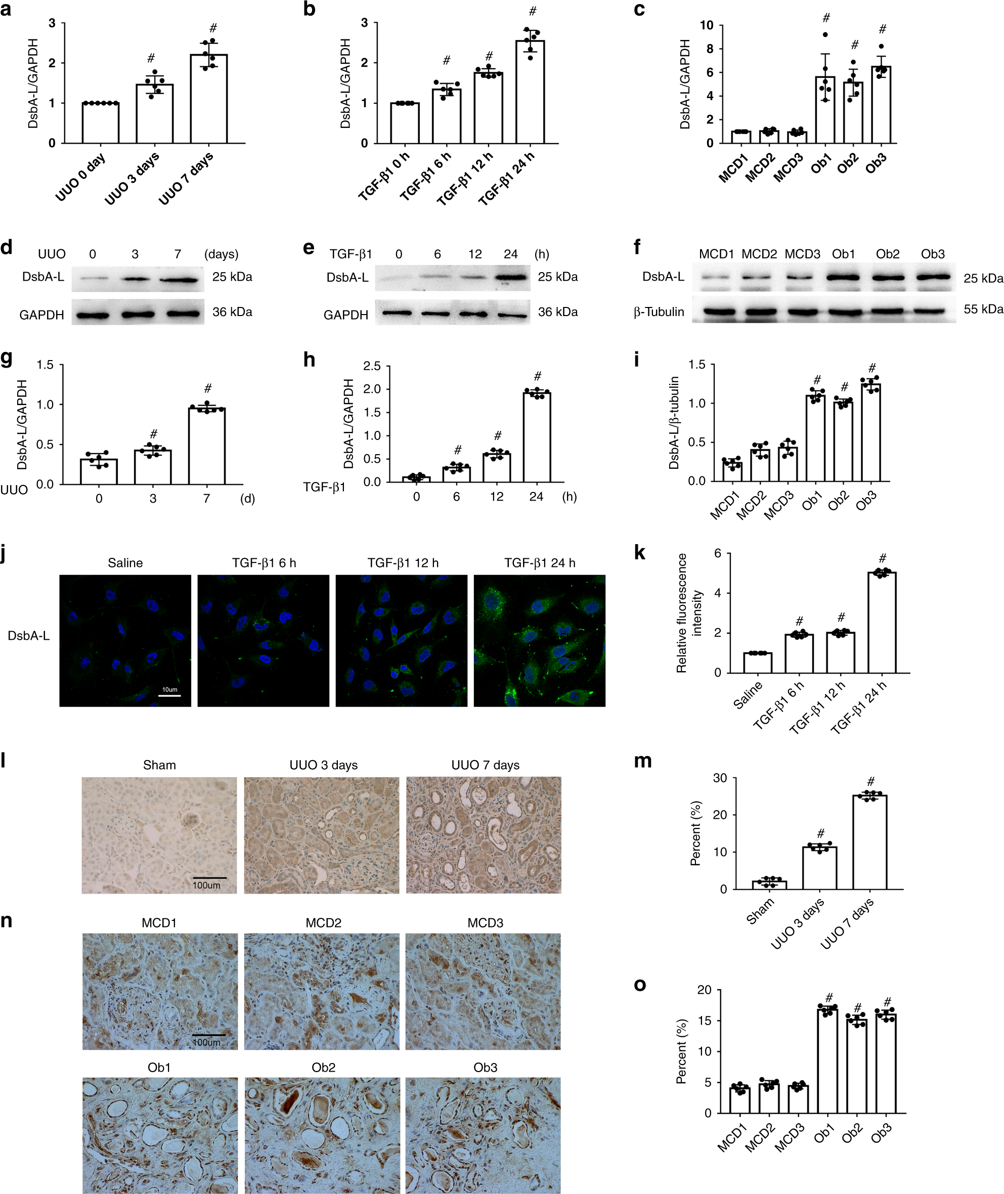
Fig. 1: Induction of DsbA-L in BUMPT cells treated by TGF-β1 and the kidneys of UUO mice and Ob patients.
From: DsbA-L mediated renal tubulointerstitial fibrosis in UUO mice

a–f RT-qPCR and immunoblot analysis of DsbA-L and GAPDH in BUMPT cells treated with or without TGF-β1 and the kidneys of UUO mice and Ob patients. g–i Analysis of the grayscale image between them. j, l, n Immunofluorescence or immunohistochemical staining of DsbA-L in BUMPT cells treated with or without TGF-β1 as well as in the kidneys of both UUO mice and Ob patients. k, m, o Quantification of DsbA-L staining. Original magnification ×400. Scale bar: 100 µM. Data are expressed as means ± s.d. (n = 6). #P < 0.05: versus saline group, sham group, or MCD group. Each experiment (j, l, n) was repeated six times independently with similar results. a–c, g–i, k, m, o indicate the statistical Student’s t test used (means ± s.d., n = 6, P < 0.05).