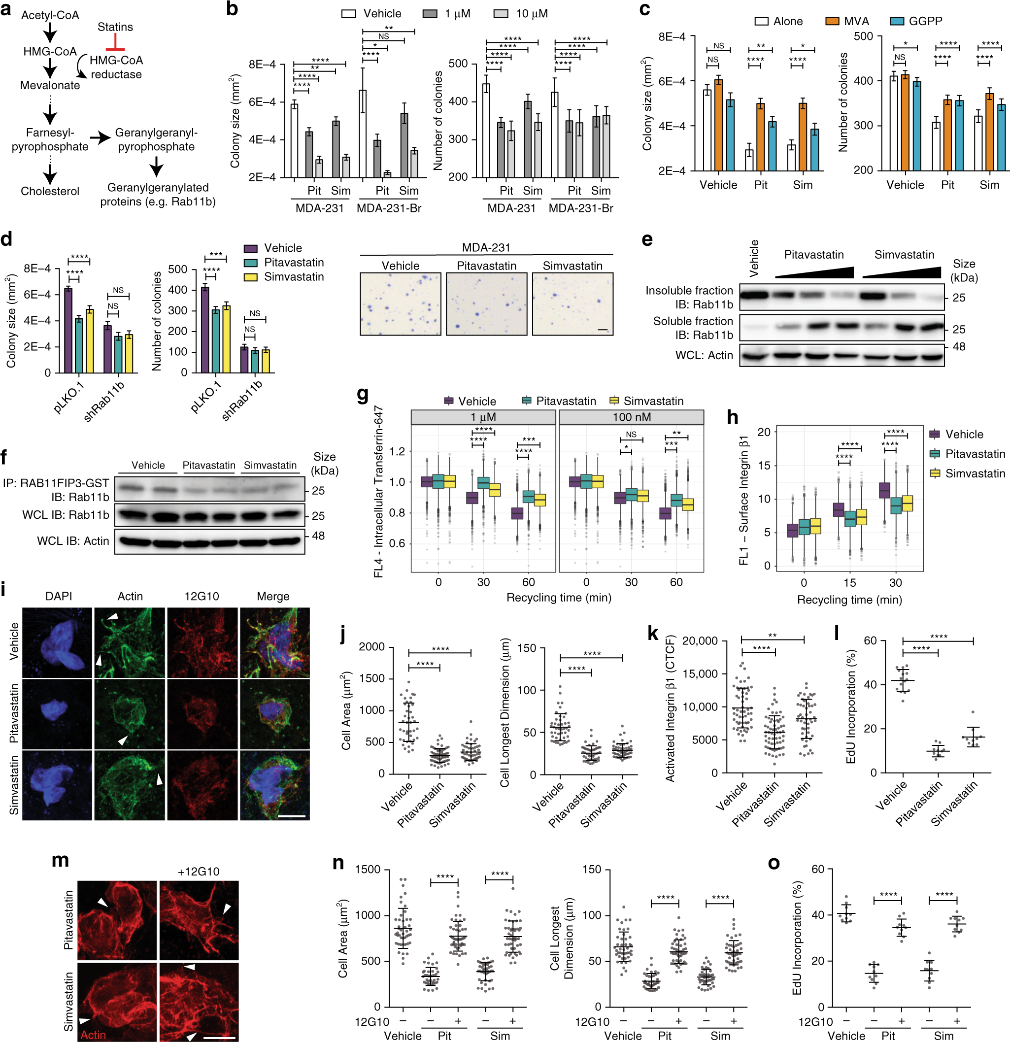
Fig. 6: Statins decrease Rab11b localization and function.
From: Rab11b-mediated integrin recycling promotes brain metastatic adaptation and outgrowth

a Schematic of the mevalonate pathway leading to Rab11b geranylgeranylation. b Quantification of cells grown in soft agar. Bottom, representative images. Scale bar 1 mm. c Quantification of colony size and number for MDA-231 cells grown in soft agar with 1 μM pitavastatin/simvastatin, with 100 μM mevalonic acid or 10 μM geranylgeranylpyrophosphate. d Quantification of MDA-231 cells grown in soft agar with vehicle or 1 μM pitavastatin or simvastatin. e MDA-231 cells grown with vehicle or 10 μM-100 nM pitavastatin/simvastatin for 24 h. Immunoblotting of soluble and insoluble fractions separated with Triton X-114. f Rab11b activation assay for MDA-231 cells treated with vehicle or 1 μM pitavastatin/simvastatin for 24 h, followed by immunoblotting. g Transferrin receptor recycling in MDA-231 cells treated with vehicle or 1 μM pitavastatin or simvastatin. h Surface integrin β1 recycling in MDA-231 cells treated with vehicle or 1 μM pitavastatin/simvastatin. (i-l) MDA-231 cells treated with 1 μM pitavastatin or simvastatin and adhered to decellularized murine brain matrix for 48 h. (I) Representative images of actin (phalloidin, green) protrusions (arrowheads), active integrin β1 (12G10, red), and nuclei (DAPI, blue). Scale bar 10 μm. j Quantification of cell area and longest dimension. k Corrected total cellular active integrin β1 fluorescence (CTCF). l Quantification of EdU. m–o MDA-231 cells treated with 1 μM pitavastatin or simvastatin and 12G10, and adhered to decellularized murine brain matrix for 48 h. m Representative images of actin (phalloidin, red) protrusions (arrowheads). Scale bar 10 μm. n Quantification of cell area and longest dimension. o Quantification of EdU. For panels (b, c), n = 10 fields per 3 independent experiments. Bars, mean ± s.d. Two-way ANOVA, Sidak’s multiple comparison. For panels g, h, n = 2 independent experiments. Boxes, first to third interquartile range, line, mean, points, outliers. Two-way ANOVA, Sidak’s multiple comparison. For panels (j, k, n), n = 3 independent experiments. Bars, mean ± s.d. ANOVA, Tukey’s multiple comparison. For panels (l, o), n = 10 fields per 3 independent experiments. Bars, mean ± s.d. ANOVA, Tukey’s multiple comparison. For all panels, *p < 0.05, **p < 0.01, ***p < 0.001, ****p < 0.0001.