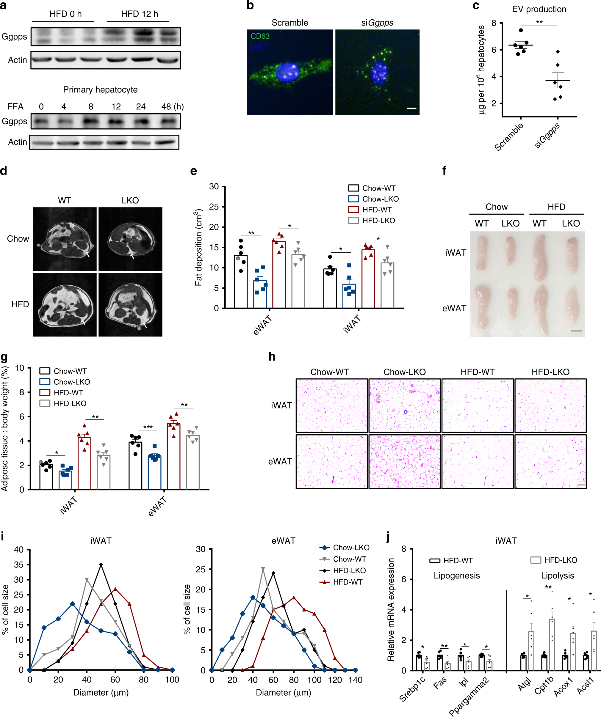
Fig. 3: Liver-driven adipose remodelling is mediated by liver Ggpps.
From: Liver governs adipose remodelling via extracellular vesicles in response to lipid overload

a Ggpps protein levels in livers from HFD-fed (12 h) C57BL/6J mice following the time-dependent FFA incubation of primary hepatocytes. The FFA mixture included oleic acid and palmitic acid at a ratio of 2:1 dissolved in BSA. (n = 3 mice per group). b Fluorescence microscopy of primary hepatocytes treated with a scrambled control (Scramble) or a Ggpps siRNA (siGgpps). (Scale bar, 5 μm). c EV production by WT and Ggpps-knockdown primary hepatocytes. (n = 6 biologically independent samples). d Whole-body fat distribution in WT and liver-specific Ggpps knockout mice (LKO) fed a normal chow diet or a HFD, as visualised by NMR. e Calculation of eWAT and iWAT mass in the mice from d. (n = 6 mice per group). f Comparison of eWAT and iWAT mass in WT and LKO mice fed a normal chow diet or a HFD. (n = 6 mice per group, scale bar, 5 mm). g Fat index (percentage of fat pad weight relative to the whole-body weight) of iWAT and eWAT in the mice from f. (n = 6 mice per group). h H&E staining of iWAT and eWAT from mice in g (Scale bar, 50 μm). i Quantification of the diameters of adipocytes from iWAT and eWAT collected from WT and LKO mice fed a normal chow diet or a HFD. Data were collected from H&E-stained sections from three individual mice, five fields per mouse, 10–15 cells per field in each group and analysed using ImageJ software. j Expression of genes related to lipogenesis and lipolysis in iWAT from WT and LKO mice fed a HFD. (n = 6 mice per group). Data from WT and LKO mice fed a normal chow diet and HFD for 12 weeks (starting at 8 weeks old) are presented as the means ± SEM. *P < 0.05, **P < 0.01, ***P < 0.001, unpaired t test. Source data are provided as a Source Data file. See also Supplementary Fig. 4.