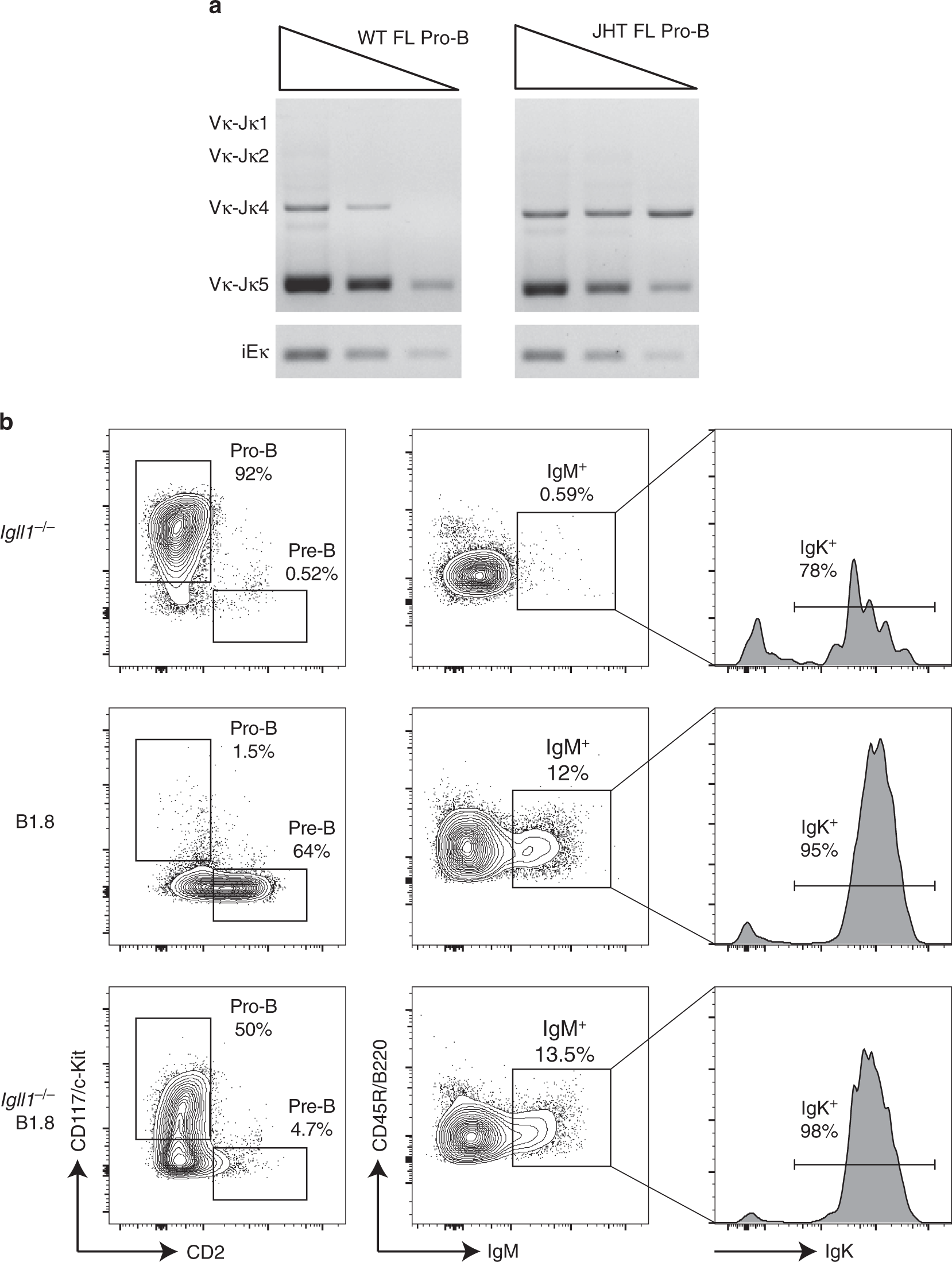
Early Igk rearrangement enables B cells to bypass the pre-BCR checkpoint. a Igk recombination can occur independent of Igh recombination as shown by semiquantitative PCR performed on ex vivo-derived fetal liver pro-B cells E17.5 (Lin−CD19+B220+IgM−CD2−CD117+) from wild-type and JHT mice. Each lane represents threefold serial dilutions of input DNA. DNA levels were normalized to iEκ b Representative flow-cytometry plots of fetal liver E17.5 cells from Igll1−/−, B1.8, and Igll1−/−;B1.8 littermates (from top to the bottom). Pro-B and pre-B cell gates are displayed as a percentage of CD19+IgM− cells (left), IgM+ are displayed as a percentage of CD19+ cells (middle), and IgK+ histograms are displayed as a percentage of CD19+IgM+ cells (right)