Fig. 3
From: Regulation of CHD2 expression by the Chaserr long noncoding RNA gene is essential for viability

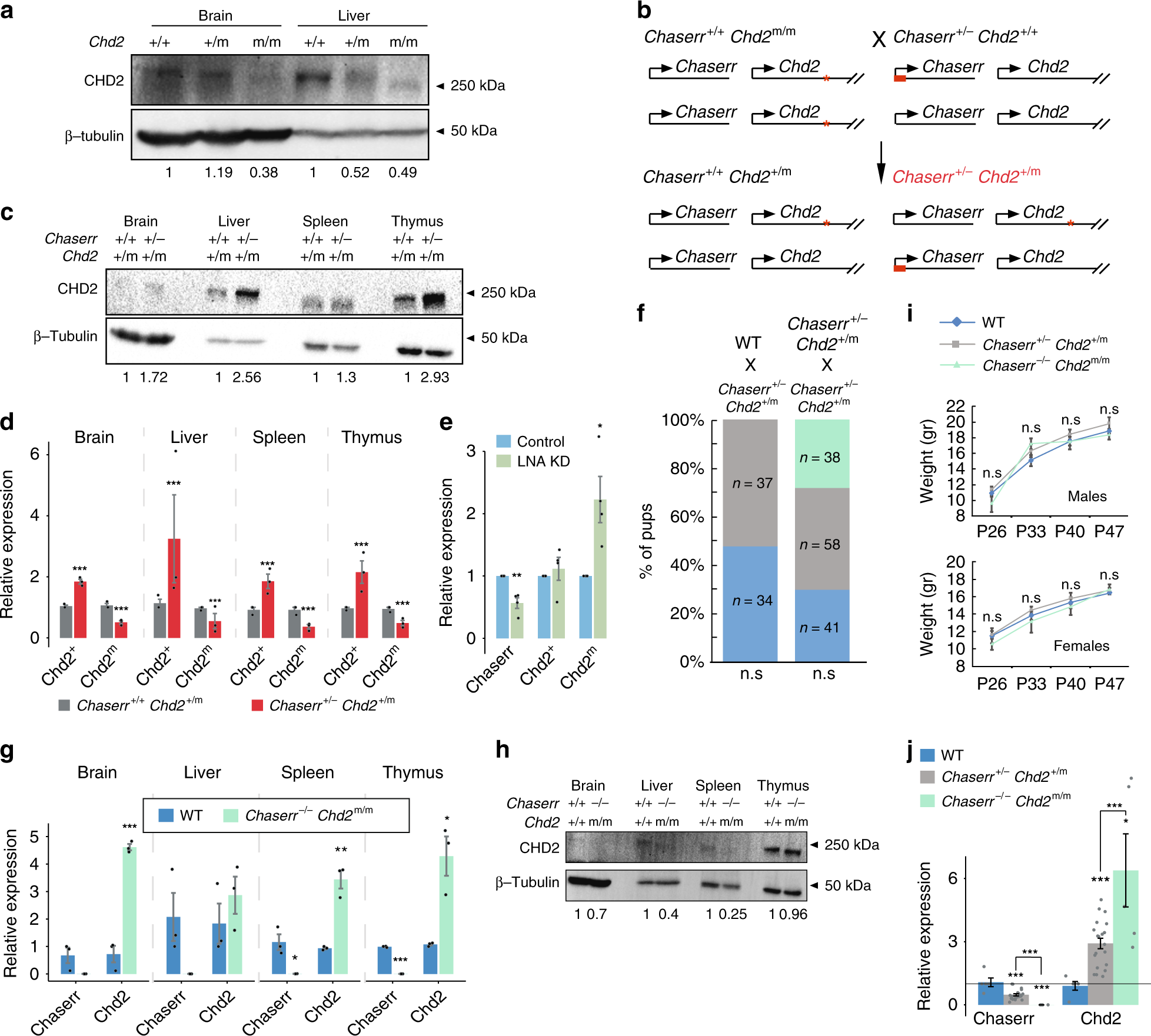
Chaserr regulates Chd2 expression in cis. a CHD2 Western blot in the indicated tissues from mice with the indicated genotypes. b Scheme of the cross between Chaserr+/− and Chd2m/m mice. c Western blot in the indicated tissues from mice with the indicated genotypes. d Chd2 allele-specific expression in the indicated backgrounds in four different mouse tissues. Normalized to Actb. n = 3 for the indicated tissues. e Changes in expression of Chaserr, or of Chd2 mRNA from the indicated allele, in Chaserr+/− Chd2m/+ mEFs transfected with a mix of two LNAs targeting Chaserr or non-targeting control (NT). f Neonate survival rates for the indicated crossing. g qRT-PCR in the indicated adult tissues and backgrounds. Normalized to Actb. n = 3 for the indicated tissues. h CHD2 Western blot from the indicated tissues and backgrounds. i Pup weights for the Chaserr+/− Chd2m/+ intercross. n = 5–19 pups per genotype per time point. j qRT-PCR for mEFs with the indicated background. Normalized to Actb. WT n = 5, Chaserr+/− Chd2+/m n = 20, Chaserr+/− Chd2+/m n = 5. Error bars show S.E.M. *P < 0.05, **P < 0.01, and ***P < 0.001 (d, e, g, i, j: two-sided t test. f: chi-squared test). Ratio quantifications are shown below Western blots. Source data are provided as a Source Data file